루시드치과의원 LUCID Dental Clinic ルシード歯科 露西得牙科医院 LUCINATE ルシネート
깨지고 변색한 타원 라미네이트 보철, 역삼동 치과 에서 단 하루 만에 바꿔 드렸습니다!
환자의 구강 고민을 빠르게 해결해 드리는 역삼동 루시드 치과 대표 원장 박현민입니다! 오늘은 라미네이트 파절 즉, 깨짐과 관련된 주제를 가지고 몇 가지 얘기해 드릴까 합니다 :) 이 시술은 심미와 관련된 치료로, 특히 앞니에 많이 시행하고 있는데요 치아 삭제량이 많아, 보존이 어렵고 두껍게 제작되어 불편했던 예전과...
환자의 구강 고민을 빠르게
해결해 드리는 역삼동 루시드 치과
대표 원장 박현민입니다!
오늘은 라미네이트 파절
즉, 깨짐과 관련된 주제를 가지고
몇 가지 얘기해 드릴까 합니다 :)

이 시술은 심미와 관련된 치료로,
특히 앞니에 많이 시행하고 있는데요
치아 삭제량이 많아, 보존이 어렵고
두껍게 제작되어 불편했던 예전과 달리
기술이 발달하며 자연치 삭제가 적어지고,
얇은 두께의 보철을 부착해 드리고 있어
많이 애용하는 치료이기도 합니다!
그런데 라미네이트 보철도
자연치와 같이 수명이 다 정해져 있어
이를 꾸준히 관리하지 않으면
-
보철이 깨지거나,
-
구강에서 빠져나오는 등
여러 문제점이 나타날 수 있는데요
게다가
라미네이트 보철에도 자연치처럼
변색이 일어날 수 있다는 사실!
여러분은 알고 계셨나요?
이를 막기 위해선 구강 관리 꾸준히 시행하고
정기 검진을 통해 확인하는 것이 좋습니다.
오늘 이 글을 통해 구강 관리의 중요성을
다시금 깨닫는 시간이 되기를 바랍니다.
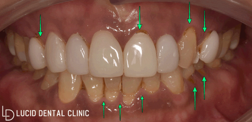
이번 환자께선 타원에서 이미
라미네이트 수복을 받으셨으나,
보철이 파절되고, 변색이 일어났다며
새롭게 치료받길 원하셨습니다.
역삼동 치과 에선 곧바로 정밀 구강 검진을
시행하며 현황에 대해 자세히 알아봤는데요

그 결과, 위와 같이 기존에 치료받았던
라미네이트 보철 파절 그리고 변색이
일어난 모습을 발견할 수 있었습니다.
그뿐만 아니라 여기저기 마모증이
일어나 깎이고 파인 모습까지 발견하여
심미적인 불편함을 일으키고 있었죠.
+) 자세히 살펴보니
마진도 안 맞네요 ㅜㅜ
이대로 두면 보철과 치아 틈으로
음식물 잔사는 물론, 치석과 치태 등이 쌓여
충치 및 치주 질환이 나타날 수 있는데요
심미 관련 문제뿐만 아니라
기능에도 악영향을 끼칠 수 있어
빠른 시일 내로 해결하는 것이
구강 건강에 좋을 것으로 보입니다.
환자와 문진 과정을 진행하면서
새로 라미네이트 를 받고 싶다는
의사를 확인할 수 있었는데요
이에 따라 역삼동 치과 는
파절로 인해 떨어지고 깨진
기존 보철을 모두 제거하고
위 아래 총 16개의 라미네이트
시술을 진행하기로 결정했습니다.
⬇⬇
루시드의 라미네이트 🌷 🌷예뻐지기 위해 하는 라미네이트, 그런데 소중한 내 치아를 일부 깎아내고 해야 된다는 사실 알고 계셨...
blog.naver.com
저희 역삼동 치과 라미네이트 시술은
남다른 장점 두 가지를 가지고 있는데요
여러분께만 살짝 소개해 드리자면,
- 얇은 치아 삭제 및 보철 제작으로
더 많은 양의 자연치 보존이 가능합니다!
치아 표면 약 0.1 mm 의 두께만을 정돈하고
이와 같은 두께로 보철을 제작하고 있기 때문에
더욱 편안하게 사용하실 수 있습니다 :)
이뿐만 아니라,
- 원내 디지털 기공소를 가지고 있기 때문에
단 하루 만에 치료 기간을 마칠 수 있습니다!
직장인, 대학생 환자분께서
많이 좋아하시더라고요 ㅎㅎ
이번 환자께서도 직장인이셨는데,
이 장점이 특히나 마음에 들었다며
기뻐하는 모습을 볼 수 있었답니다 :)

⬆⬆ 역삼동 치과 에서 시행한 ⬆⬆
라미네이트 종료 후 모습 입니다!
디지털 기공소를 통해 밝은 색조와 동그란 형태로
보철을 제작하며 단 하루 만에 종료할 수 있었는데요
환자께서 조금 수줍음이 있으셔서
사진을 크게 찍지 못한 건 조금 아쉽지만,
그래도 만족스럽다는 후기를 들려주셔서
저도 기분 좋게 마칠 수 있었습니다 :)
끝으로 라미네이트 시술 후 주의 사항에 대해
자세히 설명해 드리고 종료하였는데요
이 부분은 글이 길어질 수 있으니
아래 링크 첨부해 드리겠습니다!
👇👇
루시드치과의원 논현동 역삼동 임플란트, 라미네이트, 치아교정, 투명교정 치과
여기 저기 깨지고 파절된 보철로
심미적인 고민을 가지고 계신다면,
디지털 기공소로 단 하루 만에 끝나는
역삼동 치과 라미네이트 시술을 통해
해결할 수 있기를 진심으로 바랍니다!
그럼 저는 다음 글에서
새로운 사례로 찾아오겠습니다.
늘 건강 조심하세요 :)
루시드치과의원 서울특별시 강남구 논현로111길 3 상가 1층 101, 102A
언주역 9호선 서울특별시 강남구 봉은사로 201
역삼1동 주민센터 서울특별시 강남구 역삼로7길 16 역삼1문화센터
루시드치과의원 안녕하세요 행복을 드리는 루시드치과 입니다^^
pf.kakao.com
네이버 예약 :: 루시드치과의원 안녕하세요 [ 연예인 ] [ 인플루언서 ] [ 아이돌 ] [ 미인대회 ] 출신자들에게 사랑받는 강남 치과 루시드입니다 :) 저희 루시드 치과는 심미성과 기능 모두를 생각한 치과치료를 지향하고 있습니다 환자분들이 저희 치과에 오시기까지 수 많은 고민을 하셨다는 걸 정말 잘 알고 있습니다. 따라서 루시드에서는 최소한의 치료로 최대의 만족과 결과를 안겨드릴 수 있도록 노력하고 있습니다. 치아와 잇몸은 최대한 건드리지 않는 것이 가장 좋은 치료 방법입니다. 자연치를 지키면서 할 수 있는 방법을 최우선으로 하며, 치료시에도 자연치 손상을 적...
m.booking.naver.com

Explore More
Keep Browsing This Clinic's Korean Content Trail.
Return to the source archive for more posts, or move back to the clinic profile to compare the rest of the clinic's public channels.