루시드치과의원 LUCID Dental Clinic ルシード歯科 露西得牙科医院 LUCINATE ルシネート
신논현역치과 라미네이트 시술 사례 안전하게 시행할 수 있었던 비결은?
루시드치과의원 서울특별시 강남구 논현로111길 3 상가 101, 102A, 대로변 1층 루시드 치과 한 눈에 보기👀 의료진 소개 오시는 길 및 진료시간 안내 루시드의 특별함 루시드의 스케일링 루시드의 임플란트 루시드치... blog.naver.com 반갑습니다, 여러분!! 신논현역치과, 루시드입니다. 오늘은 치아 크...
루시드치과의원 서울특별시 강남구 논현로111길 3 상가 101, 102A, 대로변 1층
루시드 치과 한 눈에 보기👀 의료진 소개 오시는 길 및 진료시간 안내 루시드의 특별함 루시드의 스케일링 루시드의 임플란트 루시드치...
blog.naver.com
반갑습니다, 여러분!!
신논현역치과, 루시드입니다.
오늘은 치아 크기 부조화로 인해
심미적인 불편함을 겪고 계셨던
환자 사례를 소개해 드리려 하는데요.
신논현역치과 에서 라미네이트 시술 로
깔끔하고 예쁘게! 개선해 드렸습니다 :)
과연 어떤 과정을 통해 개선이 이뤄졌는지
지금부터 저와 함께 알아보러 갈까요?
"치아가 안 예쁘게 생긴 것 같고,
색도 좀 밝았으면 좋겠어서요."
위와 같이 심미적인 요소를 원인으로
신논현역치과 에 내원하셨는데요.
구강 검진을 시행하며 촬영한 사진과
함께 내용을 설명해 드리겠습니다.
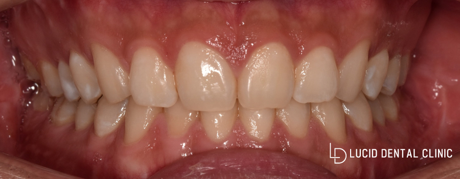
정면에서 바라 본 구강 사진인데요.

현재 어둡고 누런 치아 색과 함께
크기 부조화가 일어난 상태였습니다.


표시된 것처럼 좌, 우 크기와
높이가 다른 것이 확인되고 있죠?
위턱 앞니가 아래턱 치아 크기보다
조금 더 크게 형성되었기 때문입니다.
깊게 물려 교합에 방해를 주지 않는 이상,
기능적인 부분에 문제가 생기지는 않는데요.
심미적인 불편함을 유발하기 때문에
이런 점을 굉장히 중요시하는 분들은
개선하는 것을 권유해 드리고 있습니다.
환자와 함께 이와 관련하여
짧은 의논을 가져 봤는데요.
빠르게 개선하기를 원하셨기 때문에
라미네이트 시술을 받기로 했습니다.
신논현역치과 에선 치아
표면을 아주 얇게 다듬고,
단 하루 만에 보철 제작을 완료하여
단기간에 문제를 해결할 수 있는데요.
신논현역치과 만의 기술력으로
표면 0.1~0.2mm만 삭제하여
최대한 많은 양의
치아 보존이 가능하다는
장점을 가지고 있습니다.
루시드치과의원 논현동 역삼동 임플란트, 라미네이트, 치아교정, 투명교정 치과
이제 본격적으로
라미네이트 시술에 들어가기 위해
기본적인 과정부터 시작해 봤는데요.
간단한 스케일링을 통해
환경을 깨끗하게 바꿔주고,
마취로 통증을 최소화한 뒤,
표면 삭제에 들어갔습니다.
아까 말씀드린 것처럼 간단하게
표면 약 0.1~0.2mm만 제거한 다음,
곧바로 맞춤형 보철 제작을 위해
인상 채득 과정에 들어갔는데요.
구강 환경 전체를 본뜸으로써
배열과 조화 등을 더 고려하기 위해
인상 채득 과정을 시행하고 있습니다.
이제 조금 더 디테일한 설정을 위해
색조 조정 시간에 들어가게 되는데요.
함께 shade guide를 살펴보며
원하는 색조 조정까지 마쳤습니다.
환자께서 기존 자연치 색조보다
더 밝게 조정하길 원하셨기 때문에
요구에 맞춰 밝게 진행하기로 했어요.
이대로 맞춤형 보철 제작을 위해
기다리는 시간을 가져야 되는데요.
본원에서 시행하는 라미네이트 시술 은
원내 기공소에서 바로 제작에 들어가
단 하루 만에 제작이 완료되기 때문에
불편한 채로 오래 기다릴 필요 없습니다.
단기간에 시술이 종료된다는 점도
가지고 있는 장점 중 하나죠 :)
이제 완성된 라미네이트 보철을
구강에 임시로 올려 점검한 다음,
전용 접착제를 이용하여
최종 부착을 진행하게 되는데요.
부착 후, 교합 높이는 적정한지 확인하고
표면을 예쁘게 다듬어 주면 종료됩니다.

사진을 통해 확인하니 이전보다 밝은 색조,
알맞은 크기로 조화로움을 이루고 있었는데요.


본원에서 색조와 형태,
주변치와의 조화 등을 고려하여
맞춤형으로 제작했기 때문에 환자께서
결과에 크게 만족해 하셨습니다 :)
보철을 조금 더 깨끗하고 오래 사용할 수 있도록
꾸준히 상태를 점검받고, 관리하도록 당부했는데요.
다른 보존 치료 또한 마찬가지로
사후 관리에 따라 수명이 좌우될 수 있으니
건강하고 깨끗하게 사용할 수 있도록
구강 관리에 더욱 힘 쓰시길 바랍니다.
이렇게 제가 오늘 준비한 라미네이트
시술 사례를 마치게 됐는데요.
관련하여 궁금하거나, 문의 사항이 있다면
언제든 신논현역치과 로 연락 주길 바랍니다.
감사합니다!
루시드치과의원 서울특별시 강남구 논현로111길 3 상가 101, 102A, 대로변 1층
누런 변색과 앞니 벌어짐 을 한 번에 개선할 수 있는 라미네이트, 차병원사거리 치과 에서 받는 이유 흔히 두 개의 전치부 사이에 까맣게 빈 곳이 나타났을 때 '정중 이개' 혹은 '치간 이개...
blog.naver.com
루시드 치과 한 눈에 보기👀 의료진 소개 오시는 길 및 진료시간 안내 루시드의 특별함 루시드의 스케일링 루시드의 임플란트 루시드치...
blog.naver.com
Explore More
Keep Browsing This Clinic's Korean Content Trail.
Return to the source archive for more posts, or move back to the clinic profile to compare the rest of the clinic's public channels.