루시드치과의원 LUCID Dental Clinic ルシード歯科 露西得牙科医院 LUCINATE ルシネート
"충치로 사라진 치아 기능, 되찾고 싶다면?" 논현동 치과 임플란트 수술 후기 소개 (feat. 당일 발치 및 즉시 식립 성공)
치아 우식증(충치)은 방치하면 할 수록 신경, 뿌리를 넘어 감염되는 질환입니다. 초기 충치는 소리도 없이 진행되기 때문에 시진(눈으로 진단)만으론 발견하기 힘듭니다. 그래서 이를 조기 발견 및 조기 치료하기 위한 수단으로 정기 검진 구강 관리 이렇게 두 가지가 있는 것이죠. 만약, 바쁘거나 무섭다는 이유...
치아 우식증(충치)은 방치하면 할 수록
신경, 뿌리를 넘어 감염되는 질환입니다.
초기 충치는 소리도 없이 진행되기 때문에
시진(눈으로 진단)만으론 발견하기 힘듭니다.
그래서 이를 조기 발견 및
조기 치료하기 위한 수단으로
-
정기 검진
-
구강 관리
이렇게 두 가지가 있는 것이죠.
만약, 바쁘거나 무섭다는 이유로
내원을 미루고 계신 분이 있다면
오늘 이 글을 통해 다시금 중요성을 깨닫고,
검진 받으러 내원하시길 진심으로 바랍니다.
오늘 논현동 치과 가
준비한 사례는 임플란트 수술 로,
당일 발치 및 식립을 진행했던 경우입니다.
과연 환자의 구강 환경에
무슨 일이 일어났던 걸까요?
저와 함께 주소부터 시작해서
그 과정을 차근차근 알아봅시다!
- 치아가 없어 불편해요.
"제가 이가 몇 개 없어서
임플란트 수술 받으려고요.
근데 여기뿐만 아니라
전체적으로 좀 불편해요."
이번 환자는 위와 같은 주소로
논현동 치과 에 내원하셨습니다.
구강이 전체적으로
불편하다는 주소를 듣곤,
깜짝 놀라 서둘러 구강 검진을
진행해야겠다는 생각이 들었습니다.
자연치 기능은 저작뿐만 아니라
연하, 발음, 턱관절까지 이어져
여러 방면으로 영향을 주고 있어,
간단한 문제라고 생각하면 안 됩니다.
다시 말해, 구강 질환이 전신 질환으로
쉽게 넘어갈 수 있다는 뜻이 되죠.
우선 초진 파노라마를 촬영하여
함께 현황을 살펴보겠습니다.
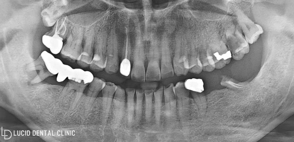
- 과연 환자의 구강 환경은?
아래 보이는 것이 촬영된
파노라마 엑스레이 사진인데요

(1) 충치가 심하게 진행되어
치관(머리 부분)이 소실되거나,
(2) 신경을 넘어서까지 감염되고,
(3) 치조골 퇴행 및 치아 정출이
함께 나타난 모습을 발견했습니다.
문제점이 나타난 모든 곳이
더는 보존할 수 없을 정도라
결국, 논현동 치과 에선
발치 판정을 내렸습니다.
이 상태라면 원활한 저작 기능이 어려워
제대로 된 식사가 어려웠을 것 같은데요
미리 정기 검진받고, 해결했다면
이 정도까진 심해지지 않았을 텐데,
바쁘다는 이유로 계속해서
내원을 미루셨다고 합니다.
지금이라도 오셨으니,
소실된 자연치 기능을
되찾아드려야겠죠.
논현동 치과 에선 환자께서
받길 원하시는 치료 방향과
개선되길 바라는 점을 알기 위해
상담 시간을 보내기로 했습니다.
- 함께 의논하며 수립한 계획
다수가 아닌, 소수의 치아를 소실하고
그 기능을 회복하여 사용하기 위해선
-
브릿지 보철
-
임플란트 수술
두 가지의 방법으로 해결할 수 있습니다.
그러나 브릿지 수복 같은 경우, 양쪽으로
지지할 수 있는 곳이 있어야 됩니다.
다시 말해, 이대로라면 캔틸레버 브릿지로
한쪽으로만 지지하여 사용해야 되는데요
환자께서 이와 같은 설명을 들으시곤,
임플란트 수술 로 받고 싶다 하셨습니다.
물론, 각 치료마다의 장, 단점을
상세하게 설명해 드렸습니다 :)
저희 논현동 치과 에선 임플란트 수술 전,
미리 가이드 보조 장치를 제작하고 있는데요
이를 통해 미리 식립 위치와 깊이를 결정하고
주변 해부학 구조를 피해 식립할 수 있습니다.
즉, 일반 방식보다 안전하고
정교한 식립이 가능하단 소리죠!
더불어 치은을 최소 절개하여 식립하니
나중에 나타날 통증과 붓기가 적다는
장점을 가지고 있기도 합니다 :)
- 주의 사항 소개
환자께 임플란트 수술 이후
지켜야 될 주의 사항에 대해
자세히 설명해 드렸습니다.
- 자극 주지 않기
이건 식품 섭취나
행동에 관한 사항으로,
치료 부위에 최대한 자극이
가지 않게 주의해야 되는데요
해당 부분에 염증 혹은 출혈이 나타나
정상적인 회복을 방해하기 때문입니다.
빠르게 회복하여 다음 단계로
넘어가는 게 좋잖아요 ㅎㅎ
그러니 당분간은 주의하기로 약속해요!
- 정기 검진 및 구강 관리
이건 말 안 해도 아실 거라 믿습니다!
치료 후에도 꾸준히 시행하는 것이
청결한 환경을 가질 수 있습니다.
그뿐만 아니라 몰랐던 질환을 발견하고,
수명까지 늘릴 수 있으니 꼭 하길 바랍니다!
- 딱딱하거나 질긴 식품
ex) 껌, 오징어, 캐러멜
보철이 파절되거나, 쉽게 빠져나와
문제가 될 수 있으니 주의하길 바랍니다 :)
- 임플란트 수술 종료
픽스처 식립 후 약 4개월이 지나,
제작한 보철을 체결하였는데요

위와 같이 임플란트 수술 을
무사히 종료하였습니다! ㅎㅎ
초진과 달리, 튼튼한 교합 및 저작 기능과
심미적인 기능을 모두 되찾아 드렸습니다.
저의 정확한 진단 및 치료 계획과
환자의 좋은 협조가 만든 결과죠.
끝나고 정기 검진과 관리의 중요성을
다시금 환자께 설명해 드리며 당부했습니다.
- 정리
논현동 치과 에서 진행한
임플란트 사례 소개, 어떠셨나요?
작은 충치 하나가 점점 시간이 갈 수록
치아의 모든 것을 갉아먹고 빼앗으니,
이를 방지하기 위한 '정기 검진과 관리'
여러분들도 반드시 시행하길 바랍니다.
논현동 치과 는 정확한 치료뿐만 아니라
사후 관리까지 진행해 드리고 있으니
언제든 문제가 생긴다면 내원하셔서
구강 점검 한 번 받아보길 바랍니다 :)
루시드치과의원 서울특별시 강남구 논현로111길 3 상가 1층 101, 102A
충치 치료, 제때 받지 않으면 이런 결과가 나타나게 됩니다. - 신논현역 치과 임플란트 수술 성공 사례 소개 신논현역 치과 는 라미네이트뿐만 아니라 임플란트 수술 을 받기 위해 오는 환자 또한 많이 계시는데요 여...
blog.naver.com
루시드치과의원 논현동 역삼동 임플란트, 라미네이트, 치아교정, 투명교정 치과
루시드의 임플란트 🦷 임플란트는 제 2의 치아로 불리는 만큼 자연치처럼 편안하고 튼튼해야됩니다. 그러기 위해서 재료에서 부터...
blog.naver.com
Explore More
Keep Browsing This Clinic's Korean Content Trail.
Return to the source archive for more posts, or move back to the clinic profile to compare the rest of the clinic's public channels.