루시드치과의원 LUCID Dental Clinic ルシード歯科 露西得牙科医院 LUCINATE ルシネート
누렇게 변색하고 삐뚤어진 앞니 치아, 하루 만에 바뀔 수 있습니다! - 서초동 치과 원데이 라미네이트 시술 후기
루시드치과의원 서울특별시 강남구 논현로111길 3 상가 1층 101, 102A 루시드 치과 한 눈에 보기👀 의료진 소개 오시는 길 및 진료시간 안내 루시드의 특별함 루시드의 스케일링 루시드의 임플란트 루시드치... blog.naver.com 라미네이트 잘하는곳, 서초동 치과 에 오신 여러분 🦷 환영합니다! 🦷 최...
루시드치과의원 서울특별시 강남구 논현로111길 3 상가 1층 101, 102A
루시드 치과 한 눈에 보기👀 의료진 소개 오시는 길 및 진료시간 안내 루시드의 특별함 루시드의 스케일링 루시드의 임플란트 루시드치...
blog.naver.com
라미네이트 잘하는곳,
서초동 치과 에 오신 여러분
🦷 환영합니다! 🦷
최근 날씨가 많이 풀려서
하늘도 예쁘고 바람도 시원한 게
기분이 너무 좋더라고요~
봄이 다 가고 있는 건 아쉽지만
꽃구경도 많이 했으니 미련없이
보내주려고 합니다 ㅎㅎ
오늘 제가 여러분과 함께
얘기 나눌 주제는 라미네이트 로,
단 하루 만에 개선해 드렸던
후기를 들려드리려고 해요~
그럼 어떤 고민을 가지고 찾아오셨는지
환자의 주소부터 함께 알아보도록 할게요!
"제가 일본 미인 대회를 나가게 됐는데,
위 아래 치아 모습이 마음에 안 들어서요.
라미네이트 받고 싶어서 찾아왔어요!"
환자께서 위와 같은 주소를 가지고
서초동 치과 에 내원하셨다고 합니다.
실제로 본원에선 미인 대회라던지,
미스코리아를 나가시는 환자분들께서
많이 찾아와 주시곤 하시는데요
대부분의 환자들께서 구강/치아 관리 역시
만만치 않게 힘들다는 말씀을 하시곤 합니다.
물론 맞는 말씀이시긴 해요 ㅎㅎ
꾸준히 정기 검진 받는 것도 힘든데
미인 대회나 미스코리아 같은 경우라면
더욱 신경 써서 관리할 수밖에 없죠...!
다시 본론으로 돌아와서,
이제 환자의 초진 구내 모습을
한 번 진단해 보도록 할게요.

구강 카메라 기기를 통해 살펴보니
위와 같이 앞니 사이 공간이 나타난 걸
한 눈에 알아볼 수 있었는데요
이런 경우, 기능적인 부분에선
크게 문제될 건 없지만 심미적인 부분에선
불편함을 일으킬 수 있습니다.
게다가 인접면 사이이기 때문에
제대로 된 관리가 어려운 편이라,
충치 질환이 생기기 쉬울 수밖에 없죠.
서초동 치과 는 곧장 환자와 함께
치료 방안에 대해 의논해 봤는데요
환자께선 벌어진 공간도 신경 쓰이지만,
누렇게 변색한 앞니가 마음에 들지 않는다며
한꺼번에 개선하길 원하셨습니다.
게다가 미인 대회를 나가야 된다고 하셨으니
아무래도 티 안 나게 하는 것이 중요하겠죠?
따라서,
서초동 치과 와의 의논 끝에
원데이 라미네이트 시술 을 통해
해결하기로 결정했습니다.
👇👇👇
루시드의 라미네이트 🌷 🌷예뻐지기 위해 하는 라미네이트, 그런데 소중한 내 치아를 일부 깎아내고 해야 된다는 사실 알고 계셨...
blog.naver.com
💙💙
서초동 치과 는 원내 기공소를 가지고 있으며,
cerec 밀링기를 통해 빠른 보철 제작이 가능한데요
단 하루 만에 모든 과정을 마칠 수 있어
바쁜 직장인 혹은 학생분들께서
해당 치료를 많이 받곤 하십니다 ㅎㅎ
게다가,
다른 곳과 달리, 치아 표면 약 0.1mm만
다듬어서 라미네이트 를 부착하고 있기 때문에
더 많은 양의 자연치 보존 또한 가능합니다.
많은 분들께서 이런 장점이 마음에 든다며
서초동 치과 라미네이트 를 찾아와 주시는
분들이 점점 늘고 있는 추세이긴 합니다 :)

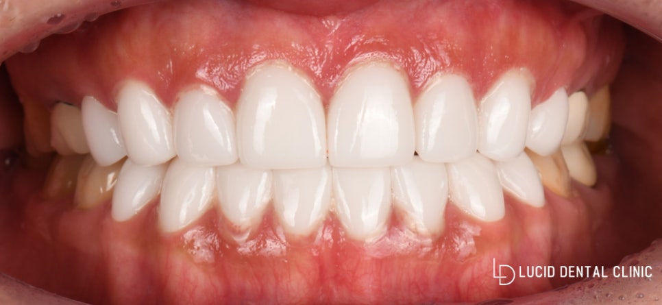
서초동 치과 에서 시행한
원데이 라미네이트 시술
최종 종료 후 모습입니다!

초진 구내 모습과는 달리
벌어진 앞니 사이 공간이 사라지고,
밝은 색조로 심미성이 올라갔죠?
환자께서 달라진 구강이 마음에 든다며
거울에서 눈을 못 떼시더라고요 ㅎㅎ

저라면 이 분을 미인 대회
우승자로 뽑을 것 같습니다 ㅎㅎ
끝으로 관리법과 주의 사항에 대해
몇 번 설명해 드리고 마무리했습니다.
어느 치료든 사후 관리가 중요한 점
이제 모두 알고 계실 거라고 믿습니다!
그렇지만, 한 번 더 알고 가면 좋으니
아래 관련 링크 몇 개 첨부해 드리고
오늘 소개 마무리하도록 하겠습니다.
모두 건강 잘 챙기세요 :)
강남논현동치과 라미네이트 수명 늘리는 관리 꿀팁 공개! 오늘은 라미네이트 수명 더욱 늘릴 수 있는 관리법에 대해 자세하게 알려드릴까 합니다. 👇👇 라미네이...
blog.naver.com
역삼동 치과 라미네이트 시술 후 관리 방법, 이것만 지키면 됩니다. 반갑습니다, 여러분! 모두 설 연휴 잘 보내셨나요? 설 연휴를 보내면서 제가 라미네이트 관련 글을 읽어서 ...
blog.naver.com
오시는 길 및 진료시간 안내 📍 📍 주소 서울 강남구 논현로111길 3, 상가 101, 102A 대로변 1층에 위치하여 있으며 9호선 언주역 2번출...
blog.naver.com

Explore More
Keep Browsing This Clinic's Korean Content Trail.
Return to the source archive for more posts, or move back to the clinic profile to compare the rest of the clinic's public channels.