루시드치과의원 LUCID Dental Clinic ルシード歯科 露西得牙科医院 LUCINATE ルシネート
역삼동 치과 발치하고 정출되어 소실된 치아 기능, 임플란트 수술 로 빠르게 되찾아 드렸습니다.
구강 질환 외상 및 사고 이렇게 두 가지 상황에 의해 치아를 소실하게 됐을 경우, 우리는 임플란트 수술 혹은 틀니로 기능을 회복하곤 합니다. 치아의 기능은 저작뿐만 아니라 발음, 심미, 연하 등을 하고 있어 하나라도 없을 경우 일상에 큰 불편함을 초래하게 되죠. 2번째 상황이라면 어쩔 수 없지만 1번째 상황...
-
구강 질환
-
외상 및 사고
이렇게 두 가지 상황에 의해
치아를 소실하게 됐을 경우,
우리는 임플란트 수술 혹은
틀니로 기능을 회복하곤 합니다.
치아의 기능은 저작뿐만 아니라
발음, 심미, 연하 등을 하고 있어
하나라도 없을 경우 일상에
큰 불편함을 초래하게 되죠.
2번째 상황이라면 어쩔 수 없지만
1번째 상황은 예방할 수 있습니다.
그 방법은 바로,
'정기 검진'과 '관리'를 통해
구강 질환을 미리 예방하는 것이죠.
큰돈 들이지 않고 이뤄질 수 있으며
복잡하지 않고 간단하게 해결할 수 있어
역삼동 치과 에 내원하는 환자분들껜
꼭 이 두 가지를 당부해 드리고 있습니다.
오늘은 이처럼 관리를 소홀히 했던
환자의 이야기를 들려드릴까 합니다.
주소부터 한 번 알아볼게요.
- 검진 받고 싶어요.
"제가 치아를 뽑은 지 오래 되기도 했고,
이제 슬슬 밥 먹는 게 너무 불편해서요."
환자께서 위와 같이 불편함을 느낀다며
전체적인 검진을 받기 위해 내원하셨는데요
문진을 진행한 결과, 회사 일이 바빠
내원을 계속해서 미뤘다고 하셨습니다.
더불어, 구강 관리가 제대로 이뤄지지
않고 있다는 사실 또한 확인할 수 있었죠.
구강 상태는 어떤지 확인하기 위해
정밀 검진부터 시행하기로 했습니다.
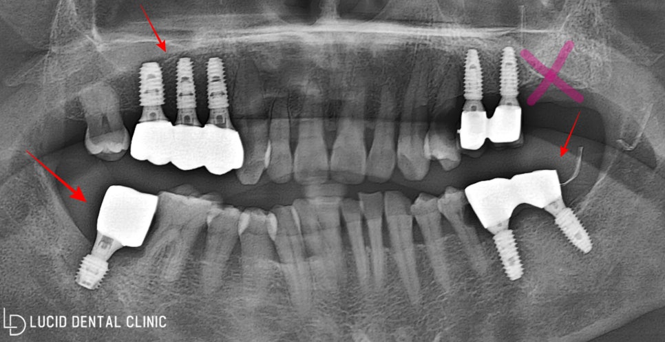
- 정밀 구강 검진 결과
보다 자세히 관찰할 수 있도록
파노라마 엑스레이를 촬영했습니다.
사진과 같이 수복 받았던 치료와
크라운까지 관찰이 가능합니다.

제가 빨갛게 표시해 드린 곳을 보면
상태가 좋지 않다는 것을 알 수 있는데요
이미 치아를 발치하여 공간이 비어있고,
제대로 처치하지 않아 정출이 나타났습니다.
이런 상태로라면 제대로 된 식사가 이뤄지지 않아
잘못하다간 영양실조로 이어질 수 있는 문제입니다.
즉, 구강 질환뿐만 아니라 전신 질환까지
이어질 수 있다는 적신호라는 것이죠.
해당 부분에 있어선 환자와 함께
자세히 얘기해 봐야 될 것 같습니다.
- 어떻게 치료해야 될까?
결론부터 말하자면, 역삼동 치과 에서
임플란트 수술 을 받기로 결정하셨습니다.
충치로 인해 치관이 소실된
어금니는 발치 판정을 내리게 되었고,
나머지 부분들은 보존 치료를 시행하기엔,
보철을 씌울 공간이 부족하단 이유도 있지만
더는 예후가 좋지 않다고 판단했기 때문인데요
소실된 치아의 기능을 회복하기 위해
결국, 임플란트 수술 을 결정했습니다.
의논 도중, 환자께서
저에게 질문을 주셨는데요
"많이 아플까요? 오래 걸리겠죠...?"
임플란트 수술 을 결정하신 분들께서
-
통증 및 붓기
-
치료 기간
이렇게 두 가지 부분에 대해
많이들 여쭤봐 주시곤 합니다.
그리고 전 항상 아래와 같이
답변해 드리고 있습니다 :)
"물론, 사람마다 구강이 다르기 때문에
회복 속도에는 차이가 있을 수 있는데요
저희 역삼동 치과 에선 이를 보완하기 위해
임플란트 수술 가이드를 제작하고 있습니다."
여기서 가이드가 뭔가 싶을 수 있어
간단하게 설명해 드리려고 하는데요
이 가이드 장치를 통해 미리
주변 조직 환경을 파악할 수 있고,
식립할 위치와 깊이까지 계산할 수 있어
보다 정교한 치료를 받으실 수 있습니다.
환자께서도 제 설명을 들으시곤,
안심이 든다고 말씀하셨습니다 :)
- 이것만은 꼭 지키세요!
주의 사항에 관해 간단히 설명해 드리고,
곧바로 임플란트 수술 과정에 들어갔는데요
여러분께서도 알고 계심 좋을 듯하여
몇 가지 말씀해 드리려고 합니다!
- 식품, 행동 주의하기
치료 부위에 자극이 가지 않도록
당분간은 식품 섭취와 행동에
주의하여 지내셔야 되는데요
특히, 마라탕이나 떡볶이 혹은
닭발처럼 자극적인 음식이나,
손가락 혹은 혓바닥으로 만지는
행위는 자제하는 것이 좋습니다.
- 구강 관리
픽스처 식립을 마치면 제작한
임시 치아를 체결해 드릴 건데요
이때, 임시라고 해서 관리를 소홀히 한다면
치료 부위 주변으로 염증이 나타날 수 있습니다.
그뿐만 아니라 다른 구강 질환에
감염될 확률도 점점 높아지겠죠?
그러니, 위생용품을 병행하여
깨끗하게 관리하길 바랍니다!
- 정기 검진
2번과 마찬가지로 계속해서 변화하는
구강 환경을 미리 파악하기 위함인데요
눈으로 봐선 미처 몰랐던 질환까지
세세하게 조기 발견하여 치료할 수 있으니
꼭 정기 검진 받고 관리하길 바랍니다 :)
- 임플란트 수술 종료
픽스처 식립 후 약 4개월이 지나자
무사히 회복한 모습을 보이셨는데요
바로 제작한 최종 보철을 체결하며
계획한 치료 과정을 모두 종료했습니다.

종료 후 촬영한 파노라마
엑스레이 사진이에요 ㅎㅎ
치아가 없어 제대로 된
식사조차 어려웠으나
이제 튼튼한 저작 기능을
사용할 수 있게 되었다며
크게 기뻐하셨는데요
똑같은 상황이 되풀이되지 않도록
꾸준히 관리하고 점검받으라고
당부해 드리며 마쳤습니다 :)
- 정리
임플란트 수술, 이제는 노화뿐만 아니라
누구든 쉽게 받을 수 있는 치료가 되었습니다.
'나는 잘하니까 치료 안 받겠지~'
라는 생각을 가지고 계셨더라면,
오늘 이 글을 통해 정말 관리를 잘 하고 있었는지
다시 한번 생각할 수 있는 시간이 되었길 바랍니다.
저희 역삼동 치과 는 치료뿐만 아니라
사후 관리까지 제가 직접 하고 있습니다.
늘 여러분의 구강을 책임질 자신 있으니,
문제가 생기면 언제든 내원하길 바랍니다!
루시드치과의원 서울특별시 강남구 논현로111길 3 상가 1층 101, 102A
"충치로 사라진 치아 기능, 되찾고 싶다면?" 논현동 치과 임플란트 수술 후기 소개 (feat. 당일 발치 및 즉시 식립 성공) 치아 우식증(충치)은 방치하면 할 수록 신경, 뿌리를 넘어 감염되는 질환입니다. 초기 충치는 소리도 없이 ...
blog.naver.com
Explore More
Keep Browsing This Clinic's Korean Content Trail.
Return to the source archive for more posts, or move back to the clinic profile to compare the rest of the clinic's public channels.