루시드치과의원 LUCID Dental Clinic ルシード歯科 露西得牙科医院 LUCINATE ルシネート
학동역 치과 "어둡고 누런 내 치아, 미백 없이 오랫동안 밝아지고 싶다면?" 부분 앞니 라미네이트 시술 후기
제목에 나온 어둡고 노란 치아 다시 말해, '치아 변색'으로 고민인 분들 많이 계시죠? 한 두 개의 치아에만 나타난다면 그건 충치 혹은 치주 질환으로 내부 신경이 죽거나, 치료를 받은 경우 나타날 수 있는 증상 중 하나입니다. 그러나, 이와 달리 다수의 치아에 변색이 나타난다면 그건 외적 혹은 내적 원인으로...
제목에 나온 어둡고 노란 치아
다시 말해, '치아 변색'으로
고민인 분들 많이 계시죠?
한 두 개의 치아에만 나타난다면
그건 충치 혹은 치주 질환으로
내부 신경이 죽거나, 치료를 받은 경우
나타날 수 있는 증상 중 하나입니다.
그러나, 이와 달리 다수의
치아에 변색이 나타난다면
그건 외적 혹은 내적 원인으로
인해 변색이 발생하게 되는 것이죠.
이런 '치아 변색'은 흔히, 미백 치료 혹은
라미네이트 시술 로 해결할 수 있는데요
여기서 미백은 여러 번
치료를 받아야 됨과 동시에
금방 다시 변색할 수 있는
단점을 가지고 있습니다.
그러나, 우리는 오랫동안
예쁘고 밝은 치아를 원하죠.
그래서 학동역 치과 에선
최소 삭제 라미네이트 시술 로
문제를 해결해 드리고 있습니다.
그뿐만 아니라 원내 기공소를 보유하고 있어
단 하루 만에 보철 제작을 완료할 수 있죠.
다시 말해, 최소 삭제를 통해
많은 양의 자연치 보존이 가능하고
단 하루 만에 보철 제작이 완료되니
빠른 일상 복귀가 가능하단 소리입니다.
오늘은 이와 관련된 사례를 통해
어떤 과정과 결과를 나타내는지
함께 알아보려고 해요 :)
- 치아가 너무 누래요.
"제 치아가 너무 누렇고 어두워서
웃을 때마다 자신감이 별로 없어요."
이 환자께서 학동역 치과 에 방문하셨을 때
좀처럼 웃는 모습을 보기가 쉽지 않았는데요
그 이유가 바로, 치아 변색으로 인해
자신감이 하락하여 웃지 못했던 것이었죠.
이처럼 변색이나 토끼이빨처럼
크기 부조화를 겪고 있는 사람은
말하거나 웃을 때 특히 눈에 들어와,
자신감이 떨어진 경우를 볼 수 있습니다.
학동역 치과 는 잃어버린
환자의 자신감을 채워 드리기 전,
구강 검진으로 구체적인 상태
파악을 진행하기로 했습니다.
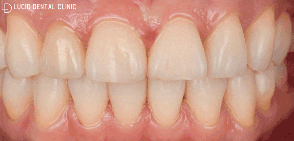
- 정밀 구강 검진
구강 카메라를 통해
촬영한 정면 모습인데요

말씀하셨던 것처럼 치아 변색이
인접면 사이에 부분적으로 일어나.
환자께서 심미적인 불편함을
받을 수 있겠다고 생각했습니다.
물론, 기능적인 면에선 아무런 이상이 없지만
해결하고 싶다는 환자의 의지를 발견했으니
저는 최선을 다해 나타난 구강
문제점을 해결해 드려야겠죠? ㅎㅎ
우선 치료 계획을 함께 수립하며
소통하는 시간을 보내기로 했습니다.
- 치료 계획 수립
학동역 치과 는 환자께서
직접 고르실 수 있도록
-
미백 치료
-
라미네이트 시술
이렇게 두 가지 치료
옵션을 제공해 드렸는데요!
각 치료마다의 장, 단점을 고려해서
신중히 선택해야 나중에 후회가 없어요.
학동역 치과 에서 따로 소개해 드렸던
장, 단점 게시글을 아래 첨부해 드리니
여러분도 참고하면 좋을 것 같습니다 :)
신논현역 치과 치아미백 라미네이트 둘의 차이는 무엇일까요? 반갑습니다. 신논현역 루시드 치과 입니다. 우리 얼굴의 첫 인상은 구강에서 결정을 지을 수 있을 정도로 ...
blog.naver.com
결론적으로 라미네이트 시술 을 통해
치아 변색을 해결하기로 결정했는데요
학동역 치과 에서 시행하는
라미네이트 치료 의 장점인
1️⃣ 빠른 치료 기간
2️⃣ 심미적인 맞춤형 보철
3️⃣ 평균 8 ~ 10년의 긴 수명
4️⃣ 자연치 최소 삭제 - 많은 양의 보존
이 4 가지를 모두 들으시곤,
단 번에 결정을 내리셨어요 ㅎㅎ
저희는 자연치 두께를 약 0.1mm 만
다듬는 작업만으로 진행하고 있습니다.
기존 치료 방식의 한계를 넘어
얇은 두께의 자연치 삭제와
얇게 제작한 보철을 부착하여
최대한 자연치를 보존하고 있죠.
제가 가지고 있는 원칙이기도 합니다.
살릴 수 있는 부분은 최대한 살리고,
오랫동안 보존하며 살아가는 것이죠.
빠르게 진행하길 원하셔서 곧장
도포 마취부터 들어가기로 했습니다.
- 라미네이트 치료 과정
말씀드린 대로 두께 약 0.1mm만
다듬어서 인상 채득을 진행했는데요

출처 - 구글 / shade guide 색조 선정 도구
함께 소통하고 의논하며
최종 보철 색조를 선정하고,
원내 기공소를 통해 맞춤형
보철을 제작하도록 했습니다.
학동역 치과 만의 기술력과 노하우로
단 하루 만에 보철 제작을 완료했는데요
자연치를 더 삭제하지 않고
빠르게 부착하여 종료했습니다.
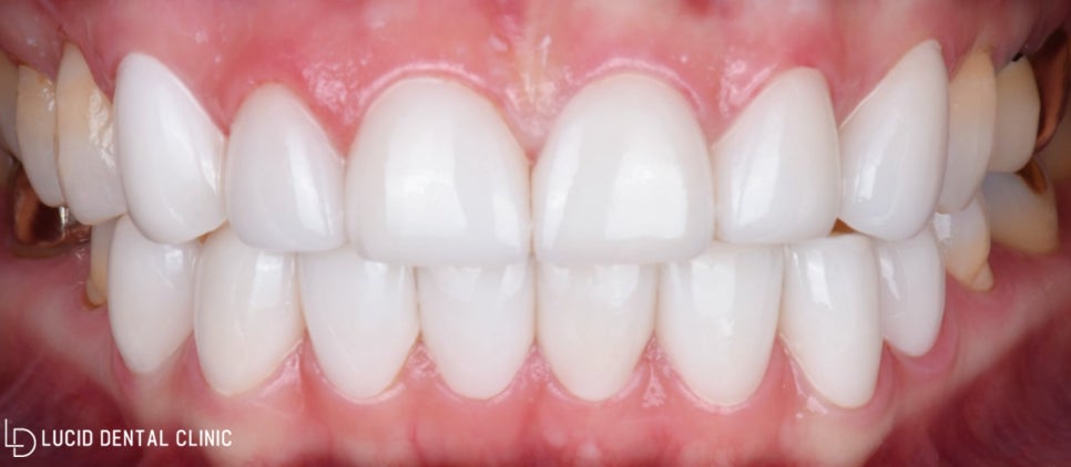
- 라미네이트 치료 종료

사진과 같이 치료를 종료했는데요

누렇고 어두운 치아 변색으로 인해
심미적인 불편함을 일으키던 이전과 달리,
밝은 색조와 튼튼한 보철로 심미뿐만 아니라
기능까지 한 단계 업그레이드할 수 있었습니다.
물론, 자연치뿐만 아니라 보철 역시
사후 관리가 중요하단 점, 알고 계시죠?
보철이라 해도 관리를 소홀히 한다면
치아 변색은 또다시 나타날 수 있습니다.
그러니, 착색을 쉽게 일으키는
진한 색조의 식품 섭취는 지양하고,
만일 섭취한다 하더라도 빠른 양치질로
변색을 예방할 수 있기를 진심으로 바랍니다.
더불어 정기 검진을 병행한다면
건강에 더할 나위 없이 좋겠죠?
늘 건강한 구강으로 자연치를
오랫동안 보존하길 바랍니다.
학동역 치과 가 준비한
라미네이트 치료 사례,
여기서 이만 마칠게요 :)
루시드치과의원 서울특별시 강남구 논현로111길 3 상가 1층 101, 102A

루시드 치과 한 눈에 보기👀 의료진 소개 오시는 길 및 진료시간 안내 루시드의 특별함 루시드의 스케일링 루시드의 임플란트 루시드치...
blog.naver.com
루시드의 라미네이트 🌷 🌷예뻐지기 위해 하는 라미네이트, 그런데 소중한 내 치아를 일부 깎아내고 해야 된다는 사실 알고 계셨...
blog.naver.com
Explore More
Keep Browsing This Clinic's Korean Content Trail.
Return to the source archive for more posts, or move back to the clinic profile to compare the rest of the clinic's public channels.