루시드치과의원 LUCID Dental Clinic ルシード歯科 露西得牙科医院 LUCINATE ルシネート
강남역 치과 추천 - 잇몸 염증으로 심하게 내려간 아래턱 앞니 치아, FGG(이식 성형술) 동반한 라미네이트 시술 후기
루시드치과의원 서울특별시 강남구 논현로111길 3 상가 1층 101, 102A 언주역 9호선 서울특별시 강남구 봉은사로 201 요즘, 앞니 라미네이트 시술 을 받는 사람들이 이전보다 계속해서 늘어나고 있는 추세입니다. 아무래도 앞니 치아가 심미 기능을 맡고 있어서 그렇지 않을까 싶은데요 우리가 누군가와 대화를 나눌...
루시드치과의원 서울특별시 강남구 논현로111길 3 상가 1층 101, 102A
언주역 9호선 서울특별시 강남구 봉은사로 201
요즘, 앞니 라미네이트 시술 을 받는 사람들이
이전보다 계속해서 늘어나고 있는 추세입니다.
아무래도 앞니 치아가 심미 기능을
맡고 있어서 그렇지 않을까 싶은데요
우리가 누군가와 대화를 나눌 때 혹은
식사를 하는 과정에서 쉽게 마주할 수 있는
치아가 바로, 앞니이기 때문입니다.
여러 가지 다양한 구강 고민을 가지고
강남역 치과 를 찾아와 주시곤 하는데요
오늘 소개해 드릴 사례는
잇몸 염증이 심하게 진행되어
아래턱 앞니 치은이 내려간 분의
치료 후기를 가지고 왔습니다.
무슨 일이 있었는지,
어떻게 해결해 드렸는지
지금부터 알아볼게요 :)
루시드 치과 한 눈에 보기👀 의료진 소개 오시는 길 및 진료시간 안내 루시드의 특별함 루시드의 스케일링 루시드의 임플란트 루시드치...
blog.naver.com
- 구강 고민
"안녕하세요, 무슨
이유로 찾아오셨나요?"
"제 아래턱 앞니 하나가 유독
잇몸이 많이 내려가 있어서요.
시린 것도 있는데, 보기도 좀 그래서
해결하고 싶은 마음에 찾아왔어요."
"그러셨구나, 잘 찾아오셨어요 ㅜㅜ
그렇게 계속 시린 느낌이 나타나면,
일상 생활이 불편할 수밖에 없죠..."
"우선 정밀 검진을 진행하면서
진단을 내리고, 어떻게 개선할지
함께 얘기 나누기로 해요 ㅎㅎ"
👆👆👆
제가 문진 과정을 진행하면서
나눈 환자와의 대화 내용입니다.
이런 방식의 소통 없이
바로 진단과 치료를 진행하면
오류가 생길 가능성이 높고,
환자께서 치료 결과에 만족하지
않을 확률 또한 높을 수밖에 없죠.
강남역 치과 에선 무엇보다 소통을
중요시 여기며, 진행되는 과정 대부분을
동의하에 진행해 드리고 있습니다.
우선, 문진을 통하여 주소를 알았으니
정밀 검진으로 문제를 파악해 봅시다!
루시드치과 의료진을 소개합니다 🥼 통합치의학과&치주과&치과교정과&구강악안면외과 원장 협진 시스템✨ 루시드치과 7명의 원장의...
blog.naver.com
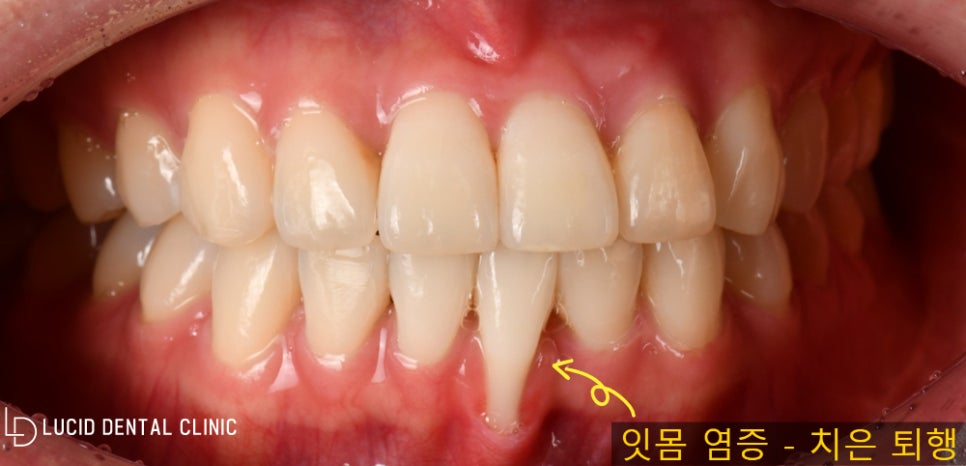
- 초진 구내

위와 같이 개구기를 착용한 채
구강 카메라 기기로 촬영한 결과,
다른 치아보다 유독 치은이 많이 내려간
아래턱 앞니 모습을 볼 수 있었는데요
다른 곳들도 치은이 부어오른 것을 보아,
치주 질환이 나타난 것으로 파악되었습니다.
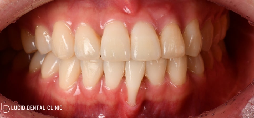
정밀 검진 결과, 현재 아래턱 앞니는
잇몸 염증이 심하게 진행되었으며,
이로 인하여 치은 퇴행(내려감)이
나타난 것으로 진단되었습니다.

이대로 앞니 라미네이트 혹은
크라운 수복 과정을 진행하기엔
다른 치아 조직보다 내려간 치은으로 인해
심미적인 불편함이 있을 것으로 보입니다.
아래턱뿐만 아니라 위턱 또한
함께 개선하길 원하셨는데요

치아가 누렇게 보이는 것이
마음에 들지 않는다며 이것보다
밝은 색조를 갖길 원하셨습니다.
문진과 진단 과정을 진행하며
어떤 방향으로 치료할지 생각 후,
함께 자세히 의논하는
시간을 가지기로 했습니다.
- 계획, 이렇게 세웠습니다!
루시드의 라미네이트 🌷 🌷예뻐지기 위해 하는 라미네이트, 그런데 소중한 내 치아를 일부 깎아내고 해야 된다는 사실 알고 계셨...
blog.naver.com
강남역 치과 는 환자께
FGG(잇몸 이식 성형술)을
동반한 앞니 라미네이트 시술 을
추천 드렸습니다.
그 이유는 앞서 설명해 드렸던
유독 심하게 진행된 앞니 치은 퇴행을
해결해야, 다른 치료를 통해 해당 문제를
개선할 수 있다 판단했기 때문입니다.
+) FGG(잇몸 이식) 은
치은이 퇴행된 상태에 따라,
다른 부위에서 잇몸을 조금 절개하여
이식하는 방법을 얘기합니다.
해당 방법이 필요한 곳에
절개 및 박리를 시행하고 나서
이식할 부위에 접합 후 봉합하는
과정으로 이루어져 있습니다.
다행히 환자께서 동의하셔서
곧장 FGG를 동반한 앞니 라미네이트
시술 과정에 들어가기로 했습니다.
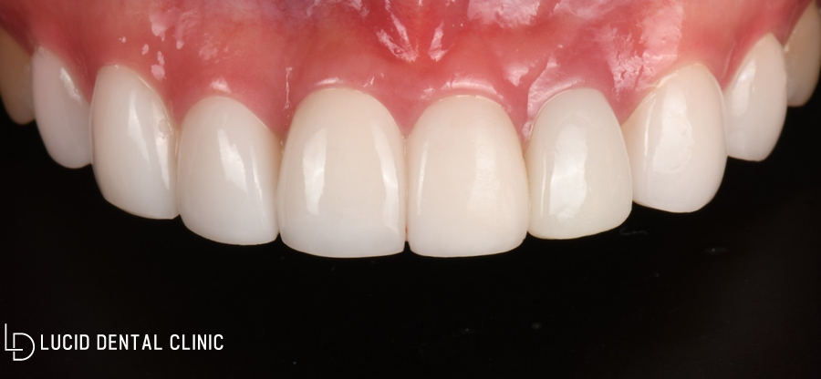
- 앞니 라미네이트

위와 같이 FGG 를 동반하여
라미네이트 시술 을 마쳤는데요

👆 위 아래 각 8개씩 총 16개의
라미네이트 보철을 부착했습니다.
강남역 치과 에서 보유 중인
cerec 밀링기와 기공소를 통해
보철 제작을 마칠 수 있었는데요
바로 치아 표면 약 0.1mm 만 다듬어서
환자 구강에 맞춘 1:1 보철 제작을 마친 다음,
진행하기 때문에 오랜 시간이 걸리지 않습니다.
다시 말해, 본원에선
단 하루 만에 앞니 라미네이트
시술을 종료할 수 있습니다 :)

종료 후, 거울을 볼 때마다 아래턱
앞니 모습이 신경 쓰여서 힘들었는데,
자연스럽게 사라지며, 추가로
밝은 색조를 얻게 되어 기쁘다는
치료 후기를 들을 수 있었습니다.
마지막으로 주의 사항과 관리법을
설명해 드리고 최종 종료하였는데요
이 부분은 아래 링크 참고 부탁드립니다 :)
루시드치과의원 논현동 역삼동 임플란트, 라미네이트, 치아교정, 투명교정 치과
역삼동 치과 라미네이트 시술 후 관리 방법, 이것만 지키면 됩니다. 반갑습니다, 여러분! 모두 설 연휴 잘 보내셨나요? 설 연휴를 보내면서 제가 라미네이트 관련 글을 읽어서 ...
blog.naver.com
언제든 강남역 치과 에선
환자를 우선으로 누구보다 빠르게
고민을 해결해 드리고 있습니다.
만약, 이번 환자와 비슷한
고민을 가지고 계신다면
상황이 더 악화하기 전에
빠른 시일 내로 내원하셔서
검진 받는 걸 추천 드립니다.
그럼, 저는 다음 글에서 만나요 :)
🎶
네이버 톡톡 궁금할 땐, 부담없이 물어보세요.
talk.naver.com
루시드치과의원 안녕하세요 행복을 드리는 루시드치과 입니다^^
pf.kakao.com
네이버 예약 :: 루시드치과의원 안녕하세요 [ 연예인 ] [ 인플루언서 ] [ 아이돌 ] [ 미인대회 ] 출신자들에게 사랑받는 강남 치과 루시드입니다 :) 저희 루시드 치과는 심미성과 기능 모두를 생각한 치과치료를 지향하고 있습니다 환자분들이 저희 치과에 오시기까지 수 많은 고민을 하셨다는 걸 정말 잘 알고 있습니다. 따라서 루시드에서는 최소한의 치료로 최대의 만족과 결과를 안겨드릴 수 있도록 노력하고 있습니다. 치아와 잇몸은 최대한 건드리지 않는 것이 가장 좋은 치료 방법입니다. 자연치를 지키면서 할 수 있는 방법을 최우선으로 하며, 치료시에도 자연치 손상을 적...
m.booking.naver.com

Explore More
Keep Browsing This Clinic's Korean Content Trail.
Return to the source archive for more posts, or move back to the clinic profile to compare the rest of the clinic's public channels.