루시드치과의원 LUCID Dental Clinic ルシード歯科 露西得牙科医院 LUCINATE ルシネート
평생 살아온 착색 흔적 논현동 치과 루시네이트로 깔끔하게 지우기
루시드치과의원 서울특별시 강남구 논현로111길 3 상가 1층 101, 102A 네이버 톡톡 궁금할 땐, 부담없이 물어보세요. talk.naver.com 누구나 하얀 이를 선호합니다. 하지만 많은 사람들이 다양한 이유로 착색되어서 누런색의 치아를 갖게 되는 경우가 많습니다. 대표적인 착색 원인은 뭘까요? 흡연...
루시드치과의원 서울특별시 강남구 논현로111길 3 상가 1층 101, 102A
네이버 톡톡 궁금할 땐, 부담없이 물어보세요.
talk.naver.com
누구나 하얀 이를 선호합니다.
하지만 많은 사람들이
다양한 이유로 착색되어서
누런색의 치아를
갖게 되는 경우가 많습니다.
대표적인 착색 원인은 뭘까요?
-
흡연 및 음식물로 인한 색소 침착
-
구강 위생의 불량
-
항생제 약물의 장기 복용
-
치수의 출혈 및 괴사
-
선천적 질환의 영향
이러한 이유가 착색을 발생시키고 있는데요.
또, 슬프게도 나이가 들면 치아는
점점 어둡고 누르스름하게 변합니다.

법랑질(Enamel)이 마모되어 얇아지면서
내부에 있는 상아질의 노란 색조가
드러나기 때문입니다.
위에 설명해 드린
각종의 착색 이유와 세월이
치아를 누렇게 만들고 있는 거죠.
오늘 논현동 치과 에서
소개해 드리는 사례 속 환자께선
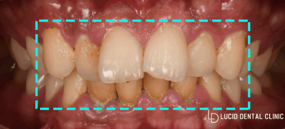
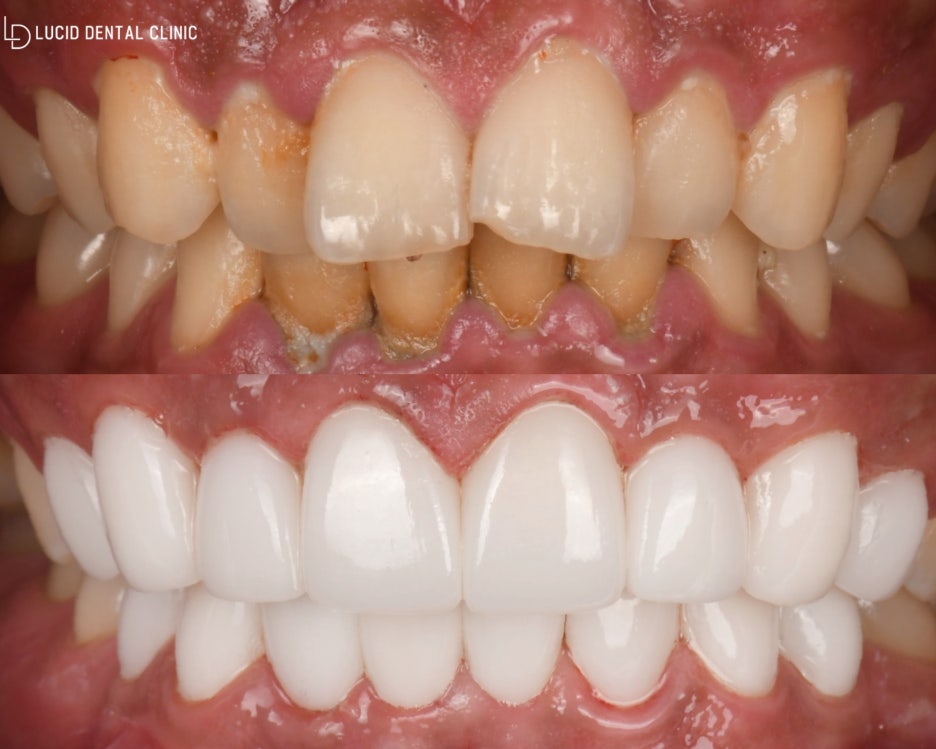
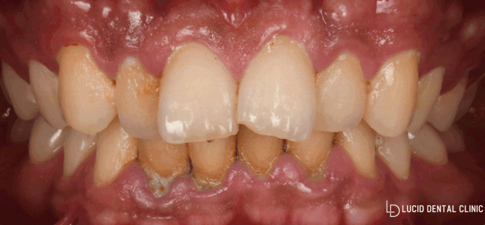
치주 질환 및 누렇게 변한 색이
고민이라며 찾아오셨습니다.
곧바로 정밀 구강 검진을 시행한 결과,
아래와 같은 모습을 볼 수 있었습니다.

-
치주 질환으로 잇몸 퇴축
-
불규칙한 치열
-
여러 가지 이유로 착색된 치아들
위와 같은 문제들로 인해
충치 질환은 물론, 이시림 증상이 나타나
정상 생활에 방해를 줄 수 있는데요
특히 고르지 못한 치열과 길이, 그리고 착색은
심미적으로 불편감을 줄 수 있습니다.
누군가와 말할 때나 식사할 때
특히 신경 쓰일 수밖에 없죠..
저희 논현동 치과 는
심미로 인한 트라우마가 생긴 환자들이
오시는 걸 종종 볼 수 있는데요,
그만큼 안모가 중요한 시대인 거 같습니다.
환자께서는
해당 문제를 개선 하기 위해
찾아와주셨으니
그에 따른 치료 계획을
함께 수립하도록 하겠습니다.
치료 계획
논현동 치과 는 환자에게
원하는 방향을 여쭤봤는데요.
-
자연치 보존
-
올바른 치아 배열
-
밝은 색조
-
빠른 치료 기간
네 가지를 우선으로 원하셔서
조건과 맞는 루시네이트를 권해드렸습니다.
루시드의 라미네이트 🌷 🌷예뻐지기 위해 하는 라미네이트, 그런데 소중한 내 치아를 일부 깎아내고 해야 된다는 사실 알고 계셨...
blog.naver.com
루시드에서 시행하는 루시네이트는
차별화된 장점을 가지고 있는데요.
✅맞춤형 보철 제작
✅당일 제작 가능
✅적은 삭제량
저희는 논현동 치과 에 배치된
cerec 밀링머신을 사용하고 있는데,
해당 기기를 통해 각자 구강에 맞춘 보철을
단 하루 만에 제작이 가능하기 때문입니다.
게다가 루시드에선 자연치 보전을 위해
0.1mm의 얇은 두께만 다듬고 있습니다.
치아 삭제량은 최소로 줄이고
보존량은 더 늘릴 수 있는 거죠.
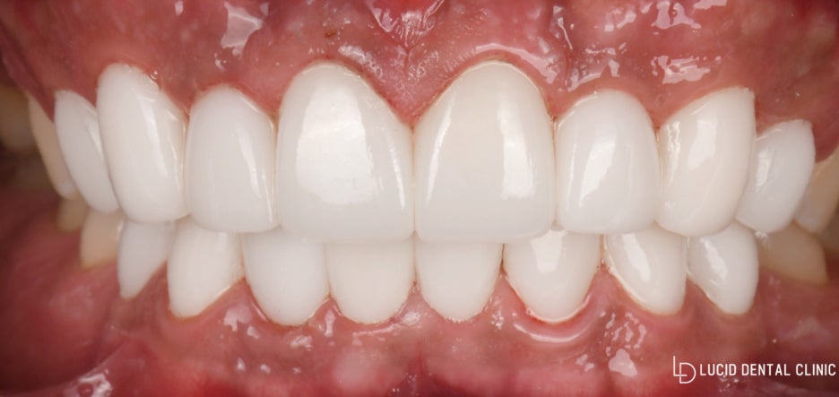
그럼 cerec 밀링머신으로 당일에 나온
루시네이트 결과를 한 번 보도록 할까요?

단 하루 만에 치료를 마친 모습입니다.

처음에 가지고 있던
누랬던 모습은 보이지 않고
가지런하고 밝아진 색조로 더욱 심미성이
높아진 걸 관찰할 수 있게 되었습니다.

- 환자께서는 단 하루 만에 바뀐 모습에
자신도 놀라고 무엇보다 가족이 제일 놀랐다네요.
끝으로 논현동 치과 에서는
예쁜 치아를 가지게 된 만큼
관리의 중요성도 꼼꼼하게
설명해 드리고 있습니다.
여러분들도 아시면 좋을 것 같아,
세 가지만 알려드리도록 하겠습니다!
1️⃣구강 위생 관리
안쪽 부분까지 닦일 수 있도록
치실 또는 물 사출기 같은 구강 위생용품을
병행하면 좋습니다.
2️⃣식습관 및 악습관 개선
루시네이트는 우리 자연치와 같이
쉽게 착색되거나, 깨질 수 있습니다.
변색을 쉽게 일으키는 음식이나
딱딱한 식품은 당분간 자제하는 것이 좋습니다.
3️⃣정기검진
내가 한 루시네이트가 잘 기능을 하고 있는지
주기적으로 논현동 치과 로 점검하러 오시면 좋겠죠?
더 자세한 내용은 아래 링크를
첨부해 드리니 참고 부탁드립니다.⬇⬇
역삼동 치과 라미네이트 시술 후 관리 방법, 이것만 지키면 됩니다. 반갑습니다, 여러분! 모두 설 연휴 잘 보내셨나요? 설 연휴를 보내면서 제가 라미네이트 관련 글을 읽어서 ...
blog.naver.com
루시네이트 후기는 여기서 종료하겠습니다.
혹시라도 궁금하거나
문의하실 내용이 있다면
언제든 본원으로 편하게 연락해 주세요.
더워지는 여름, 더위 조심하시고
늘 건강하면 좋겠습니다 :)
감사합니다.
논현동 치과 대표 원장 박현민이었습니다.
루시드 치과 한 눈에 보기👀 의료진 소개 오시는 길 및 진료시간 안내 루시드의 특별함 루시드의 스케일링 루시드의 임플란트 루시드치...
blog.naver.com

Explore More
Keep Browsing This Clinic's Korean Content Trail.
Return to the source archive for more posts, or move back to the clinic profile to compare the rest of the clinic's public channels.