루시드치과의원 LUCID Dental Clinic ルシード歯科 露西得牙科医院 LUCINATE ルシネート
"이 시림 증상, 빠르고 간편하게 치료할 순 없을까?" 서초동 치과 추천 앞니 라미네이트 시술 로 치경부 마모증(CA) 해결!
치경부 마모증(CA)이란? 치경부 마모증은 외부로부터 지속해서 받은 강한 힘에 의해 치아 목 부위가 파이거나 깎이는 질환을 얘기합니다. 어느 치아든 쉽게 나타날 수 있으며 점점 심하게 진행될 경우, 나중에는 치아가 뚝! 하고 부러질 수 있습니다. 그렇기 때문에 미리 이 질환을 발견하고 심해지기 전에 치료받는 것이...
치경부 마모증(CA)이란?
치경부 마모증은 외부로부터
지속해서 받은 강한 힘에 의해
치아 목 부위가 파이거나
깎이는 질환을 얘기합니다.
어느 치아든 쉽게 나타날 수 있으며
점점 심하게 진행될 경우, 나중에는
치아가 뚝! 하고 부러질 수 있습니다.
그렇기 때문에 미리 이 질환을 발견하고
심해지기 전에 치료받는 것이 건강에 좋죠.
대표적인 치경부 마모증의 원인으로는
'잘못된 칫솔질 방법' 이라 보고 있는데요
위, 아래로 쓸어내리듯 닦지 않고
좌, 우로 강하게 닦게 되었을 때
치경부 마모증이 나타나곤 합니다.
이 질환은 치아 목 부위를 점점 파고들며,
이 시림 증상까지 한 번에 나타날 수 있는데요
나타난 정도 및 위치에 따라서 레진 치료나
라미네이트 시술, 보철 수복을 받게 됩니다.
오늘은 이와 같이 치경부 마모증과
이 시림 증상을 원인으로 서초동 치과 에
내원한 환자의 이야기를 들려드릴 겁니다.
이번 글을 통해 정기 검진과 구강 관리가
얼마나 중요한지 다시금 깨닫길 바랍니다.
- 첫 방문
"선생님, 요즘 들어 치아가 자꾸 시리고
계속 누렇게 변하고 있는 것 같아서 왔어요."
환자께서 서초동 치과 에 내원 후,
위와 같은 주소를 말씀하셨습니다.
문진 과정을 통해 자세히 알아본 결과,
칫솔질의 문제가 있는 걸 알 수 있었는데요
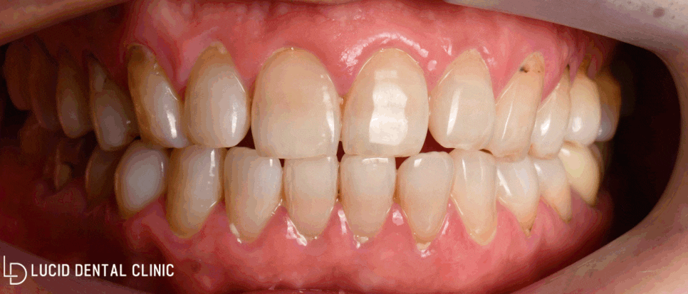
구강 카메라를 통해 현황을 살펴보니

이와 같이 치경부 마모증(CA)이
나타난 걸 확인할 수 있었습니다.
이렇게 치아 목 부위가 파이기 시작하며
내부 모습이 외부로 드러나게 되었으니
당연히 시림 증상이 나타날 수밖에 없죠.
얼마나 시리고 고통스러운 지 알기에
더욱 빠르게 해결해 드리고 싶었습니다.
환자께서도 빠르게 치료하길 원하셔서
곧장 치료 방안에 대해 의논해 봤습니다.
- 치료 계획, 이렇게 세워봤습니다.
보통 이 문제를 해결할 수 있는 방법은
-
레진 치료
-
라미네이트
-
보철 수복
이렇게 3가지로 나눌 수 있습니다.
그러나, 환자께선 이미 레진 치료를
받은 모습을 관찰할 수 있었는데요
또 다시 문제가 발생한 것이기에
보존 치료를 반복하는 것보다는
라미네이트 시술을 통해 심미성과
기능을 회복하는 것이 좋을 듯합니다.
따라서 서초동 치과 에서 시행하는
라미네이트 를 추천해 드렸는데요
여기에 덧붙여 장점 몇 가지를
함께 설명해 드렸습니다 :)
-
빠른 치료 기간
-
적은 치아 삭제량
-
자연치 보존 가능
-
빠른 수정 가능
-
얇은 보철 제작
위와 같이 총 5가지의
장점을 설명해 드렸는데요
설명 그대로 서초동 치과 는
원내 기공소를 보유하고 있어,
단 하루 만에 보철을 제작할 수 있고,
빠른 치료 기간을 기대할 수 있습니다.
저는 최대한 많은 양의 자연치를 보존해서
사용하는 것을 원칙으로 생각하고 있어,
보다 얇은 치아 삭제량 및 보철 제작을
중요시 여기며 치료해 드리고 있습니다.
환자께서도 위 5가지 장점이 마음에 든다며
라미네이트 시술에 동의한다고 하셨습니다.
그럼, 최종 종료된 환자의
구강 모습은 어떻게 변했을지
지금부터 보여드리겠습니다!
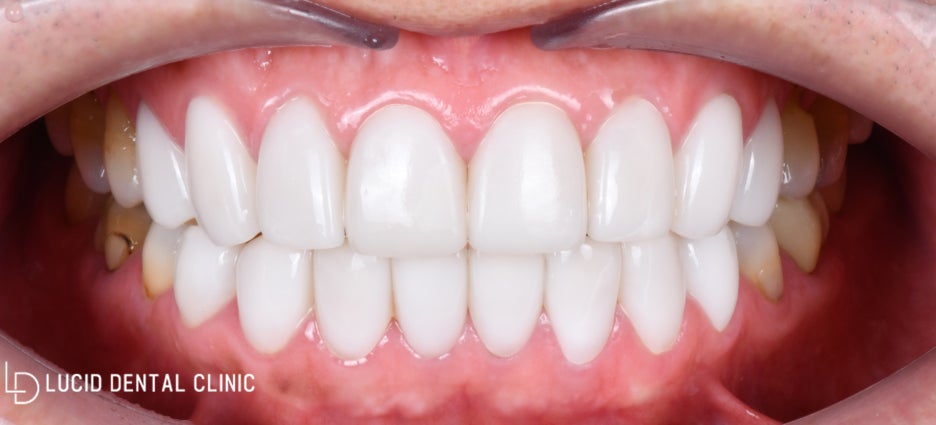
- 최종 종료

앞서 설명해 드렸던 것처럼
단 하루 만에 보철 제작을 마쳐
장착 후, 마지막 치료 과정인
연마 및 교합 조정을 거쳤습니다.

이전과 비교해서 관찰하면
심미적인 불편함을 해소하며
이 시림 증상 즉, 치경부 마모증까지
한 번에 해결해 드린 걸 알 수 있는데요
환자께서 결과에 만족한다는 모습을 보이며,
자신감을 되찾아 행복하다고 말씀하셨습니다.
종종 이런 말을 들을 때면
정말 기분 좋더라고요 ㅎㅎ
끝으로 구강 관리 열심히 하셔서
이 모습 그대로 오랫동안 사용하도록
정기 검진 일정까지 잡아드렸습니다 :)
- 정리
서초동 치과 는 보다 정밀한 검진을 통해
딱 맞는 치료 계획을 수립하고 있습니다.
다시 말해, 맞춤형 치료를 통해
빠르게 문제를 개선하고 있죠.
그러니 만약 이번 사례와 같은
고민을 가지고 있는 분이 계신다면
서초동 치과 로 언제든 편히 방문하셔서
정밀 구강 검진을 통해 해결하길 바랍니다!
루시드치과의원 서울특별시 강남구 논현로111길 3 상가 1층 101, 102A
루시드 치과 한 눈에 보기👀 의료진 소개 오시는 길 및 진료시간 안내 루시드의 특별함 루시드의 스케일링 루시드의 임플란트 루시드치...
blog.naver.com
앞니 치아 담배로 인한 니코틴 착색, 역삼역 치과 라미네이트 로 하얗게 바꿔 드렸습니다. 여러분들 혹시 흡연 자주 하고 계시나요? 우리 치아는 태어날 때부터 지금까지 계속 하얗지 않고 선천 혹은...
blog.naver.com
Explore More
Keep Browsing This Clinic's Korean Content Trail.
Return to the source archive for more posts, or move back to the clinic profile to compare the rest of the clinic's public channels.