루시드치과의원 LUCID Dental Clinic ルシード歯科 露西得牙科医院 LUCINATE ルシネート
강남역 치과, 라미네이트 를 하려면 꼭 확인해야 되는 글
박현민 원장입니다, 안녕하세요. 강남역 치과 에서는 라미네이트와 같은 심미보철 치료를 중점적으로 진행하고 있습니다. 감사하게도, 제주도나 저 멀리 해외에서도 찾아오시는 환자들이 상당히 많아서 기분은 좋습니다. 사실 요즘은 성형의 시대를 넘어서서 라미네이트의 시대라 볼 수 있습니다. 물론, 유행을 탄 지는 시...
박현민 원장입니다, 안녕하세요.
강남역 치과 에서는
라미네이트와 같은 심미보철 치료를
중점적으로 진행하고 있습니다.
감사하게도, 제주도나 저 멀리
해외에서도 찾아오시는 환자들이
상당히 많아서 기분은 좋습니다.
사실 요즘은 성형의 시대를
넘어서서 라미네이트의
시대라 볼 수 있습니다.
물론, 유행을 탄 지는
시간이 꽤 지난 것은 사실입니다.
아무래도, 웃을 때 보여지는
첫 인상이 상당히 중요하기에
너나나나 할 거 없이
무삭제 또는 최소삭제
라미네이트를 많이 찾고 계실텐데
이 글이 아마 많은 도움을
드릴 수 있을 거라 생각이 됩니다.
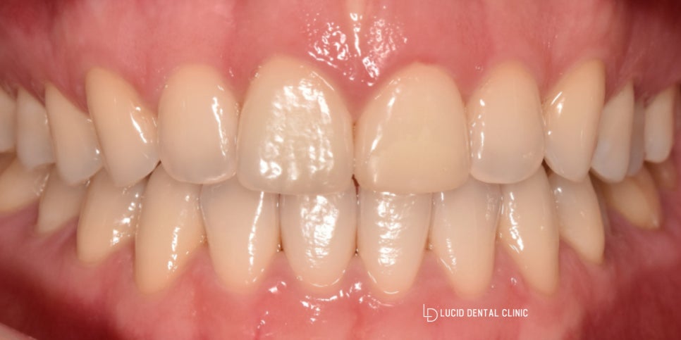
- 치료 전

사실 그렇게 누런 치아는 아닙니다.
강남역 치과 에 멀리서 찾아오신
환자의 구강 내 사진인데
국내 최고의 미인대회..를 준비중이라 하셨어요.
그래서 인상의 개선이 필요하다면서
심미보철 치료를 받고 싶다
말씀을 하셨었습니다.
일단, 이 분은 웃으실 때
입안이 작은어금니까지 쭉 보이시는 분입니다.
즉, 8전치로 접근을 해야 됩니다. 대부분의 내원하시는 환자분들은
위아래 8전치로 하여 16개로 진행됩니다.
또 자세히 보면은,
치경부의 높이도 다릅니다.
(잇몸의 높이)
과거 교정치료는 받으셨는데
잇몸은 어쩔 수 없는거죠.
해당 부분은, 강남역 치과 에서
라미네이트를 진행하면서
잇몸 성형으로 개선 될 수 있습니다.
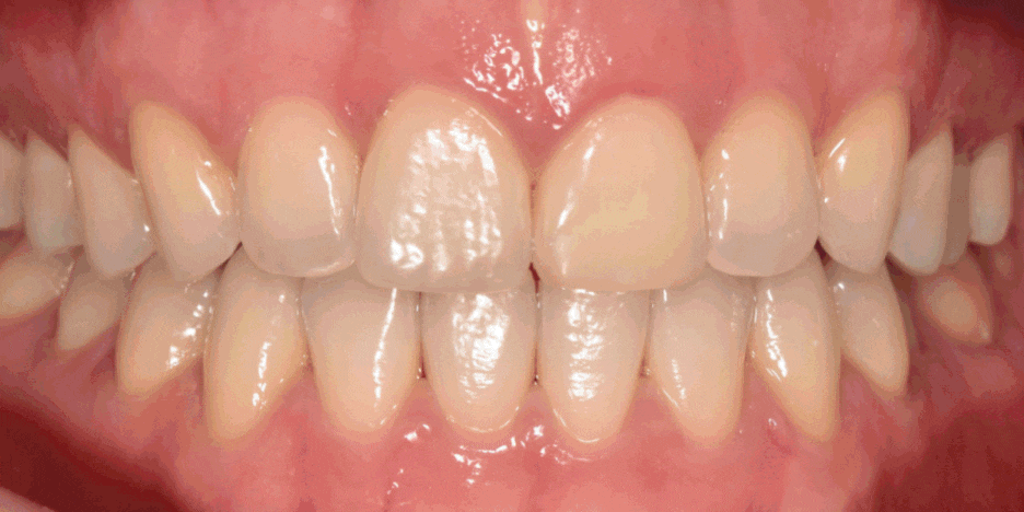
- 치료 후

0.01~0.1mm 가량 최소 삭제로
8전치의 앞니 라미네이트를
완성했습니다.
색이 상당히 밝죠?
웃으면 정말 예뻐보입니다.

중첩 사진을 보면 상당히
많은 변화를 이뤄낸 것을 볼 수 있습니다.
연조직의 높이가 대칭이 되면서
치아들의 형태 또한 좌, 우가 대칭이 됩니다.
좋은 인상을 얻으셨으니,
좋은 결과 있길 바랍니다.
- 라미네이트를 하기 전에 알아야 되는 내용
강남역 치과 뿐만이 아니라,
인터넷 곳곳을 살펴보면
'무조건 무삭제 라미네이트를 해드립니다.'
라는 문구들이 있는데, 과연 사실일까?
아닙니다, 무삭제를 할 수 있는
조건은 몇 가지가 있습니다.
대표적으로 '왜소치아' 인 경우에는
삭제를 아예 할 필요가 없기 때문에
삭제 없이 진행이 가능합니다만,
왜소치를 갖고 계신 분들은 그렇게
많이 찾아볼 수 없습니다.
그 이외에는 간섭이 걸리는 부분만은 최소삭제로 진행하고
그 외의 부분은 모두 무삭제로 진행하면 됩니다.
그래야 오랫동안 이쁘게 쓸 수 있습니다.
위아래가 걸리는데도 불구하고 완전 무삭제로 진행을 하게되면
도자기가 부딪혀 깨지듯 그런 깨지는 증상이나 떨어지는 증상,
또는 삭제하지 않고 붙여 치아가 커보이는 등의 부작용이 있을 수 있습니다.
얼마나 깎아내는지는
환자의 구강 내 환경에 따라
조금씩 다를 수 있으며
통상 0.01mm~0.2mm 정도로
보면 적당할 거 같습니다.
교합이 걸리는 부분을 제외하고는 모두 무삭제로 들어갑니다.
나아가, 교합 간섭이 심하거나
교합 관계가 좋지 못한 환자분들께는
권장드리지 않는 치료입니다.
기능을 재건하는 것 보다는,
어쩌면 심미성을 살리는 심미치료로
분류가 되기 때문에 적응증 및
금기증이 다를 수 있습니다.
자세한 것은, 강남역 치과 에
내원을 하셔서 한번 상담부터
받아보는 것을 권장드립니다.
감사합니다, 박현민 원장이였습니다.
루시드치과의원 서울특별시 강남구 논현로111길 3 상가 101, 102A, 대로변 1층
Explore More
Keep Browsing This Clinic's Korean Content Trail.
Return to the source archive for more posts, or move back to the clinic profile to compare the rest of the clinic's public channels.