루시드치과의원 LUCID Dental Clinic ルシード歯科 露西得牙科医院 LUCINATE ルシネート
선정릉역 치과 "누렇고 삐뚤빼뚤한 치아에서 연예인 치아로, 이제 맘 편히 웃어보세요." 착색 및 크기 부조화 앞니 라미네이트 시술 사례
루시드 선정릉역 치과 인사드립니다 :D 라미네이트 는 얇게 제작한 보철을 자연치 표면에 부착하여 모양과 색조를 한 번에 개선할 수 있는 치료인데요 보통 누렇거나 삐뚤빼뚤한 배열로 인해 고민인 환자들이 많이 받는 치료 중 하나입니다. 루시드에 내원하는 분들의 주소 중 많은 부분을 차지하기도 하는데요 오...
루시드 선정릉역 치과
인사드립니다 :D
라미네이트 는 얇게 제작한
보철을 자연치 표면에 부착하여
모양과 색조를 한 번에
개선할 수 있는 치료인데요
보통 누렇거나
삐뚤빼뚤한 배열로 인해
고민인 환자들이 많이
받는 치료 중 하나입니다.
루시드에 내원하는 분들의 주소 중
많은 부분을 차지하기도 하는데요
오늘 소개해 드릴 사례 또한 마찬가지로
색조와 배열로 인해 찾아오셨다고 합니다.
그럼 주소부터 함께 알아볼까요?
- 치아 고민
"선생님 제 치아가
좀 누렇고 삐뚤빼뚤해서
예쁘게 만들고 싶어서 찾아왔어요..."
환자께서 위와 같은 주소를 말씀할 때
보니 자꾸 손으로 입을 가리시더군요.
문진을 진행하면서 자세히 여쭤보니,
말할 때마다 보이는 앞니가 부끄럽다며
가리는 습관이 생겼다고 하셨습니다.
전치부(앞니)는 구치부(어금니)완 달리
눈에 잘 들어오는 곳에 자리 잡고 있어
심미 관련 영향을 많이 받고 있습니다.
이는 사람들과 의사소통할 때도
소심한 자세와 위축된 모습을 보여
자신감도 떨어지게 될 수 있는데요
선정릉역 치과 는 주소를 토대로
환자의 구강 환경을 자세히 알아보고
함께 치료 계획을 수립하기로 했습니다.
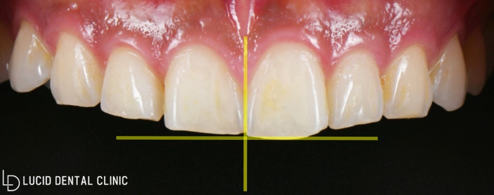
- 검진
먼저 구내 사진 촬영으로
문제를 정확히 파악했습니다.
보고 계신 건 구강 정면에서 바라봤을 때
상악(위턱)을 중점으로 촬영한 사진입니다.

정중선으로 좌, 우 크기의
대칭성을 확인해 봤는데요
좌, 우 크기 부조화가 일어난 모습과
비대칭인 모습을 확인할 수 있었습니다.
더불어 치아 착색이 여러 군데에 일어나
심미적인 불편함을 유발하고 있습니다.
물론 기능 부분에선
크게 문제가 되지 않으나
계속해서 환자의 심적인 부분과
심미 요소에 영향을 주고 있어
선정릉역 치과 가 진단한 결과,
개선하는 것이 좋겠다고 판단하였습니다.
- 치료 계획
검진을 마치자 관리되지 않은 모습이라며
굉장히 보여주기 부끄러워하셨는데요
여긴 구강 건강을 점검하고,
치료받기 위해 있는 곳이기 때문에
크게 부끄러워하지 않으셔도 돼요 :)
위와 같이 말씀드리며
불안함을 달래고 함께
치료 계획을 의논한 결과,
루시드에서 시행하는
라미네이트 시술을 통해
문제를 개선하기로 했습니다.
저희 선정릉역 치과 에서
시행하고 있는 라미네이트 는
다른 곳과는 달리 '얇다'라는
포인트에 중점을 두고 있는데요
해당 부위의 표면을 0.1mm
두께로 '얇게' 다듬어 준 다음,
맞춤형으로 '얇게' 제작해 드린
보철을 그 위에 부착하고 있습니다.
다시 말해서, 보다 많은 양의 자연치
보존이 가능하다는 장점이 있죠.
게다가 원내 기공소를 통해 단 하루면
보철 제작을 완료해 드리고 있는데요
빠르고, 정교하게 제작할 수 있기 때문에
높은 만족도와 결과를 도출하고 있습니다.
환자께도 해당 내용을 설명해 드리니
'얇게' 깎아서 붙인다는 점이 마음에 든다며
빠른 시일 내에 개선하길 희망하셔서
곧장 라미네이트 시술에 들어갔습니다.
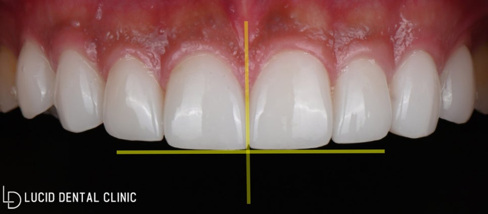
- 라미네이트 종료

다음과 같이 시술 종료 후
촬영한 구강 정면 사진입니다.
말씀드린 대로 보철 제작까지
단 하루 만에 종료되었고,
함께 선정한 색조와 모형 그대로
맞춤형 제작을 완료하였는데요
부착 후 교합 높이와 표면을 조정해 드리며
높은 만족도와 함께 마무리할 수 있었습니다.
- 주의 사항
최근 기술이 점점 발전하면서
자연치만큼의 세기를 가지고 있어
파절 혹은 떨어질 가능성이
이전보다 확연히 줄어들었는데요
그럼에도 불구하고 위와 같은 이유로
재방문하는 분이 종종 있기 때문에
루시드 선정릉역 치과 에서
몇 가지 주의 사항을 안내해 드리며
사례 소개를 마무리하려고 합니다.
1 . 식습관 주의하기
-
'딱딱한'
-
'끈적한'
-
'질긴'
-
착색 유발
위와 같이 4가지 특징을 가진
식품을 조심해야 되는데요
해당 부위에 강한 힘이 주어지면
부착된 인공치가 파절될 수 있고,
끈적한 식품으로 인해 구강에서
순식간에 떨어져 나갈 수 있습니다.
또한, 커피나 카레처럼 쉽게
착색을 불러일으키는 음식은
최대한 자제하는 것이 좋으나,
불가피한 경우, 곧장 양치질을 하여
조금이라도 일으킬 수 있는
확률을 줄이는 것이 좋습니다.
- 흡연 자제하기
방금 말씀드린 착색 유발 식품처럼
니코틴 또한 쉽게 일으킬 수 있습니다.
담배는 몸 건강에도 해롭다는 것,
잊지 말고 주의하길 바랍니다. :)
- 시린 증상
0.1mm의 얇은 두께를 삭제하긴 해도
치아를 깎아내는 과정이기 때문에
잠깐동안 이 시림이 나타날 수 있습니다.
그러니 너무 뜨겁거나
찬 음식은 주의하고,
만약, 계속해서 시린 느낌을 받을 경우엔
내원하셔서 구강 검진 한 번 받아보세요.
이와 같이 누렇고 삐뚤빼뚤한 앞니를
라미네이트 로 한 번에 개선해 드렸는데요
이젠 웃을 때 입을 가리지 않고
어디서나 마음껏 웃고 다닌다는
후기를 들려주셨습니다 ㅎㅎ
루시드 선정릉역 치과 는
늘 환자의 소리에 귀 기울이며
자연치 보존을 위해 힘쓰고 있습니다.
언제든 편하게 방문할 수 있는,
그런 루시드가 되도록 하겠습니다.
감사합니다 :)
루시드치과의원 서울특별시 강남구 논현로111길 3 상가 1층 101, 102A
역삼동 치과 "누런 내 앞니 치아, 해결 방법은?" 잇몸 절제술을 병행한 라미네이트 치료 사례 소개 어젯밤 날씨가 꽤 쌀쌀한 걸 보니 이제 겨울이 조금씩 오고 있나 봐요. 다들 옷차림 단단히 하셔서 감기 조...
blog.naver.com
루시드 치과 한 눈에 보기👀 의료진 소개 오시는 길 및 진료시간 안내 루시드의 특별함 루시드의 스케일링 루시드의 임플란트 루시드치...
blog.naver.com
루시드의 라미네이트 🌷 🌷예뻐지기 위해 하는 라미네이트, 그런데 소중한 내 치아를 일부 깎아내고 해야 된다는 사실 알고 계셨...
blog.naver.com
Explore More
Keep Browsing This Clinic's Korean Content Trail.
Return to the source archive for more posts, or move back to the clinic profile to compare the rest of the clinic's public channels.