루시드치과의원 LUCID Dental Clinic ルシード歯科 露西得牙科医院 LUCINATE ルシネート
서초동 치과 충치 및 정출 빠르게 해결한 위, 아래 어금니 임플란트 수술 과정 및 관리법 소개
루시드치과의원 서울특별시 강남구 논현로111길 3 상가 1층 101, 102A 우리는 조금씩 변화하고 있는 구강 환경을 청결하게 관리하기 위해 매일 가정에서 양치질을 시행하지만 사실 그게 마음처럼 안 되는 경우가 많죠. 구강 구조에 따라 칫솔이 미처 닿지 않아 관리되지 않는 부분이 생기기 때문입니다. 이로 인해 쉽...
루시드치과의원 서울특별시 강남구 논현로111길 3 상가 1층 101, 102A
우리는 조금씩 변화하고 있는
구강 환경을 청결하게 관리하기 위해
매일 가정에서 양치질을 시행하지만
사실 그게 마음처럼 안 되는 경우가 많죠.
구강 구조에 따라 칫솔이 미처 닿지 않아
관리되지 않는 부분이 생기기 때문입니다.
이로 인해 쉽게 여기저기
충치 감염이 나타나게 되고,
치주 질환은 물론, 뿌리에도 많은
영향을 끼쳐, 문제가 커지게 됩니다.
"그럼, 어떻게 관리해야 되나요?"
라고 여쭤보실 분들을 위해서
오늘, 서초동 치과 가 관련 사례와
몇 가지 관리법을 가져왔습니다!
그럼, 환자의 구강 고민을 시작으로
본격 사례 소개에 들어가 볼게요 :)
루시드 치과 한 눈에 보기👀 의료진 소개 오시는 길 및 진료시간 안내 루시드의 특별함 루시드의 스케일링 루시드의 임플란트 루시드치...
blog.naver.com
- 주소 - 구강 고민
"제가 이제 치아가 많이 없어서
참고 참다가 도저히 안 되겠어서
임플란트 심으려고 찾아왔습니다."
오실 때 위와 같은 주소를 말씀하셔서
서초동 치과 에서 문진을 시행한 결과,
환자께선 이미 다수의 치아를 소실했으나,
불편감을 꿋꿋이 참으며 살아오셨다는데요
이제는 편하게 식사하는 게 소원이라며
임플란트 를 받고 싶다고 말씀하셨습니다.
(자연치 기능이니,
누구나 할 수 있는 일인데...
이 말을 들으니 슬프더라고요...)
보다 정교하고 정밀하게 환자의 초진
구내 환경을 파악하고 진단을 내려야,
그만큼 높은 만족도와 정확도를 가진
최종 결과를 안겨드릴 수 있습니다 :)
그러니, 우선 정밀 구강 검진으로
환자의 치아 상태 및 구강 문제를
자세히 파악해 보도록 하겠습니다.
강남구청역 치과 전체 임플란트 수술, 빠르고 정확하게 받으려면? 반갑습니다. 강남구청역 주변에 위치한 루시드 치과 박현민 원장입니다. 혹시 전체 임플란트 수술 을 고민...
blog.naver.com
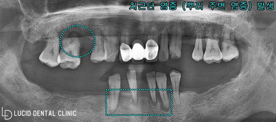
- 검진 결과 및 진단
<파노라마 엑스레이의 경우,
본래 환자의 구강과 반대로 나오니
사진을 기준으로 설명하겠습니다.>

진단 결과, 현재 환자 구강 속에
-
치근단 염증(뿌리 주변)
-
심한 치조골 퇴행(내려감)
-
이미 발치하여 빈 어금니
총 3가지의 문제를 발견할 수 있었습니다.
잔존치 역시 정출이 시작되며 보존이 어려웠고
잔존 치조골의 양 또한 현저히 적어 보였습니다.
만약, 임플란트 수술 을 진행한다 하면
보다 단단히 픽스처를 고정할 수 있도록
꽤 많은 양의 골 이식 과정이 필요할 겁니다.
진단 결과를 토대로 함께 계획을 수립한 결과,
위, 아래 어금니 임플란트 수술 을 계획했습니다.
서초동 치과 는 환자께서 보다 튼튼하게
식사하길 원하는 마음에 결정한 일인데요
다른 방법에 비해 강한 저작력을 가지며
사후 관리에 따라 장기 사용이 가능하기에
환자께서도 흔쾌히 동의하셨습니다 :)
더불어 전반적인 치료 기간을 단축하고,
빠른 일상 복귀를 위해 임플란트 식립
가이드 보조 장치를 제작할 예정입니다.
루시드의 임플란트 🦷 임플란트는 제 2의 치아로 불리는 만큼 자연치처럼 편안하고 튼튼해야됩니다. 그러기 위해서 재료에서 부터...
blog.naver.com
👆👆
이는 컴퓨터로 직접 치아 구조 분석 후,
디지털 모의 식립을 진행하게 되는데요
최적의 식립 경로와 위치, 깊이 등을 파악하고
이를 통해 디지털 가이드를 제작하기 때문에
더욱 빠르고 정교한 식립이 가능하게 됩니다.
그럼, 임플란트 최종 종료 후는
어떤 모습일지, 보러 갈까요?
- 최종 종료
환자의 나이 및 회복 능력을 고려하여
조금씩 나눠서 치료를 진행했었는데요

그 결과, 한층 더 나은 방향으로
결과가 나올 수 있었던 것 같아
저도, 환자도 크게 만족스러웠던
치료 중 하나였다고 생각합니다 :)

실제로 초진 구내 모습과 비교하면
심미는 물론, 기능까지 온전하게
되찾은 모습을 볼 수 있습니다.
서초동 치과 는 아무리 고난도의
케이스라 해도, 부작용 걱정 없이
문제를 해결해 드리고 있습니다.
구강 질환은 눈 깜짝할 사이,
광범위하게 퍼져 나갈 수 있으니
빠른 시일 내로 방문하셔서
정밀 검진으로 진단받길 바랍니다.
루시드치과의원 서울특별시 강남구 논현로111길 3 상가 1층 101, 102A
루시드치과 의료진을 소개합니다 🥼 통합치의학과&치주과&치과교정과&구강악안면외과 원장 협진 시스템✨ 루시드치과 7명의 원장의...
blog.naver.com
Explore More
Keep Browsing This Clinic's Korean Content Trail.
Return to the source archive for more posts, or move back to the clinic profile to compare the rest of the clinic's public channels.