루시드치과의원 LUCID Dental Clinic ルシード歯科 露西得牙科医院 LUCINATE ルシネート
"치아 사이 거뭇한 공간, 알고 보니 이것?" 역삼동 치과 앞니 라미네이트 하루 만에 가능해요!
루시드치과의원 서울특별시 강남구 논현로111길 3 상가 1층 101, 102A 루시드치과의원 논현동 역삼동 임플란트, 라미네이트, 치아교정, 투명교정 치과 www.teethlucid.com 루시드 치과 한 눈에 보기👀 의료진 소개 오시는 길 및 진료시간 안내 루시드의 특별함 루시드의 스케일링 루시드의 임플란트 루시드치....
루시드치과의원 서울특별시 강남구 논현로111길 3 상가 1층 101, 102A
루시드치과의원 논현동 역삼동 임플란트, 라미네이트, 치아교정, 투명교정 치과
루시드 치과 한 눈에 보기👀 의료진 소개 오시는 길 및 진료시간 안내 루시드의 특별함 루시드의 스케일링 루시드의 임플란트 루시드치...
blog.naver.com
문득 거울을 쳐다봤을 때 치아 사이
거뭇한 공간이 신경 쓰인 적, 있나요?
흔히 위턱과 아래턱 전치부에 나타나는 이것은
'정중 이개' 혹은 '치간 이개'라고 부르곤 합니다.
대표적인 원인으로는
-
턱뼈 크기 부조화
-
치아 크기 부조화
-
위, 아래 교합 문제
총 3가지로 나눌 수 있습니다.
물론 사람마다 나타나는 원인이 다르기에,
받을 수 있는 방법 또한 달라질 수 있는데요
나타난 정도와 위치, 구강 환경에 따라
레진이나 보철 수복, 라미네이트, 교정
총 4가지 방법으로 나눠지게 됩니다.
오늘은 이 중에서 라미네이트 를 통해
해결해 드린 환자 사례를 가져왔는데요
어떤 과정을 통해 변화하였는지
지금부터 자세히 알아보겠습니다.
- 앞니 사이 공간
"제가 거울을 보는데 며칠간 계속
여기 앞니 사이 공간이 거슬려서요."
이번 환자께선 위와 같은 주소를 가지고
역삼동 치과 에 방문하게 되셨는데요
앞니 사이 공간 즉, 정중 이개를
처치하기 위해 찾아오셨다고 합니다.
이와 같은 경우 앞서 설명해 드린 것처럼
원인에 따라 치료 방법이 달라지기 때문에
디지털 장비를 이용한 정밀 검진으로
보다 자세히 관찰할 필요가 있었습니다.
그럼 초진 구내 모습을 한 번 볼까요?
- 정밀 검진 결과
구강 카메라를 통해 관찰한 결과,

여러 거뭇한 부분을 확인하였습니다.
이것을 바로, '정중 이개' 혹은
'치간 이개'라고 부르고 있습니다.
진단한 결과, 치은이
조금씩 내려가면서
숨어있던 내부 모습이
드러난 것으로 보입니다.
이 모습 그대로 계속 방치하면
이 시림 증상이 나타날 수 있고,
사이로 음식물, 치석이 쉽게 쌓이기 때문에
충치와 치주 질환에 걸릴 가능성이 높습니다.
다행히 모두 심하게 나타나지 않아
쉬운 방법으로 해결할 수 있겠습니다.
이 부분에 대해선 저 혼자만이 아닌,
환자의 의견을 알아봐야겠습니다.
따라서 역삼동 치과 는 환자와 함께
방안에 대해 의논하기로 했습니다.
- 치료 방법은?
이번 사례의 경우,
교정이나 보철 수복까진
받지 않아도 될 것으로 판단하여
레진 수복 혹은 라미네이트 를 통해
개선 할 수 있을 것으로 보입니다.
물론, 각 방법마다 가지고 있는
장, 단점이 다를 수밖에 없는데요
이 부분은 전문 의료진과 의논하며
개인의 구강 환경에 맞춘 치료 방법을
받는 것이 좋다고 말씀드리고 싶습니다.
이번 케이스는 결론적으로
라미네이트 방법을 이용하여
정중 이개를 개선하기로 했습니다.
역삼동 치과 의 라미네이트 는
미리 제목에서 알 수 있는 것처럼
단 하루 만에 개선이 가능한데요
그 이유는 바로, 기공소를 보유하고 있어
보다 빠르게 제작할 수 있기 때문입니다.
자연치 약 0.1mm 의 두께만을 제거하고,
이와 유사한 두께를 가진 보철을 제작하여
보다 많은 양의 자연치 보존과 동시에
빠른 치료를 추구하며 진행하고 있는데요
예전처럼 많은 양의 자연치를 깎아
두꺼운 보철을 장착하는 방식이 아니라
이전보다 많은 사람들이 만족하며
받고 계신 있는 방법 중 하나입니다.
게다가 주변 치아와의 배열, 형태,
색조 등을 고려하여 제작하고 있어
보다 높은 심미성을 기대할 수 있죠.
그럼 완성된 구강 모습은 어떤지
최종 종료 후 사진을 보러 갈까요?
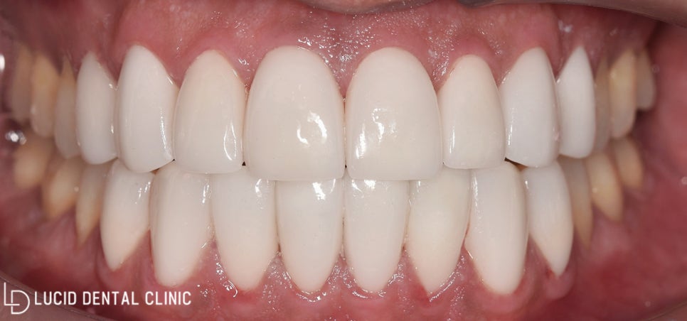
- 최종 종료

앞니 사이 거뭇한 공간으로 인해
심미적인 불편이 있던 이전과 달리,
한층 더 밝고 자연스러운 형태로
깔끔하게 고민을 해결해 드렸습니다.
종료하고 나서 빠른 시간 안에
개선할 수 있다는 점이 놀랍다며
결과에 크게 만족하고 가셨습니다 :)
자연치와 유사한 세라믹 소재로
높은 심미성을 자랑할 수 있으나,
무엇이든 일정량의 수명이 정해져 있죠.
다시 말해, 자연치와 동일하게
꾸준히 관리하는 것만이 보다
오랜 기간 사용할 수 있는
유일한 방법이란 것입니다.
여기에 정기 검진까지 병행한다면
건강한 구강 환경을 가질 수 있겠죠?
위생용품을 함께 사용하며 관리하면
더욱 좋으니 참고하는 것이 좋겠습니다 :)
이렇게 역삼동 치과 에서
단 하루 만에 라미네이트 로
정중 이개를 개선해 드렸는데요.
만약, 이와 비슷한 고민이 있다면
더 큰 질환으로 넘어가지 못하도록
빠른 시일 내로 방문하셔서
검진 한 번 받아보길 바랍니다!
루시드치과의원 서울특별시 강남구 논현로111길 3 상가 1층 101, 102A
루시드치과의원 논현동 역삼동 임플란트, 라미네이트, 치아교정, 투명교정 치과
"이 시림 증상, 빠르고 간편하게 치료할 순 없을까?" 서초동 치과 추천 앞니 라미네이트 시술 로 치경부 마모증(CA) 해결! 치경부 마모증(CA)이란? 치경부 마모증은 외부로부터 지속해서 받은 강한 힘에 의해 치아 목 부위가 파이...
blog.naver.com
루시드 치과 한 눈에 보기👀 의료진 소개 오시는 길 및 진료시간 안내 루시드의 특별함 루시드의 스케일링 루시드의 임플란트 루시드치...
blog.naver.com
Explore More
Keep Browsing This Clinic's Korean Content Trail.
Return to the source archive for more posts, or move back to the clinic profile to compare the rest of the clinic's public channels.