루시드치과의원 LUCID Dental Clinic ルシード歯科 露西得牙科医院 LUCINATE ルシネート
하얗고 예쁜 치아, 강남역 치과 원데이 라미네이트 시술로 만들어 드릴 수 있습니다.
반갑습니다, 라미네이트 맛집 강남역 치과 박현민 대표 원장입니다 :) 루시드치과의원 서울특별시 강남구 논현로111길 3 상가 1층 101, 102A 오늘의 사례를 소개해 드리기 전에, 부탁 하나를 먼저 드리고 싶습니다. 지금 당장 환하게 웃으면서 거울로 치아를 한 번 봐보세요! 어떤 생각이 먼저 드세요? 물론...
반갑습니다,
라미네이트 맛집 강남역 치과
박현민 대표 원장입니다 :)
루시드치과의원 서울특별시 강남구 논현로111길 3 상가 1층 101, 102A
오늘의 사례를 소개해 드리기 전에,
부탁 하나를 먼저 드리고 싶습니다.
지금 당장 환하게 웃으면서
거울로 치아를 한 번 봐보세요!
어떤 생각이 먼저 드세요?
물론 치열이 가지런하고 이 정도면
괜찮다는 생각이 드실 수 있지만,
그렇지 않다면 그 이유는
무엇이라고 생각하시나요?
사실, 우리 치아는 태어날 때부터의
모습을 유지하지 못하고, 변하게 됩니다.
우리가 흔히 먹는 커피, 카레, 콜라같이
치아 착색을 잘 일으키는 식품을 섭취하면
치아는 점점 누렇게 변해버리죠.
그뿐만 아니라 조금만이라도
관리를 소홀히 하게 되면 순식간에
충치 및 치주 질환에 걸리게 되고
치아 건강을 잃어버리게 되는데요
이를 막기 위해선 꾸준히 정기 검진받으며
관리하는 것이 좋다고 말씀해 드리고 있습니다.
오늘은 이와 같이 치아 착색이 고민이라며
강남역 치과 에 방문한 사례를 가져왔는데요
어떤 일이 있었는지,
어떻게 해결해 드렸는지
지금부터 저와 함께 차근차근
알아보는 시간, 가지겠습니다 :)
강남역 치과 에 내원하신 경우,
먼저 문진 과정을 진행한 다음 디지털 시스템으로
정밀 구강 검진을 시행하게 되는데요
이번 환자께선 내원 후,
"치아가 점점 누렇게 변하는 것 같고,
스케일링도 필요한 것 같아서 왔어요."
라는 주소를 말씀하셨습니다.
이와 동시에 원하는 치료 방향으로
-
기존 치아보다 밝은 색감
-
자연스러움 / 빠른 치료
두 가지를 함께 말씀하셨습니다.
우선, 현재 구강 환경은 어떠한지
정확하게 파악하고 진행해야겠죠?
곧장 디지털 시스템으로
정밀 검진을 시행했습니다.
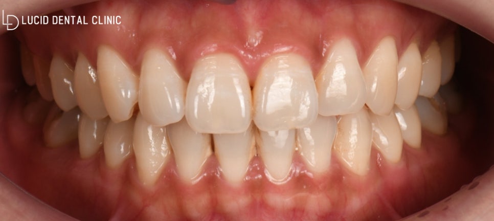
그 결과,

구강 카메라
초진 구내 치아 착색 + 축적된 치석 多
이렇게 쌓여있는 치석은 물론, 누렇게 착색된
치아 모습을 한 눈에 발견할 수 있었습니다.
좌우 크기 또한, 일정하지 않네요!
치아 기능에 별다른 문제는 없지만,
심미적인 불편함을 일으키고 있었습니다.
이런 경우, 받을 수 있는
치료 방법은 다양합니다.
그러나 문진 과정에서 말씀하셨던 것처럼
빠른 치료 기간 그리고 밝은 색감 두 가지를
한 번에 잡기 위해선 라미네이트 시술 을 통해
해결하는 것이 좋겠다고 판단했는데요
이 부분은 환자와의 의논을 통해
결정해야 되는 것이니, 검진을 마치고
함께 얘기하는 시간을 가져봤습니다.
강남역 치과 는 위와 같은 내용을
환자께 설명해 드리며, 라미네이트 시술의
장/단점을 설명해 드렸는데요
루시드의 라미네이트 🌷 🌷예뻐지기 위해 하는 라미네이트, 그런데 소중한 내 치아를 일부 깎아내고 해야 된다는 사실 알고 계셨...
blog.naver.com
여러분께도 도움이 될 수 있으니,
하나씩 설명해 드리도록 하겠습니다.
- 빠른 치료 기간
본원에서 시행하는 시술은
보유하고 있는 밀링 기기를 통해
단 하루 만에 종료할 수 있습니다.
+) 바쁜 직장인 혹은 학생 환자가
많이 좋아하는 특징이에요 ㅎㅎ
원내에서 진행하기 때문에 빠른 수정
그리고 재제작까지 가능하답니다 :)
- 적은 치아 삭제량
예전에는 기술이 그닥 발달하지 않아
치관 대부분을 삭제하고 진행하였는데요
이젠 기술이 발달하며 강남역 치과 에서도
그만한 노하우와 기술력을 쌓아왔기 때문에
적은 치아 삭제량을 기대할 수 있습니다.
단 0.1mm의 두께만을 삭제하고
보다 편안한 사용감을 위해 같은 두께로
제작한 보철을 체결해 드리고 있습니다 :)
이뿐만 아니라 환자께서 원하시던
밝은 색조로 진행해 드릴 수 있어, 의논 끝에
라미네이트 를 진행하기로 결정했습니다.

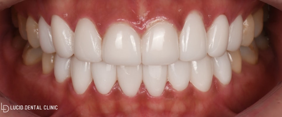
강남역 치과 에서 시행한
라미네이트 시술 결과입니다!
설명해 드린 대로 단 하루 만에
시술을 마쳤으며, 원하시던 밝은 색조와
형태로 제작해 드렸습니다 :)
끝으로, 사후 관리의 중요성에 대해
다시 한 번 설명해 드리고 마쳤는데요
이 부분에 대해선 관련된 링크
하나를 첨부해 드리니 참고 부탁드립니다!
강남논현동치과 라미네이트 수명 늘리는 관리 꿀팁 공개! 오늘은 라미네이트 수명 더욱 늘릴 수 있는 관리법에 대해 자세하게 알려드릴까 합니다. 👇👇 라미네이...
blog.naver.com
지금까지 강남역 치과 루시드
대표원장 박현민이었습니다~
루시드치과의원 안녕하세요 행복을 드리는 루시드치과 입니다^^
pf.kakao.com
네이버 예약 :: 루시드치과의원 안녕하세요 [ 연예인 ] [ 인플루언서 ] [ 아이돌 ] [ 미인대회 ] 출신자들에게 사랑받는 강남 치과 루시드입니다 :) 저희 루시드 치과는 심미성과 기능 모두를 생각한 치과치료를 지향하고 있습니다 환자분들이 저희 치과에 오시기까지 수 많은 고민을 하셨다는 걸 정말 잘 알고 있습니다. 따라서 루시드에서는 최소한의 치료로 최대의 만족과 결과를 안겨드릴 수 있도록 노력하고 있습니다. 치아와 잇몸은 최대한 건드리지 않는 것이 가장 좋은 치료 방법입니다. 자연치를 지키면서 할 수 있는 방법을 최우선으로 하며, 치료시에도 자연치 손상을 적...
m.booking.naver.com

Explore More
Keep Browsing This Clinic's Korean Content Trail.
Return to the source archive for more posts, or move back to the clinic profile to compare the rest of the clinic's public channels.