루시드치과의원 LUCID Dental Clinic ルシード歯科 露西得牙科医院 LUCINATE ルシネート
선정릉역치과 앞니 라미네이트 시술, 받고 나서 이것만은 주의해야 됩니다. (feat. 관리법 / 식사)
루시드 치과 한 눈에 보기👀 의료진 소개 오시는 길 및 진료시간 안내 루시드의 특별함 루시드의 스케일링 루시드의 임플란트 루시드치... blog.naver.com 루시드치과의원 서울특별시 강남구 논현로111길 3 상가 101, 102A, 대로변 1층 반갑습니다. 선정릉역치과, 루시드입니다 :) 오늘은 앞니 라미네이트...
루시드 치과 한 눈에 보기👀 의료진 소개 오시는 길 및 진료시간 안내 루시드의 특별함 루시드의 스케일링 루시드의 임플란트 루시드치...
blog.naver.com
루시드치과의원 서울특별시 강남구 논현로111길 3 상가 101, 102A, 대로변 1층
반갑습니다.
선정릉역치과, 루시드입니다 :)
오늘은 앞니 라미네이트 시술에 관하여
주의 사항, 관리법, 식사 등을 알려드릴 겁니다.
시술을 받는 대부분의 사람들은
기능적인 부분보단 심미를 우선으로
개선하고자 하는 마음이 더 클 것 같은데요.
다른 치료에 비해 라미네이트는
기존에 가지고 있는 자연치보다
더 밝은 색조를 만들 수 있음은 물론,
원하는 모양으로 개선할 수 있기 때문입니다.
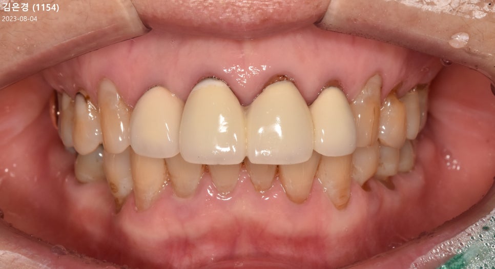
오늘 사례 속 환자는 치은 퇴축으로 인해
기존에 수복 받은 크라운 심미가 떨어진다며
이 문제를 개선하기 위해 내원하셨는데요.
선정릉역치과 가 어떤 과정으로
이 문제를 깔끔하게 개선해 드렸는지
지금부터 자세히 소개해 드리겠습니다.
"치아 옆쪽이 많이 패여 있고,
앞니 크라운이 보기 안 좋다고 느껴져서요.
라미네이트 받고 싶어서 찾아왔습니다."
환자께선 심미적인
불편함이 느껴진다는 주소로
라미네이트 시술 상담을 위해
선정릉역치과 에 오셨는데요.
구강 카메라를 이용하여 사진 촬영을 시행하고,
진단을 위해 사진 판독을 시작해 봤습니다.

환자의 구강 현황을 살펴 봤을 때
치아와 치은 경계부가 깎이고 패이는
치경부 마모증이 심하게 나타난 상황이고,
주소로 말씀하셨던 것처럼 치은이 내려가
전치부 크라운의 심미성이 떨어지고 있었습니다.
해당 문제는 관리를 소홀히 해서
나타나는 현상이기도 하지만,
잘못된 칫솔질로도 쉽게 나타나는데요.
칫솔을 좌, 우로만
왔다 갔다 이동해서 닦으면
치아가 점점 마모되어 깎이거나
패이는 현상이 나타날 수 있습니다.
이를 방지하기 위해선 좌, 우 말고
아래에서 위 혹은 위에서 아래로
쓸어내리듯이 닦는 것이 좋은데요.
치료 계획 수립
레진이나 크라운으로 해결하기엔
이미 치경부 마모증이 심하게 나타나
더는 보존하기 어렵다고 판단하였습니다.
선정릉역치과 에서 환자와 함께 계획
수립을 위해 의논하기 시작했는데요.
환자께서 단기간에 치료가 종료되고
기존보다 밝은색을 가지길 원하셔서
선정릉역치과 에서 시행하는 루시네이트
즉, 라미네이트 시술 을 받기로 계획했습니다.
저희만의 노하우로 진행하는 루시네이트는
다른 곳보다 표면 약 0.1mm 두께만 다듬고
얇게 만든 보철을 부착하여 진행하고 있는데요.
다른 곳보다 많은 양의 자연치 보존이 가능하고,
하루 만에 모든 치료가 종료된다는 장점이 있습니다.
루시드의 라미네이트 🌷 🌷예뻐지기 위해 하는 라미네이트, 그런데 소중한 내 치아를 일부 깎아내고 해야 된다는 사실 알고 계셨...
blog.naver.com
환자께서도 위와 같은 장점이 마음에 든다며
내원 당일 곧바로 시술을 진행하기로 했는데요.
스케일링으로 보철이 부착될 치아를
깨끗한 환경으로 바꿔주었습니다.
치아 삭제까지 마쳤으면 보철 제작을 위해
인상 채득 과정을 시행하게 되는데요.
조금 더 완성도 높은 결과를 만들기 위해
형태, 색상, 배열 등을 고려하여 제작하게 됩니다.
본원에서는 단 하루면 보철 제작이 완료되어
그리 오래 기다리지 않아도 되는데요.
제작된 보철을 부착하고 표면을
매끄럽게 다듬어 주면 됩니다 :)

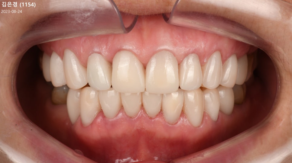
치료 후 모습을 촬영하여 보여드리자면
전과 달리 밝아진 색조를 가지게 됐고,
과하게 물리는 Deep bite 형태의 보철에서
조화로운 크기를 가지며 심미가 높아졌습니다.
라미네이트 후 주의 사항 관리법 식사
이대로 끝내지 않고 간단하게
주의 사항과 관리법, 식사에 관해
설명해 드리는 시간을 가졌는데요.
- 급격한 온도 변화 주의
0.1mm 표면만을 삭제하긴 하지만
너무 뜨겁거나 찬 음식을 섭취하면서
일시적인 시림 증상이 나타날 수 있는데요.
당분간은 급격한 온도 변화를 주의하여
부드러운 유동식을 섭취하길 바랍니다.
- 착색 유발 음식 / 흡연 자제하기
카레, 커피 등과 같은 식품을 자주
섭취하면 착색을 쉽게 일으킬 수 있는데요.
그뿐만 아니라 흡연으로 인한
니코틴 착색 또한 발생할 수 있으니
섭취 후 바로 양치질을 하거나
횟수를 줄이는 것을 권유해 드립니다.
- 음식 섭취 주의 사항
딱딱하거나 질긴 음식으로 인해
순간적으로 강한 힘을 가하다 보면
파절 혹은 crack (금)이 갈 수 있습니다.
6개월에서 1년 정도의
적응 기간을 가지는 동안
해당 음식은 자제하고,
손톱을 물어뜯는 등의
악습관은 삼가는 것이 좋습니다.
- 음주 / 구강 청결제 사용 자제하기
접착제를 이용하여 부착하기 때문에
치아에 제대로 굳을 수 있도록 당분간
음주는 피하는 것이 좋은데요.
구강 청결제 또한 포함된 불소가
표면에 손상을 줄 수 있기 때문에
당분간 피하는 것이 좋습니다.
이렇게 오늘 사례 소개는 끝이 났는데요.
저는 더 좋은 사례를 가지고 다시 찾아올 테니
여러분 모두 구강 관리에 더욱 힘 쓰셔서
건강하고 오랫동안 사용하길 바랍니다 :)
지금까지 선정릉역치과 였습니다.
감사합니다.
루시드치과의원 서울특별시 강남구 논현로111길 3 상가 101, 102A, 대로변 1층
루시드치과의원 논현동 역삼동 임플란트, 라미네이트, 치아교정, 투명교정 치과
루시드 치과 한 눈에 보기👀 의료진 소개 오시는 길 및 진료시간 안내 루시드의 특별함 루시드의 스케일링 루시드의 임플란트 루시드치...
blog.naver.com
루시드의 라미네이트 🌷 🌷예뻐지기 위해 하는 라미네이트, 그런데 소중한 내 치아를 일부 깎아내고 해야 된다는 사실 알고 계셨...
blog.naver.com
Explore More
Keep Browsing This Clinic's Korean Content Trail.
Return to the source archive for more posts, or move back to the clinic profile to compare the rest of the clinic's public channels.