루시드치과의원 LUCID Dental Clinic ルシード歯科 露西得牙科医院 LUCINATE ルシネート
라미네이트 빠짐 의 원인 및 부작용, 대처 방법까지 역삼역 치과 가 알려드리겠습니다.
루시드치과의원 서울특별시 강남구 논현로111길 3 상가 1층 101, 102A 루시드 치과 한 눈에 보기👀 의료진 소개 오시는 길 및 진료시간 안내 루시드의 특별함 루시드의 스케일링 루시드의 임플란트 루시드치... blog.naver.com 반갑습니다, 다시 돌아온 역삼역 치과 인사 드립니다! 여러분들께선 라미네이트...
루시드치과의원 서울특별시 강남구 논현로111길 3 상가 1층 101, 102A
루시드 치과 한 눈에 보기👀 의료진 소개 오시는 길 및 진료시간 안내 루시드의 특별함 루시드의 스케일링 루시드의 임플란트 루시드치...
blog.naver.com
반갑습니다, 다시 돌아온
역삼역 치과 인사 드립니다!
여러분들께선
라미네이트 시술에 대해
어디까지 알고 계시나요?
- 라미네이트 란?

역삼역 루시드 치과 홈페이지
루시드치과의원 논현동 역삼동 임플란트, 라미네이트, 치아교정, 투명교정 치과
라미네이트 란 심미 치료 중 하나로,
치아 변색 및 착색 또는 크기 불일치를
한 번에 개선할 수 있다는
장점을 가지고 있습니다.
치아 표면을 얇게 다듬어
보철을 부착하는 방식으로,
주변치와 유사한 색조 및 형태를
고려하여 제작되게 되는데요
이전과 달리 적은 치아 삭제량과
빠른 치료 기간으로 많은 분들께서
라미네이트 시술을 받곤 하십니다.
+) 실제로 예전 라미네이트 시술의 경우
제작부터 장착까지 소요되는 시간이 긴 편으로
많은 양의 치아 삭제량이 필요했습니다.

대부분 많은 환자들께서
-
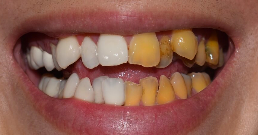
누렇게 변한 치아
-
벌어진 치아 사이(앞니)
-
불규칙한 배열 및 크기
위와 같은 구강 고민으로 찾아오셔서
라미네이트 시술을 받고 가는 편입니다.
그리고,
이와 동시에 '이것' 이 고민이라며
역삼역 치과 를 찾는 분들도 꽤 많은데요

그건 바로, 라미네이트 빠짐 입니다.
오늘은 이 라미네이트 빠짐 을 주제로
여러분과 자세히 얘기를 나눠보려 해요 :)
루시드의 라미네이트 🌷 🌷예뻐지기 위해 하는 라미네이트, 그런데 소중한 내 치아를 일부 깎아내고 해야 된다는 사실 알고 계셨...
blog.naver.com
- 라미네이트 빠짐 의 원인

라미네이트 빠짐은
생각보다 다양한 요인으로
일상에 나타날 수 있는데요
하나씩 나열하며
소개해 드리겠습니다.
- 접착력 - 부적절한 접착
라미네이트 를 부착하는 과정에서
치아 사이의 접착력이 약해지거나,
표면 처리를 충분히 시행하지 않았을 때
라미네이트 빠짐 이 나타날 수 있습니다.
그렇기 때문에 관련 임상 증례가 많고,
보다 풍부한 지식과 노하우를 가진
전문 의료진에게 받는 것이 중요합니다 :)
👇👇👇
루시드치과 의료진을 소개합니다 🥼 통합치의학과&치주과&치과교정과&구강악안면외과 원장 협진 시스템✨ 루시드치과 7명의 원장의...
blog.naver.com
+) 또한 제대로 접착되지 않아
미세한 틈이 나타났을 경우엔
그 사이로 이물질이 들어가며
보철 탈락으로 이어질 수 있죠.
- 치아 변화 - 손상 또는 질환

라미네이트 보철이 부착된 치아에
충치 혹은 구강 질환이 나타났을 경우
치아 구조가 점점 약해지게 되는데요
그로 인해 라미네이트
빠짐이 나타날 수 있고
치아 자체가 변하거나 조직이 손실되었을 때
보철이 맞지 않아 쉽게 탈락할 수 있습니다.
- 외부 충격

이갈이 (bruxism) 로 인한 마모 발생
외부로부터 물리적인 충격을 받거나
교합력이 과도하게 가해지는 경우 혹은
이갈이와 유사한 구강 악습관에 의해서도
쉽게 보철이 손상되거나 파절될 수 있습니다.
- 내구성 한계
보철에도 자연치처럼
정해진 수명이 있다는 것,
여러분은 알고 계셨나요?
적절한 시기에 보철을 교체하지 않으면
내구성 한계로 인해 쉽게 파절될 수 있습니다.
라미네이트 빠짐 역시 나타나기 쉽죠.

역삼역 치과 - 라미네이트 빠짐 원인
- 라미네이트 빠짐 의 대처 방법
그렇다면 이런 라미네이트 빠짐,
우리는 어떻게 대처해야 될까요?
지금부터 역삼역 치과 가
하나씩 알려드리겠습니다 :)
- 검진 방문

보철이 빠져나오거나 손상됐을 때
가능한 한 빠른 시일 내로 내원하셔서
전문 의료진의 진단을 받아야 됩니다.
빠진 보철의 상태는 어떤지 면밀히 살펴보고
진단에 따라 새로 보철을 제작해야 될 수 있고
다른 치료 옵션을 제안해 드릴 수 있기 때문이죠.
보다 확실하게 예방해서 사용하려면
꾸준히 정기 검진을 받는 것이 좋습니다!
- 구강 관리

라미네이트 빠짐 의 원인 중
내구성 한계, 기억하시나요?
이처럼 보철도 자연치처럼 꾸준하게 관리해야,
보다 오랫동안 청결한 상태를 유지할 수 있습니다.
자연치 수명뿐만 아니라
라미네이트 보철 수명까지
늘릴 수 있다는 것이죠.
이와 관련된 내용을 조금 더 자세히
풀어서 설명한 글을 첨부해 드리니
참고해서 관리하길 바랍니다 :)
👇👇👇
강남논현동치과 라미네이트 수명 늘리는 관리 꿀팁 공개! 오늘은 라미네이트 수명 더욱 늘릴 수 있는 관리법에 대해 자세하게 알려드릴까 합니다. 👇👇 라미네이...
blog.naver.com
- 구강 악습관 개선
원인 때 설명해 드렸던 것처럼
이갈이나 악 무는 구강 악습관은
기존 자연치뿐만 아니라
보철까지 악영향을 끼치며
쉽게 파절 또는 손상될 수 있습니다.
이를 막기 위해선 구강 악습관을
빠르게 개선하는 것이 중요한데요

dental spliint
이갈이의 경우
스플린트 장치를 통해
충분히 조절할 수 있지만
악 무는 습관은
스스로 계속 상기시키며
하지 않으려고 노력해야 됩니다.
보다 나은 구강 건강을 위해
역삼역 치과 와 함께 노력해요 :)

역삼역 치과 - 라미네이트 빠짐 대처
이렇게 해서 오늘
라미네이트 빠짐 에 대해
자세히 알아봤는데요
원인부터 대처방법까지 설명해 드렸으니
혹시라도 이와 비슷한 증상이 나타나게 되면
꼭 참고하셔서 빠르게 회복하셨음 좋겠습니다!
역삼역 치과 의 구강 상식은
또 다른 주제를 가지고 여러분께
다시 찾아오도록 하겠습니다 :)
감사합니다!
루시드치과의원 안녕하세요 행복을 드리는 루시드치과 입니다^^
pf.kakao.com
네이버 예약 :: 루시드치과의원 안녕하세요 [ 연예인 ] [ 인플루언서 ] [ 아이돌 ] [ 미인대회 ] 출신자들에게 사랑받는 강남 치과 루시드입니다 :) 저희 루시드 치과는 심미성과 기능 모두를 생각한 치과치료를 지향하고 있습니다 환자분들이 저희 치과에 오시기까지 수 많은 고민을 하셨다는 걸 정말 잘 알고 있습니다. 따라서 루시드에서는 최소한의 치료로 최대의 만족과 결과를 안겨드릴 수 있도록 노력하고 있습니다. 치아와 잇몸은 최대한 건드리지 않는 것이 가장 좋은 치료 방법입니다. 자연치를 지키면서 할 수 있는 방법을 최우선으로 하며, 치료시에도 자연치 손상을 적...
m.booking.naver.com
오시는 길 및 진료시간 안내 📍 📍 주소 서울 강남구 논현로111길 3, 상가 101, 102A 대로변 1층에 위치하여 있으며 9호선 언주역 2번출...
blog.naver.com

Explore More
Keep Browsing This Clinic's Korean Content Trail.
Return to the source archive for more posts, or move back to the clinic profile to compare the rest of the clinic's public channels.