루시드치과의원 LUCID Dental Clinic ルシード歯科 露西得牙科医院 LUCINATE ルシネート
논현동 치과 치아 벌어지고, 변색한 치아 루시네이트 수복 증례
루시드치과의원 서울특별시 강남구 논현로111길 3 상가 1층 101, 102A 가지런한 치열을 얻기 위해 교정 치료는 치아 보존적인 의미에서 단연 First choice일 수 밖에 없습니다. 그러나 치아가 벌어지고, 변색 치아나 왜소치, 심한 마모 치아인 경우 교정만으로 심미성이 높은 결과를 가져올 수 없습니다. ...
루시드치과의원 서울특별시 강남구 논현로111길 3 상가 1층 101, 102A
가지런한 치열을 얻기 위해 교정 치료는
치아 보존적인 의미에서
단연 First choice일 수 밖에 없습니다.
그러나 치아가 벌어지고, 변색 치아나 왜소치,
심한 마모 치아인 경우 교정만으로
심미성이 높은 결과를 가져올 수 없습니다.
특히 심미에서는 항상 통합적인 진단과
계획이 필요한 경우가 많습니다.
심미 및 안모뿐만 아니라
기능적인 교합 관계를 이룸으로써
조화로운 상태가 유지될 수 있는
치료가 전제되어야 하기 때문이죠.
이에 심미적인 전치부와
좋은 교합 관계를 얻기 위해
라미네이트로 개선한 증례를 살펴보겠습니다.
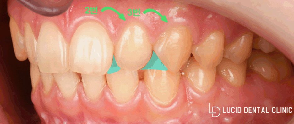
먼저 초진 사진 보겠습니다.

2번부터 3번이 interdental gap이
있는 걸 관찰할 수 있습니다.
즉 치간사이가 벌어져 있습니다.
그리고 또 변색이 한눈에 보이는데요.
변색은 옛날부터 숨기려고
라미네이트를 사용 한 걸 아시나요?
논현동 치과 에서 역사를 조금 알려드리면
20세기 초반에는 주로 산업용으로 사용되었습니다.
시초는 1920년대 할리우드 배우들의
촬영 때문에 처음 포세린을
만들어 붙인 것이 처음이라고 전해집니다.
그 후, 1950년대와 60년대 들어서면서
주방 가구, 바닥재 등 다양한 곳에서
사용되기 시작하면서 기술이 계속 발전해
많은 소재와 디자인으로 사용하고 있는 거죠.
이렇게 심미보철이 발전되었습니다.
논현동 치과 를 믿고 방문해 주셨으니
꼼꼼한 설명과 계획을 같이 세워보기로 했습니다.
계획
저희 논현동 치과는 자연치 보존을 위해
최소 삭제, 무삭제를 약속드리고 있는데요,
환자와 충분히 소통 후
상 하악 16개 루시네이트(laminate veneer)를
수복하기로 했습니다.
왜 laminate veneer를 하나요?
초반에 설명해 드렸듯이
치아의 형태이상과 변색은
교정으로 바꿀 수가 없어
이런 선택이 제일 좋을 것으로 판단했습니다.
루시드의 라미네이트 🌷 🌷예뻐지기 위해 하는 라미네이트, 그런데 소중한 내 치아를 일부 깎아내고 해야 된다는 사실 알고 계셨...
blog.naver.com
치열이 복잡한 경우 Minor tooth
movement를 병행하는 경우도 많습니다.
이 환자의 경우 보존, 치주, 구강 외과적인 문제가
없었기 때문에 따로 장치는 사용하지 않았습니다.
루시네이트의 큰 장점은 내구성(durability)입니다.
스크래치, 열과 같은 외부 요인에 강하며,
유지보수가 간편합니다.
또한 여러 가지 형태와 색조를 선택할 수 있어
개인 취향에 맞게 Customizing을 할 수 있습니다.
치료 및 수복
무삭제와 최소 삭제를 통해
laminate veneer가 들어갈 공간을 만들어 줍니다.
0.1mm의 얇은 두께이기 때문에
술자의 기술가 노하우가 많이 필요합니다.
걱정하지 마세요.❗
저희 논현동 치과는 보건복지부에서 인증한
전문의가 1:1 맞춤진료를 하고 있습니다.
단순히 전치의 배열만을 목표로 하는 것이 아닙니다.
기능교합이 이루어진 상태까지 고려해서
알맞은 치료를 하고 있습니다.
수복한 과정을 봐볼까요?
어떤가요?

interdental gap이 없어지고,
변색도 해결된 모습입니다.

전후로 봐도
드라마틱한 변화를 느낄 수 있는데요.
지금 보여드린 증례가
단 하루 만에 끝난 치료라면 믿으시겠습니다.
당일 치료 맞습니다.
저희 논현동 치과 는
원데이 루시네이트를 할 수있어
빠르게 일상생활에 복귀가 가능한
만족도가 높은 치료입니다.
루시드치과 의료진을 소개합니다 🥼 통합치의학과&치주과&치과교정과&구강악안면외과 원장 협진 시스템✨ 루시드치과 7명의 원장의...
blog.naver.com
마치며
수복했다고 끝이 아닙니다.
논현동 치과 에서는 모든 분들을
follow up 통해 예후를 관찰하고 있습니다.
laminate veneer 고민 중이신가요?
라미네이트는 재료의 표면을 보호하고
강화하려고 사용되는 다재다능한 소재입니다.
내구성, 다양성 등 여러 장점을 가지고 있지만
단점도 존재하므로 사용 목적과
필요에 맞게 신중히 선택해야 됩니다.
언제든 환자를 우선으로
고민을 해결해 드리고 있습니다.
이번 환자와 비슷한 고민을 하고 계신다면
내원하셔서 상담받으셨으면 좋겠습니다.
논현동 치과 박현민 대표원장이었습니다.
네이버 톡톡 궁금할 땐, 부담없이 물어보세요.
talk.naver.com

Explore More
Keep Browsing This Clinic's Korean Content Trail.
Return to the source archive for more posts, or move back to the clinic profile to compare the rest of the clinic's public channels.