루시드치과의원 LUCID Dental Clinic ルシード歯科 露西得牙科医院 LUCINATE ルシネート
"치아 색이 누렇게 변했어요." 강남역 치과 에서 루시네이트 당일 수복으로 자신감 찾아드렸습니다.
루시드치과의원 안녕하세요 행복을 드리는 루시드치과 입니다^^ pf.kakao.com 루시드치과의원 서울특별시 강남구 논현로111길 3 상가 1층 101, 102A 최근 날씨가 상당히 더워지면서 여름이 다 왔다고 느끼고 있습니다. 사람은 더워서 스트레스를 많이 받는데요. 치아 때문에 또 스트레스를 받으면 안 되겠죠?...
루시드치과의원 안녕하세요 행복을 드리는 루시드치과 입니다^^
pf.kakao.com
루시드치과의원 서울특별시 강남구 논현로111길 3 상가 1층 101, 102A
최근 날씨가 상당히 더워지면서
여름이 다 왔다고 느끼고 있습니다.
사람은 더워서 스트레스를 많이 받는데요.
치아 때문에 또 스트레스를 받으면 안 되겠죠?
오늘 제가 여러분과 얘기 나눌 주제는
라미네이트로 단 하루 만에 스트레스를
날려드린 증례를 보여드리겠습니다.
환자의 주소부터 함께 알아보도록 하겠습니다!
"주변에서 웃을 때 이가 누렇다고 해서,
기분 안 좋아서 루시네이트 받고 싶어서
찾아왔습니다!"
환자께서 위와 같은 주소를 가지고
강남역 치과 에 찾아주셨습니다.
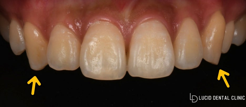
앞니를 찍어봤습니다.

전체적으로 누런 치아들을 볼 수 있지만
표시해 드린 3번은 특히 길고
더 변색이 심하게 나타나는 게 보입니다.
이 환자의 앞니에는 변색과 반상치가
있다는 것을 확인할 수 있습니다.
치아 변색의 원인은
치아 손상, 유전적 요인, 대사장애, 환경요인 등으로
구분됩니다.
이 중에서 치아 손상에 의한 변색은 일차적으로
hemoglobin(헤모글로빈)의 파괴로 인해 발생합니다.

헤모글로빈은 적혈구 속에
다량으로 들어 있는 색소 단백질이라고 부르죠.
또 불소 함유량이 많은 음료수를 섭취하는
환경요인에 의한 반상치는 형성하는 동안
법랑아세포에 장애를 일으킬 수 있고
법랑질 형성 부전으로 표면에 작은 소와가 형성되어
색소침착이 나타나는 문제가 일어납니다.
- 반상치 : 앞니 표면에 있는 하얀 점,
또는 화이트 스팟
이러한 여러 가지 이유로
변색이 일어나고 있습니다.
혹시 라미네이트로 당일에
개선할 수 있나요?
강남역 치과 는 멀리서 찾아오신 환자를 위해
당일 시술을 도와드리기로 했습니다.
본원엔 심미 치료를 받기 위해 오는
환자분들이 매우 많습니다.
아무래도 저희만의 장점인,
치료 기간 덕분이지 않을까 싶은데요.
강남역 치과 에서는 세렉(cerec)
CAD/CAM 시스템 밀링기를
두 대를 가지고 있습니다.
이를 통해 치아를 거의 삭제하지 않고
단 하루 만에 치료를 마칠 수 있습니다.
그래서 이처럼 멀리서 방문해 주셔도
여러 번 발걸음을 안 하셔도 됩니다.
루시드의 라미네이트 🌷 🌷예뻐지기 위해 하는 라미네이트, 그런데 소중한 내 치아를 일부 깎아내고 해야 된다는 사실 알고 계셨...
blog.naver.com
당일 제작 및 수복
보철 제작 시, 밝은 색조, 환자마다 가진 환경에
맞춰 제작해 드리고 있으니 걱정하실 필요 없습니다.
자연치를 최소 삭제 후❗

누런 색조가 마음에 안 드셨던
환자는 밝은 색조로
통일해서 8개를 수복했습니다.

강남역 치과 에서 수립한 계획에 따라 진행했던
루시네이트 시술 전후 모습입니다.
걱정하셨던 색조와 길이가 일치하게 변하면서
저도, 환자도 만족스러운 치료였다고 생각합니다.
"루시네이트 시술 또한
관리가 중요합니다."
-
딱딱하거나 점성이 있는 음식
-
음주나 구강청결제 사용 자제
-
착생 유발 음식, 흡연 자제
-
급격한 온도 변화에 주의
강남역 치과 에서 자세한 부분은
아래 링크 첨부해 드릴 테니
꼭 읽어보시고 꼼꼼한 관리 부탁드립니다 :)
⬇⬇⬇⬇⬇⬇⬇⬇
강남논현동치과 라미네이트 수명 늘리는 관리 꿀팁 공개! 오늘은 라미네이트 수명 더욱 늘릴 수 있는 관리법에 대해 자세하게 알려드릴까 합니다. 👇👇 라미네이...
blog.naver.com
독자 여러분께 조금이라도
도움이 되었기를 바라며
루시네이트 시술 후기는
여기서 마칩니다.
변색 말고도 더 궁금하신 내용이 있다면
답글 및 본원에 문의 부탁드려요.
감사합니다.
강남역 치과 박현민 대표원장이었습니다.
좋은 하루 보내세요 :)
네이버 예약 :: 루시드치과의원 안녕하세요 [ 연예인 ] [ 인플루언서 ] [ 아이돌 ] [ 미인대회 ] 출신자들에게 사랑받는 강남 치과 루시드입니다 :) 저희 루시드 치과는 심미성과 기능 모두를 생각한 치과치료를 지향하고 있습니다 환자분들이 저희 치과에 오시기까지 수 많은 고민을 하셨다는 걸 정말 잘 알고 있습니다. 따라서 루시드에서는 최소한의 치료로 최대의 만족과 결과를 안겨드릴 수 있도록 노력하고 있습니다. 치아와 잇몸은 최대한 건드리지 않는 것이 가장 좋은 치료 방법입니다. 자연치를 지키면서 할 수 있는 방법을 최우선으로 하며, 치료시에도 자연치 손상을 적...
m.booking.naver.com

Explore More
Keep Browsing This Clinic's Korean Content Trail.
Return to the source archive for more posts, or move back to the clinic profile to compare the rest of the clinic's public channels.