루시드치과의원 LUCID Dental Clinic ルシード歯科 露西得牙科医院 LUCINATE ルシネート
빠르고 간편한 신논현역 치과 원데이 라미네이트 시술 후기 (feat. 2020 미스코리아 진 김혜진님 사례)
루시드치과의원 서울특별시 강남구 논현로111길 3 상가 1층 101, 102A 솔로지옥3 출연진 안민영 라미네이트 시술 받은 강남역 치과, 어디? 바로 이곳! 강남역 치과 는 연예인, 인플루언서, 아이돌, 연습생분이 즐겨 찾는 곳으로 미스코리아 진 출신 분들께서도... blog.naver.com 앞니 라미네이트 전문 신논...
루시드치과의원 서울특별시 강남구 논현로111길 3 상가 1층 101, 102A
솔로지옥3 출연진 안민영 라미네이트 시술 받은 강남역 치과, 어디? 바로 이곳! 강남역 치과 는 연예인, 인플루언서, 아이돌, 연습생분이 즐겨 찾는 곳으로 미스코리아 진 출신 분들께서도...
blog.naver.com
앞니 라미네이트 전문
신논현역 치과 입니다 :)
최근, 본원에 방문하는 환자들이 늘어나길래
자세히 여쭤보니 소문이 났다고 하더라고요!
감사하다는 말씀, 전하고 싶습니다 ㅎㅎ
많은 분들께서 소문을 듣고
찾아오는 이유 중 하나가 바로,
'원데이 라미네이트' 인데요
신논현역 치과 에서 시행하는 라미네이트 는
기본보다 짧은 시간인 당일 치료가 가능하며,
일상 생활에 빠르게 복귀할 수 있기 때문에
직장에 다니는 환자께서 많이 받곤 하십니다.
소문을 타게 된 이유에는
빠른 치료 기간도 한몫하지만,
여기서 하나 더, 기술이 있습니다!
정교한 기술을 통해 기존 치아의 모습을 살리며,
임시 치아 없이 당일 즉시 보철 완성이 가능합니다.
게다가 기공소를 보유하고 있어
보철 재제작은 물론 빠른 보철 수정도
진행해 드릴 수 있다는 특징이 있습니다 :)
루시드의 라미네이트 🌷 🌷예뻐지기 위해 하는 라미네이트, 그런데 소중한 내 치아를 일부 깎아내고 해야 된다는 사실 알고 계셨...
blog.naver.com
오늘 가져온 사례는
조금 특별한 케이스인데요
그 이유는 다름아닌,
2020 미스코리아 진 김혜진님
치료 후기를 가져왔기 때문입니다!
김혜진님께선 좌, 우
치아 크기 부조화로 인해
심미적인 불편감을 개선하고 싶다며
찾고 찾다 결국 이곳에 방문하셨는데요
워낙 바쁘신 분이다 보니, 빠른 치료를
목적으로 이곳에 방문하셨다고 합니다.
마침 저희는 이미 세렉(Cerec) CAD/CAM
시스템 밀링기를 도입한 상태이기 때문에
빠르고 정밀한 라미네이트
보철을 만들어낼 수 있는데요
관련된 내용은 아래 링크 속
본문을 참고하면 좋을 것 같습니다!
⬇⬇⬇⬇
루시드치과의원 논현동 역삼동 임플란트, 라미네이트, 치아교정, 투명교정 치과
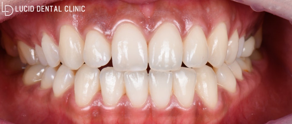
먼저 정밀 검진으로 현황을 파악+해야,
정교한 맞춤 치료를 진행할 수 있겠죠!
이에 따라 신논현역 치과 에서
구강 카메라 기기를 활용하여
초진 구내 모습을 촬영해 봤습니다.

위와 같이 어금니끼리 교합한
초진 구내 모습을 확인한 결과,
-
좌, 우 크기 부조화
-
자연치 사이 공간
-
맞지 않는 교합
세 가지의 문제점을
파악할 수 있었습니다.
물론, 기능적인 부분에서 큰 문제는 없지만
비교적 눈에 쉽게 들어오는 곳에 위치하고 있어
심미와 관련된 문제를 일으킬 수밖에 없습니다.
환자 역시, 해당 부분을 잘 알고 있었고
빠르게 해결할 수 있기를 원하고 계셨죠.
따라서, 신논현역 치과 는
환자의 의사를 최대한 고려하여,
제가 내린 정밀한 진단을 종합한
앞니 라미네이트 를 진행하기로 했습니다.
여기에 하나 더, 신논현역 치과 는
자연치 보존을 지향하고 있기 때문에
자연치 삭제량을 최소한으로 잡아
0.1 mm 두께만 삭제하고 있는데요
이와 더불어 0.1mm의 두께로 제작한
최종 보철 체결로 마무리하고 있어
편안한 사용감을 가지실 수 있습니다!
'원데이'라는 장점도 물론 가지고 있지만
빠른 시간 안에 구강 고민을 해결하면서
이렇게 많은 자연치 보존을 가져갈 수 있어
많은 분들께서 좋아하는 치료이기도 합니다 :)
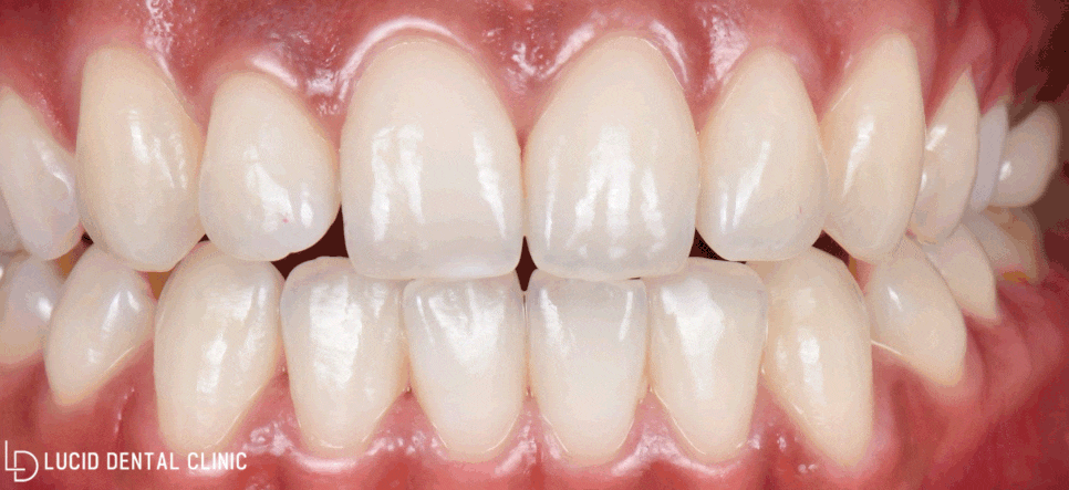
그럼 어떤 모습으로 변화하였는지
치료 결과를 한 번 보러 갈까요?

이렇게 초진 구내 모습과 비교하나니
그 차이점을 확연히 알아볼 수 있는데요


크기 부조화는 물론,
원래 위치에 맞는 교합과 높은
심미를 가진 모습으로 바뀌어
김혜진님께서도 결과에 크게
만족해 하며 돌아가셨습니다 :)
이전처럼 같은 문제로 고민하기 싫다면,
구강 관리를 더욱 주의해서 진행해야겠죠!
착색 및 변색이 심한 음식 섭취는 자제하고,
빠른 양치질로 착색을 예방하는 것이 좋습니다.
우리 눈에 보이지 않는 질환을 막아주려면
정밀 검진 또한 꾸준히 받아주는 것이 좋겠죠!
위와 같은 내용을 요약해 드리자면,
👇👇👇
구강 관리와 정기 검진은
둘 중 하나만 받는 것이 아니라
병행하는 것이 더욱 좋다는 것입니다.
두 가지를 모두 병행하는 것이 관리와 동시에
조금이라도 더 긴 수명을 가질 수 있습니다!
그러니 이 점 잊지 말고 꼭 시행하여
구강 건강 챙기기를 진심으로 바랍니다.
오늘 제가 소개해 드렸던
앞니 원데이 라미네이트 사례는
여기서 이만 소개 마칠게요!
더 궁금한 내용은 아래 답글 혹은
본원으로 연락 보내주길 바랍니다 :)
루시드치과의원 서울특별시 강남구 논현로111길 3 상가 1층 101, 102A
오시는 길 및 진료시간 안내 📍 📍 주소 서울 강남구 논현로111길 3, 상가 101, 102A 대로변 1층에 위치하여 있으며 9호선 언주역 2번출...
blog.naver.com

Explore More
Keep Browsing This Clinic's Korean Content Trail.
Return to the source archive for more posts, or move back to the clinic profile to compare the rest of the clinic's public channels.