루시드치과의원 LUCID Dental Clinic ルシード歯科 露西得牙科医院 LUCINATE ルシネート
신논현역 치과 "윗니 때문에 아랫니가 안 보여요!" 라미네이트 시술 후기 (feat. 과개 교합 deep bite 개선)
루시드의 라미네이트 🌷 🌷예뻐지기 위해 하는 라미네이트, 그런데 소중한 내 치아를 일부 깎아내고 해야 된다는 사실 알고 계셨... blog.naver.com 루시드 치과 한 눈에 보기👀 의료진 소개 오시는 길 및 진료시간 안내 루시드의 특별함 루시드의 스케일링 루시드의 임플란트 루시드치... blog.naver.co...
루시드의 라미네이트 🌷 🌷예뻐지기 위해 하는 라미네이트, 그런데 소중한 내 치아를 일부 깎아내고 해야 된다는 사실 알고 계셨...
blog.naver.com
루시드 치과 한 눈에 보기👀 의료진 소개 오시는 길 및 진료시간 안내 루시드의 특별함 루시드의 스케일링 루시드의 임플란트 루시드치...
blog.naver.com
"윗니가 아랫니를 많이 덮어서
아랫니가 잘 안 보일 정도인데
이것도 개선할 수 있을까요?"
신논현역 치과 에 방문하는 분들 중,
위와 같은 질문을 하신 분이 계십니다.
이 증상을 '과개 교합'
이라고 부르고 있는데요
과개 교합 (deep bite) 란?
원래라면 윗니가 아랫니를 3분의 1 혹은
4분의 1 정도만 덮는 걸 정상이라 봅니다.
그러나 위턱 앞니가
정상 범위를 넘어서까지
아랫니를 깊게 무는 경우엔
과개 교합이라고 보고 있죠.
이럴 경우, 구강 관리가
제대로 되지 않을 뿐더러
잇몸에 치아가 계속 닿아 있어
만성 염증을 일으킬 수 있습니다.
정상 교합이 아니니, 안면 비대칭과
턱 관절에도 안 좋은 영향을 줄 수 있죠.
이를 해결할 수 있는 방법으로는
1️⃣ 라미네이트 시술
2️⃣ 크라운 수복
3️⃣ 치아 교정
총 3가지로 볼 수 있습니다.
오늘은 그 중 라미네이트 시술 을 통해
해결한 사례를 소개해 드리려고 합니다.
과연 신논현역 치과 에선
어떻게 해결해 드렸을까요?
- 아랫니가 안 보여요.
"위턱 치아 때문에 아랫니가 잘 안 보이는데,
전체적으로 삐뚤어진 것도 개선하고 싶어서요."
이번 사례는 위와 같이 심미적인 불편함을
주소로 신논현역 치과 에 찾아오셨네요.
그냥 치아 문제가 아니라 뼈의 문제,
혹은 다른 질환까지 이어질 수 있기 때문에
해당 문제를 개선하기 위해선 문진뿐만 아니라
정밀 검진을 통해 자세히 살펴볼 필요가 있습니다.
우선 구강 검진을 통해 문제를 살펴볼게요.
- 구강 검진
이건 구강 카메라를 통해
정면에서 촬영한 모습입니다.

현재 독보적으로 앞니 크기가 매우 커,
부조화로운 모습을 보이고 있었는데요
주소로 말씀하셨던 대로
과개 교합(Deep bite)의
양상을 보이고 있어
상황은 좋지 않았습니다.
게다가 삐뚤빼뚤한 치열로 인해
심미적인 불편함도 유발하고 있네요
개선할 부분이 많아 신논현역 치과 는
환자와 함께 의논하는 시간을 가져봤습니다.
- 치료 계획
현재 구강에 나타난 문제점으론
1️⃣ 전치부 크기 부조화
2️⃣ 과개 교합 (deep bite)
3️⃣ 삐뚤빼뚤한 치열 (총생)
이렇게 3가지로 나뉠 수 있는데요
제가 판단했을 때 이 문제를
한 번에 해결할 수 있는 건
'라미네이트 시술'
이라고 생각했습니다.
크라운으로 수복하기엔
치아 삭제량이 너무 많고,
교정은 시간이 오래 걸린다는
단점을 가지고 있기 때문인데요
-
자연치를 최대한 오래 보존하고
-
나타난 구강 문제점을 해결하고
-
비교적 빠른 시간 안에 치료하기 위해
라미네이트 시술 을 받기로 했습니다.
저희 신논현역 치과
라미네이트 시술 은
치아 최소 삭제 / 짧은 보철 제작
이 두 가지 특징을 가지고 있는데요
환자의 자연치를 보다
많은 양을 보존할 수 있고,
단 하루 만에 보철 제작을 완료하니
일상으로 빠르게 돌아갈 수 있습니다.
신논현역 치과 만의 장점이자, 특징이죠 ㅎㅎ
환자께도 충분히 설명해 드리고,
당일 바로 치료에 들어가기로 했습니다.
루시드치과의원 논현동 역삼동 임플란트, 라미네이트, 치아교정, 투명교정 치과
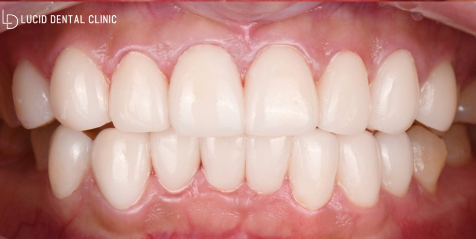
- 라미네이트 시술 종료
사진과 같이 라미네이트 시술 후,
촬영한 구강 정면 모습입니다.

이전과 달리 정상 교합으로 변화하고
크기 부조화를 개선하며 심미적인
불편함도 한 번에 개선되었는데요
심미와 기능, 모두 우선으로 챙기며
안정적으로 치료를 마칠 수 있었습니다.
- 라미네이트 시술 주의 사항
어느 치료를 받든 오래 유지하기 위해선
사후 관리의 여부가 굉장히 중요하죠.
이는 라미네이트 시술
또한 마찬가지입니다.
구강 관리를 소홀히 하거나,
색조가 심한 식품을 자주 섭취하면
아무리 보철을 부착했다 하더라도
금방 다시 착색이 나타날 수 있습니다.
물론, 이건 자연치 또한 예외는 아니에요.
그러니 섭취하자마자 바로
양치질을 하는 습관을 기르고,
구강 관리 또한 꼼꼼하게 시행하며
착색을 예방하는 것이 좋습니다.
또 하나 중요한 방법이 남아있는데요
바로, '정기 검진'입니다.
착색뿐만 아니라 몰랐던 구강 질환을
발견하고 치료할 수 있는 방법이죠.
구강 건강을 확실히 챙길 수 있는
지름길이라고도 생각할 수 있습니다.
그러니, 정기 검진과 구강 관리 열심히 하셔서
건강한 구강 오랫동안 사용하길 바랍니다 :)
지금까지 신논현역 치과 였습니다.
라미네이트 시술, 더는 두려워 마세요!
루시드치과의원 서울특별시 강남구 논현로111길 3 상가 1층 101, 102A
서초동 치과 라미네이트 치료 받기 전에 알아야 될 주의 사항 (feat. 토끼이빨 앞니 크기 부조화 개선) 여러분들은 혹시 라미네이트 치료, 어떨 때 받아야 된다고 생각하시나요? 단순 변색이 나타났을 때만 받는...
blog.naver.com
루시드의 라미네이트 🌷 🌷예뻐지기 위해 하는 라미네이트, 그런데 소중한 내 치아를 일부 깎아내고 해야 된다는 사실 알고 계셨...
blog.naver.com
Explore More
Keep Browsing This Clinic's Korean Content Trail.
Return to the source archive for more posts, or move back to the clinic profile to compare the rest of the clinic's public channels.