루시드치과의원 LUCID Dental Clinic ルシード歯科 露西得牙科医院 LUCINATE ルシネート
자연치 살리는 강남역 치과 임플란트 수술 사례 소개 - 신경치료 동반 후기
루시드치과의원 서울특별시 강남구 논현로111길 3 상가 1층 101, 102A 반갑습니다, 여러분. 자연치 살리는 강남역 루시드 치과 대표원장 박현민이라고 합니다 :) 오늘은 임플란트 수술 과 신경치료로 기능을 회복한 사례를 가지고 왔습니다. 본격적인 사례 소개에 들어가기 전, 질문 한 가지를 드리고 싶습니...
루시드치과의원 서울특별시 강남구 논현로111길 3 상가 1층 101, 102A
반갑습니다, 여러분.
자연치 살리는 강남역
루시드 치과 대표원장
박현민이라고 합니다 :)
오늘은 임플란트 수술 과 신경치료로
기능을 회복한 사례를 가지고 왔습니다.
본격적인 사례 소개에 들어가기 전,
질문 한 가지를 드리고 싶습니다.
여러분은 구강 관리,
어떻게 하고 계시나요?
보통 가정에서 시행하는 칫솔질론
구강 구석구석 꼼꼼하게 닿지 않아
100% 온전히 관리하긴 힘듭니다.
그래서 저는 강남역 치과 에
방문하는 환자분마다 한 번씩
구강 관리와 함께 정기 검진을
받으라고 당부해 드리고 있습니다.
정기 검진으로 한 번씩 구강을 점검하고,
전문가 관리를 병행할 수 있도록 말이죠.
이제 본격적으로 오늘 가져온
사례를 소개해 드리겠습니다.
부디 이 글을 통해 정기 검진과
구강 관리에 관해 긍정적으로
생각하는 시간이 되길 바랍니다.
- 내원 당시
"제가 어금니를 두 개 뽑고
치료 받을 시간이 부족해서
지금까지 미뤄왔었거든요.
이번에 검진 받고
치료하려고 찾아왔어요."
이 분께선 전체적인 구강 검진을 받기 위해
강남역 치과 에 내원하셨다고 하네요
이처럼 시간이 부족하거나, 귀찮다는 이유로
내원을 미루는 분들을 종종 볼 수 있습니다.
그러나, 치료가 필요한 순간을 놓치게 되면
보다 많은 문제점이 나타날 수 있는데요
충치 같은 경우, 점점 깊게 파고 들어가
신경을 넘어 뿌리까지 감염되기 시작하며
통증뿐만 아니라 저작, 발음, 연하 등의
치아 기능에 영향을 줄 수 있습니다.
그럼 결국, 전신 건강에도 피해를 주게 되니
조기 발견 및 치료로 미리 해결하는 것이 좋죠.
환자의 경우, 발치한 지
시간이 꽤 지났다고 하셔서
다른 문제가 나타나진 않았는지
자세히 확인해 볼 필요가 있습니다.
따라서, 강남역 치과 는 정밀 검진으로
환자의 구강 환경부터 파악하기로 했습니다.
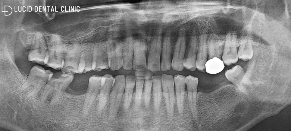
초진 파노라마 엑스레이로 확인한 결과,

화살표로 표시해 드린 것처럼
어금니 치아 두 개를 발치하셨네요
그런데 생각보다 꽤 많은 양의
문제점이 나타나고 있었습니다.
동그라미로 표시해 드린 곳을 보면,
거뭇한 부분이 크게 나타나고 있죠?
현재 충치 감염이 크게 일어나면서
(1) 치관(머리 부분)이 사라지고 있었고,
(2) 조금씩 정출되며 교합에
방해를 주고 있었습니다.
더 방치하다간 자연 발치로 이어질 가능성이 크고,
다른 곳에도 영향을 끼칠 수 있다고 판단했습니다.
- 치료 계획
강남역 치과 는 '자연치 살리기' 라는
원칙을 가지고 치료하고 있습니다.
본인 치아를 살려서 보다 오래
사용하는 게 더 좋으니까요 :)
따라서 (1) 비어있는 어금니는
임플란트 수술 로 채워 넣고,
(2) 나머지 부분은 신경치료를 통해
자연치를 살려내기로 결정했습니다.
강남역 치과 에선
본격 치료를 진행하기 전,
부작용이 나타나지 않고,
빠른 치료 시간을 위해서
디지털 자료 분석을
시행하고 있습니다.
분석된 자료를 통해 가이드를 만들어
임플란트 수술 을 진행해 드리고 있죠.
이 가이드는 치은을 최소한만 절개하여
픽스처를 즉시 식립할 수 있게 돕는 장치로
부기와 통증을 최소로 줄여줄 수 있습니다.
전 환자를 우선으로 치료하고 있기 때문에
항상 이 장치를 제작하려고 하고 있어요 :)
루시드치과의원 논현동 역삼동 임플란트, 라미네이트, 치아교정, 투명교정 치과
- 치료 종료

사진과 같이 신경치료와 임플란트 수술 로
한층 높아진 심미와 기능을 되찾아드렸습니다.
환자께서도 진작 치료받을 걸,
늦게 와서 후회한다는
말씀을 전하셨는데요
이제는 그런 일 없도록,
검진 일정을 잡아드리며
꾸준한 방문과 관리를
부탁드렸습니다 :)
다들 구강 관리와 정기 검진,
왜 받아야 되는지 알 것 같죠?
저는 또 다른 사례를 가지고
다시 찾아오도록 하겠습니다.
올해 2023년 너무 고생 많으셨고,
다가오는 2024년도 잘 부탁드려요 :)
루시드치과의원 서울특별시 강남구 논현로111길 3 상가 1층 101, 102A
Explore More
Keep Browsing This Clinic's Korean Content Trail.
Return to the source archive for more posts, or move back to the clinic profile to compare the rest of the clinic's public channels.