루시드치과의원 LUCID Dental Clinic ルシード歯科 露西得牙科医院 LUCINATE ルシネート
소실된 어금니 치아, 신논현역 치과 에서 틀니 없이 임플란트 수술 로 해결하기
루시드치과의원 서울특별시 강남구 논현로111길 3 상가 1층 101, 102A 루시드 치과 한 눈에 보기👀 의료진 소개 오시는 길 및 진료시간 안내 루시드의 특별함 루시드의 스케일링 루시드의 임플란트 루시드치... blog.naver.com 오늘은 임플란트 수술 을 통해 소실된 치아 기능을 회복했던 환자의 사례를 가져왔...
루시드치과의원 서울특별시 강남구 논현로111길 3 상가 1층 101, 102A
루시드 치과 한 눈에 보기👀 의료진 소개 오시는 길 및 진료시간 안내 루시드의 특별함 루시드의 스케일링 루시드의 임플란트 루시드치...
blog.naver.com
오늘은 임플란트 수술 을 통해
소실된 치아 기능을 회복했던
환자의 사례를 가져왔습니다.
그런데, 이 환자께선
특이하게도 위턱 치아를
모두 소실한 모습이었는데요
자세히 여쭤 보니 충치와 치주 질환에 의해
치아 뼈가 녹고, 통증이 나타났었다고 합니다.
이런 경우, 신논현역 치과 에서는
소실된 치아 역할을 회복하기 위해
-
부분 틀니
-
임플란트
두 가지 치료 옵션을 제시해 드리고 있습니다.
치아는 사실, 저작뿐만 아니라 발음과
연하 등의 역할까지 수행하고 있습니다.
쉽게 얘기하자면, 소수가 아닌
다수의 치아를 소실하게 될 경우
위와 같이 많은 역할 사용에
방해가 될 수 있단 것인데요
이는 곧 전신으로 이어져,
턱관절, 영양실조와 같은
문제점이 나타날 수 있습니다.
오늘 사례를 통해 정기 검진과
구강 관리를 조금 더 신경 써서
시행할 수 있기를 바랍니다 :)
- 첫 내원
"제가 위턱 치아를 거의 다 뽑아서요,
밥 먹기가 힘들지만 계속 참았는데
요즘은 턱도 좀 불편하 것 같아서
이번에 치료받으려고 찾아왔어요."
환자꼐서 가지고 오셨던 주소인데,
말씀하실 때 자세히 들어보니
발음이 조금씩 새고 있었습니다.
이는 곧, 치아 발치 후 제대로 치료받지 않아
발음 기능에 큰 영향을 주고 있다는 것입니다.
환자께선 빠른 치료를
받고 싶다는 말과 함꼐
전체적인 검진을
진행하길 원하셨는데요
이에 따라 전체 구강 환경을 살펴볼 수 있도록
파노라마 엑스레이를 촬영하기로 했습니다.
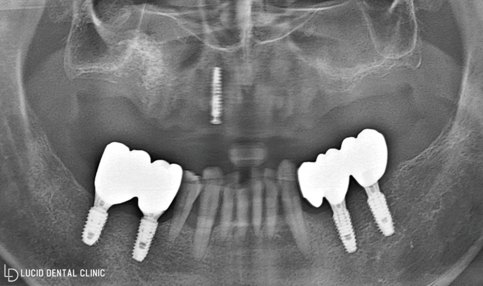
- 검진 결과
아래와 같이 엑스레이를 통해
전체 구강 환경을 살펴본 결과,

위턱 치아를 모두 잃은 채,
픽스처 하나가 식립된 모습을
발견할 수 있었습니다.
자세히 여쭤 보니 타원에서 받은 것으로,
마음에 들지 않아 본원에 오셨다는데요
현재 위턱 주변에 위치하고 있는
상악동과 근접하게 뼈가 소실되어,
발치한 시간이 오래되었다는
사실까지 추측할 수 있었습니다.
이런 환경에서 임플란트
수술 을 진행하게 될 경우,
픽스처를 단단히 고정하지 못하고
해부학 구조에 천공이 나타날 수 있어
미리 CT 사진으로 분석한 다음,
상악동을 들어 올리는
골이식 과정을 병행해야 됩니다.
우선 환자와 함께 치료 방안에 대해
자세히 얘기하기로 결정했습니다.
- 치료 계획
환자께 부분 틀니와 임플란트 수술
두 가지의 치료 옵션을 제시한 결과,
다수의 임플란트 수술 을 통해
튼튼한 기능을 갖길 원하셨습니다.
신논현역 치과 는 환자께서
비용 부담이 있을 것 같아,
브릿지 형태의 보철로
마무리하기로 결정했습니다.
다시 말해, 최소한의 식립으로
최대의 효과를 보이겠단 것이죠.
"그럼 식립하고 나면
임시 틀니를 사용하나요?"
간혹 위와 같은 질문을 주신
환자분들이 몇몇 계셨기에
간단히 대답해 드리자면,
'아니요'라고 답하겠습니다!
신논현역 치과 는 원내 기공소를 보유하고 있어
보다 빠른 보철 제작과 수정이 가능한데요
임플란트 수술 후
임시 치아를 제작하여
당일에도 편하게
식사하실 수 있도록
도와드리고 있습니다.
이 부분은 많은 분들께서
좋아하는 신논현역 치과 의
장점이라고 볼 수 있습니다 :)
- 최종 종료

보다 빠르게 식립하고 치유할 수 있도록
가이드 보조 장치를 통해 진행했는데요
빠른 시간뿐만 아니라 통증 및 출혈을
최소화 할 수 있다는 장점이 있습니다.
아래 사진과 같이 임플란트 수술 을
안정적으로 마친 모습을 볼 수 있습니다.

끝으로 몇 가지 주의 사항을 설명하고
다음 검진 일정까지 잡아드렸는데요
자연치가 아닌 보철이라는
이유로 관리를 소홀히 하면
충치와 치주 질환이 더욱
가까이 다가올 수 있습니다.
다시 말해, 재감염이 일어나며
구강뿐만 아니라 전신까지
영향을 줄 수 있단 것이죠.
그러니 이런 문제가 나타나지 않도록
구강 관리와 정기 검진 놓치지 말고
꾸준히 시행하는 것을 권유해 드립니다.
지금까지 신논현역 치과 의
임플란트 사례 소개였습니다.
감사합니다 :)
루시드치과의원 서울특별시 강남구 논현로111길 3 상가 1층 101, 102A
루시드 치과 한 눈에 보기👀 의료진 소개 오시는 길 및 진료시간 안내 루시드의 특별함 루시드의 스케일링 루시드의 임플란트 루시드치...
blog.naver.com
"어금니가 없어서 식사하기 불편해요!" 강남역 치과 빠르고 안전하게 임플란트 수술 성공한 후기 어금니(구치부) 치아는 저작과 교합 기능을 우선으로 시행하며 없어선 안 될 역할을 맡고 있습니다. 만약 ...
blog.naver.com
루시드의 임플란트 🦷 임플란트는 제 2의 치아로 불리는 만큼 자연치처럼 편안하고 튼튼해야됩니다. 그러기 위해서 재료에서 부터...
blog.naver.com
Explore More
Keep Browsing This Clinic's Korean Content Trail.
Return to the source archive for more posts, or move back to the clinic profile to compare the rest of the clinic's public channels.