루시드치과의원 LUCID Dental Clinic ルシード歯科 露西得牙科医院 LUCINATE ルシネート
서초동 치과 라미네이트 치료 받기 전에 알아야 될 주의 사항 (feat. 토끼이빨 앞니 크기 부조화 개선)
여러분들은 혹시 라미네이트 치료, 어떨 때 받아야 된다고 생각하시나요? 단순 변색이 나타났을 때만 받는다고 생각하는 분들을 종종 발견할 수 있는데요 사실, 라미네이트 치료 는 변색뿐만 아니라 크기 부조화 혹은 치아 손상을 입었을 때 기능을 회복시켜주는 치료 중 하나입니다. 물론, 이뿐만 아니라 벌어진 앞니 치아와...
여러분들은 혹시 라미네이트 치료,
어떨 때 받아야 된다고 생각하시나요?
단순 변색이 나타났을 때만 받는다고
생각하는 분들을 종종 발견할 수 있는데요
사실, 라미네이트 치료 는 변색뿐만 아니라
크기 부조화 혹은 치아 손상을 입었을 때
기능을 회복시켜주는 치료 중 하나입니다.
물론, 이뿐만 아니라 벌어진 앞니 치아와
불규칙한 배열까지 해결해 줄 수 있죠.
그렇다면, 라미네이트 치료 를
고민하게 되는 이유는 무엇일까요?
그 이유는 바로,
'치아 삭제량'과 '부작용'
이 두 가지 떄문입니다!
'받았다가 뭐 잘못되면 어떡하지?'
'너무 많이 깎으면 별로지 않나?'
위와 같은 생각을 하신 분, 많죠?
그래서 오늘은, 서초동 치과 에서
라미네이트 치료 사례를 가지고
더 자세히 얘기해 볼까 해요.
1.환자의 고민
"위쪽 앞니 배열이 좀 안 맞는데
크기도 다른 것 같아서 고민이에요."
위 주소를 통해 서초동 치과 에 방문하셔서
문진을 조금 더 자세히 진행해 봤는데요.
어려서부터 크기가 다른 치아때문에
고민하다 라미네이트 치료 글을 보시곤
용기 내어 찾아왔다고 말씀하셨습니다.
해당 말씀은 너무 감사했지만,
스트레스를 많이 받았다며
찡그린 환자의 얼굴을 보니
걱정되는 마음이 들더라고요...
특히 앞니는 다른 곳보다 맨 앞에 위치하며
심미적인 요소를 담당하고 있는 치아입니다.
그래서 말하거나, 웃을 때 신경 쓰이는 치아
1위를 차지하고 있는 부위이기로 합니다.
우선 정확한 진단을 내리기 위해
구강 검진을 시행하기로 했습니다.
- 구강 검진 내용
어금니 교합 후 정면에서
촬영한 구내 모습입니다.

여러분께선 어떤 점이
눈에 먼저 들어오셨을까요?
저는 유독 크기가 다른 위턱
전치부가 눈에 들어왔습니다.
흔히 '토끼이빨'이라고도 불리죠?
다른 치아보다 유독 작게 맹출된
왜소치도 함께 관찰되고 있었기에
서초동 치과 는 서둘러 환자와 함께
치료 계획을 의논하기로 했습니다.
- 치료 계획
환자와 의논을 진행하던 도중,
라미네이트 치료 에 관심을 보이셨는데요
그러면 라미네이트 치료 는
치아를 많이 깎고 붙이는 건가요?
위와 같이 질문하셨습니다.
다른 곳은 모르겠지만 저는 특히
'두께'에 집중하여 진행하고 있는데요
"서초동 치과 라미네이트 치료 는
0.01mm 의 얇은 두께만을 삭제하며
마찬가지로 티나지 않게 제작한
보철을 부착해 드리고 있습니다."
게다가 디지털 첨단 기기뿐만 아니라
저의 노하우와 기술력을 총동원하여
단 하루 만에 모든 시술을 종료하고,
편한 일상을 보내실 수 있도록 하고 있어요.
저의 특기이자 자랑입니다 ㅎㅎ
환자께서도 해당 사항이 마음에 든다며
당일 바로 진행할 수 있냐고 여쭤 보셔서
스케일링과 도포 마취를 진행한 다음,
곧바로 라미네이트 치료 에 들어갔습니다.
- 라미네이트 치료 과정
말씀드린 대로 표면 딱 0.01mm만을 다듬고
인상 채득으로 전체 구강을 본뜨기 시작했는데요
치아 형태와 색조, 배열 등을 고려하여 최대한
환자 구강에 맞춰 제작해 드리기 위해서입니다.
결과를 토대로 저희 원내 기공소에서
맞춤형 보철을 제작하게 되는데요.
단 하루면 제작이 완료되기 때문에
다음 날 바로, 부착해 드릴 수 있습니다.
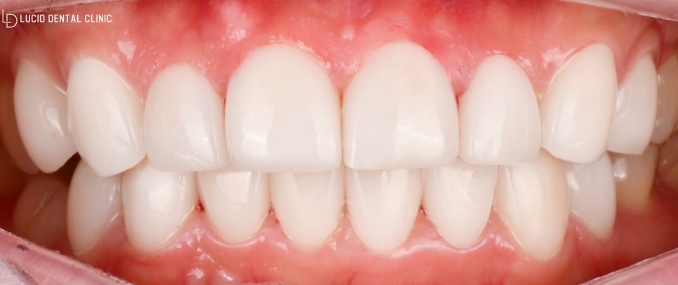
- 라미네이트 치료 종료

사진과 같이 위, 아래 전치부에
제작한 보철을 붙여 종료하였습니다.
초진 때 나타났던 크기 부조화
즉, 토끼이빨과 왜소치를 해결하고
환자께서 원하셨던 밝은 색조로
더욱 높은 심미를 자랑하게 됐죠.
환자께서도 충분히 만족한다며
정기 검진을 약속하셨습니다 ㅎㅎ
- 주의 사항
이대로 가기 전에, 주의 사항을
설명해 드리고 보내드렸는데요
추가로 알고 계시면 좋을 것 같아
간단하게 설명해 드리려고 합니다 :)
- 착색 유발 식품
흔히 커피, 카레, 콜라 등
색조가 심한 식품을 자주 먹으면
치아에 착색이 일어난다고 하죠.
라미네이트 치료 를 받았음에도 불구하고
해당 음식을 통해 착색이 일어날 수 있습니다.
만약, 섭취를 하게 된다면
빠른 양치질로 착색을
예방하는 것이 좋겠죠?
- 구강 관리 / 정기 검진
이건 어디서나 늘 말씀드리는 부분인데요.
구강 관리와 정기 검진을 한다고 해서
부정적인 결과를 가져오진 않습니다.
오히려, 구강 질환 예방과 동시에
긴 수명을 가지며, 긍정적인 반응을
얻을 수 있는 방법이기도 하죠.
저는 제 환자가 아픈 걸
지켜만 보고 있을 순 없습니다.
그러기 위해 서초동 치과 의사 로서
최선을 다하며 진료하고 있기도 하죠.
그치만 조금 더 건강을 생각하며
구강 관리와 정기 검진을 꾸준히
받았으면 좋겠다는 바람이 있어
이렇게 여러분께 말한 겁니다 ㅎㅎ
오늘 서초동 치과 가 준비한
사레 소개는 여기서 마칠게요
다들, 건강한 하루 보내길 바랍니다!
루시드치과의원 서울특별시 강남구 논현로111길 3 상가 1층 101, 102A
루시드치과의원 논현동 역삼동 임플란트, 라미네이트, 치아교정, 투명교정 치과
"투박하고 큰 앞니와 치아 변색을 동시에 해결하기 위해선?" 논현동 치과 라미네이트 후기 라미네이트 이 치료는 전체 변색, 앞니 벌어짐 혹은 크기가 일정하지 않을 경우, 얇게 제작한 보철을 부착...
blog.naver.com
루시드의 라미네이트 🌷 🌷예뻐지기 위해 하는 라미네이트, 그런데 소중한 내 치아를 일부 깎아내고 해야 된다는 사실 알고 계셨...
blog.naver.com
루시드 치과 한 눈에 보기👀 의료진 소개 오시는 길 및 진료시간 안내 루시드의 특별함 루시드의 스케일링 루시드의 임플란트 루시드치...
blog.naver.com
Explore More
Keep Browsing This Clinic's Korean Content Trail.
Return to the source archive for more posts, or move back to the clinic profile to compare the rest of the clinic's public channels.