루시드치과의원 LUCID Dental Clinic ルシード歯科 露西得牙科医院 LUCINATE ルシネート
언주역치과추천 누렇게 변색한 앞니 라미네이트 시술 전후 주의 사항 사례 소개
루시드치과의원 서울특별시 강남구 논현로111길 3 상가 101, 102A, 대로변 1층 반갑습니다. 시간이 빠르게 지나 벌써 11월이 되었네요 이번 달도 잘 부탁드린다는 말씀드리며, 오늘 사례를 한 번 소개해 드리겠습니다. "치아가 너무 누렇고 안 예뻐요. 라미네이트 시술 받고 싶은데 치아를 많이 깎아야 될까요?"...
루시드치과의원 서울특별시 강남구 논현로111길 3 상가 101, 102A, 대로변 1층
반갑습니다.
시간이 빠르게 지나
벌써 11월이 되었네요
이번 달도 잘 부탁드린다는 말씀드리며,
오늘 사례를 한 번 소개해 드리겠습니다.
"치아가 너무 누렇고 안 예뻐요.
라미네이트 시술 받고 싶은데
치아를 많이 깎아야 될까요?"
언주역치과추천
환자께서 본원에 내원 후,
위와 같은 질문을 하셨는데요
보통 라미네이트 시술 은
저작 기능을 하는 구치부보단,
말을 하거나 웃을 때 잘 보이는
전치부에 많이 받고 계십니다.
그러나 보철을 부착하기 위해
자연치 일부분을 삭제하고 있어
많은 분들이 꺼리기도 하는데요
이런 분들을 위해 루시드에선
표면 0.1mm만 다듬고 나서
얇게 제작한 보철을 부착하여
자연치를 보존하고 있습니다.
게다가 단 하루 만에 제작을 완료하여
빠르게 문제를 개선해 드릴 수 있죠 :)
루시드치과의원 논현동 역삼동 임플란트, 라미네이트, 치아교정, 투명교정 치과

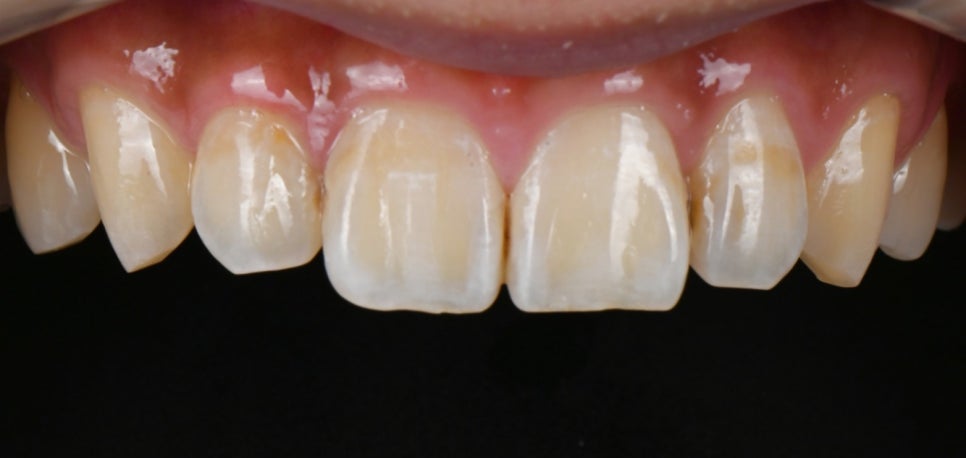
위 사진은 환자의 구강
현황을 촬영한 모습인데요
변색이 심하게 나타나 누렇게 보이며
심미적인 불편감을 유발하고 있었습니다.
치료 계획
언주역치과추천
환자께도 위와 같은 내용을
충분히 설명해 드린 다음,
함께 치료 계획을 의논했는데요
루시드 라미네이트 시술 을 통해
변색을 해결하기로 결정했습니다.
변색이 나타난 부위를 중점으로
위턱 전치부에만 받기로 했습니다.
먼저 스케일링으로 축적된 치태와
치석 같은 불량한 요소들을 제거하고
마취제를 꼼꼼히 도포하여
통증을 최소화하였습니다.
곧바로 계획에 따라
전치부 표면을 다듬는
과정에 들어가게 되는데요
그 후 앞서 말씀드린 것처럼
표면 0.1mm만을 제거하고
인상 채득을 통하여 정밀하게
구강 환경을 본뜨게 됩니다.
이렇게 채득된 모델을 가지고
치아 형태, 색조, 배열 등을 고려하여
맞춤 보철을 제작하게 되는데요
shade guide를 동반하여
원하는 색조를 함께 정하기 때문에
더욱 자연스럽고 밝은
치아를 가질 수 있게 됩니다.
단 하루 만에 보철 제작을 완료하여
구강에 최종 부착을 진행하게 되는데요
환자와 함께 보철 형태와 색조를 점검하고
전용 접착제로 구강에 최종 부착하면 됩니다.
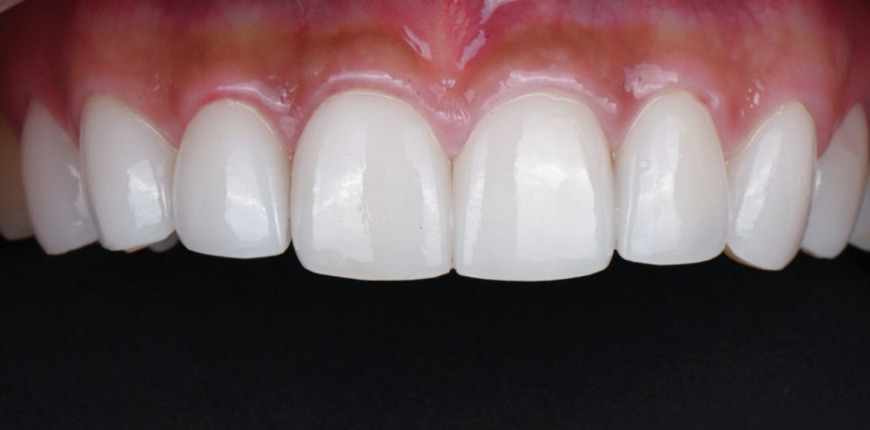
최종 부착 후 연마 작업과 같이
세밀한 과정까지 진행해 드렸는데요

라미네이트 시술 후 모습입니다.
자연치와 유사한 세라믹 소재로
심미적인 기능을 최대한 챙겨봤는데요
환자께서 원하는 색조와 형태로 제작하여
심미적인 고민을 해결해 드렸습니다.
보철 수명은 8년에서
10년 정도로 긴 편이나,
조금 더 청결하게 유지할 수 있도록
다음 검진 일정을 잡아드렸습니다.
환자께 간단한 주의 사항 몇 가지를
설명해 드리면서 치료를 종료했습니다.
라미네이트 시술 후 주의 사항
언주역치과추천
딱딱하거나 끈적한 음식
바로 딱딱한 음식을 섭취하면
순간적으로 강한 힘이 가해져
보철이 파절될 가능성이 있습니다.
또한 구강에서 쉽게 빠져나올 수 있기 때문에
캐러멜같은 끈적한 음식은 조심해야 되는데요
6개월에서 1년 정도의 적응 기간 동안은
위와 같은 음식들을 자제하는 것이 좋습니다.
착색을 일으키는 음식
언주역치과추천
커피, 카레 같은 식품은 인공 치아에
쉽게 착색을 일으킬 수 있는데요
섭취를 최대한 자제하는 것이 좋으나,
부득이한 경우엔 섭취 후 바로
양치질을 하는 것이 좋아요!
음주
언주역치과추천
더불어 음주 같은 경우,
알코올 성분이 표면에
손상을 줄 수 있기 때문에
전용 접착제가 잘 굳을 수 있도록
당분간은 주의하는 것이 좋아요.
온도 변화
언주역치과추천
아무리 최소로 삭제한다 하더라도
일부를 제거한 것이기 때문에
너무 뜨겁거나 찬 음식을 섭취하면
시린 증상을 느낄 수 있으니 주의하길 바랍니다.
이렇게 주의 사항 안내까지 마치며
라미네이트 시술 을 최종 종료했는데요
혹시라도 누렇게 변색한
치아로 인해 고민이 많다면
루시드 라미네이트 시술 상담
한번 받아보는 건 어떨까요?
언주역치과추천
저는 이만 다른 사례를 찾으러
가보도록 하겠습니다 :)
봐주신 분들께 감사드리며,
다음 게시글에서 봐요!
루시드치과의원 서울특별시 강남구 논현로111길 3 상가 101, 102A, 대로변 1층
루시드치과의원 논현동 역삼동 임플란트, 라미네이트, 치아교정, 투명교정 치과
논현동치과추천 누런 치아 변색과 잇몸이 내려간 치경부 마모증, 라미네이트 시술 로 쉽게 해결해 드렸습니다! 반갑습니다, 여러분. 벌써 이렇게 새로운 한 주가 시작이 되었네요! 게다가 며칠 후면 이제 새로운 11월을 ...
blog.naver.com
라미네이트 시술 받고 커피 계속 마셔도 되나요? - 역삼동치과 안녕하세요, 여러분! 역삼동치과, 루시드입니다 :) 제목을 보신 분은 알겠지만 본원에서 치료받은 직후에 ...
blog.naver.com
Explore More
Keep Browsing This Clinic's Korean Content Trail.
Return to the source archive for more posts, or move back to the clinic profile to compare the rest of the clinic's public channels.