루시드치과의원 LUCID Dental Clinic ルシード歯科 露西得牙科医院 LUCINATE ルシネート
신논현역 치과 "삐뚤빼뚤하고 높이가 안 맞는 치아" 하루 만에 라미네이트(Laminate Veneer) 수복
네이버 톡톡 궁금할 땐, 부담없이 물어보세요. talk.naver.com 루시드치과의원 서울특별시 강남구 논현로111길 3 상가 1층 101, 102A 과거로부터 인간은 자신만의 개성을 표출하며 타인에게 아름다움을 나타내려 하는 기본적인 욕구가 있습니다. 이러한 욕구에 부응하여 관련 분야와 학문에 지속적인 발전이 있었...
네이버 톡톡 궁금할 땐, 부담없이 물어보세요.
talk.naver.com
루시드치과의원 서울특별시 강남구 논현로111길 3 상가 1층 101, 102A
과거로부터 인간은 자신만의 개성을 표출하며 타인에게
아름다움을 나타내려 하는 기본적인 욕구가 있습니다.
이러한 욕구에 부응하여 관련 분야와 학문에
지속적인 발전이 있었는데요.
심미 개선을 목적으로 하나 치료에 있어서도
전통적인 방법에 비해 치질 삭제를
최소로 하는 보존 치료에
대한 인식 및 선호도가 높아졌습니다.
이에 따라 전치부 심미성을 회복하는
방법 및 각종 재료의 발전을 거듭하고 있습니다.
그 시대 발전에 발맞춰
저희 신논현역 치과 에서는
요즘 앞니 루시네이트를 받으러
오는 환자가 계속 늘고 있는데요.
그래서 오늘은 앞니 Laminate Veneer
증례를 가지고 여러분께 소개해 드리겠습니다.
함께 보실까요?
"원장님, 앞니가 높이 차이가 있고
삐뚤어졌습니다."
환자께선 심미적으로 불편함을 느낀다며
치료를 원하셨는데요.
정밀한 Laminate Veneer 계획을 세우려면
현재 치아가 어떤 모양인지 자세히 봐야 됩니다.
신논현역 치과 는 우선
구강 검진을 시행했습니다.

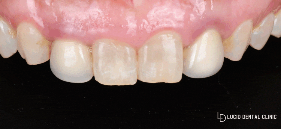
초진 상악 치아 사진입니다.
좌,우 비대칭이고 가운데 치아가 높이 차이가 있어
웃을 때도 조금 어색한 모습을 볼 수 있는데요.
서둘러 환자와 수복 계획을 의논했습니다.
신논현역 치과 는 환자와 함께 의논한 결과,
6개의 Laminate Veneer를 결정했는데요.
웃을 때나 얘기를 나눌 때
특히, 더 잘 보이는 부위라
라미네이트 치료 같은 경우
조금 더 신경 써서 진행해야 됩니다.
치료 시작
일단 스케일링을 기본으로
깨끗한 구강 환경을 만들어 줘야 됩니다.

그리고 치아 표면 정리를 하는데요.
신논현역 치과 는 자연치 보존을 위해
무삭제 또는 0.1mm 두께를
다듬고 진행하고 있습니다.
깔끔하게 다듬어주고
인상 채득 후 제작을 해줄 건데요.
환자는 이왕 하는 거 심미성을
더 챙기려고 밝은 색상으로 제작하기로 했습니다.
루시드의 라미네이트 🌷 🌷예뻐지기 위해 하는 라미네이트, 그런데 소중한 내 치아를 일부 깎아내고 해야 된다는 사실 알고 계셨...
blog.naver.com
위 증례 환자가 계속 신기해하셨던 게 당일 치료인데요.
저희 신논현역 치과는 치아뿐만 아니라
여러분의 시간도 아껴드리고자
많은 시스템을 구축해 당일 치료가 가능합니다.
이렇게 당일에 나온 Laminate Veneer를
수복했습니다.
어떠신가요.

전후로 보여드리겠습니다.

비교해서 보니 색조 및 형태 차이가
확연하게 보입니다.
환자께서는 너무 만족스럽다고
거울을 계속 웃으면서 보는 모습을 보니
너무 따듯한 하루였습니다.
이후 신논현역 치과 에서
관리법을 알려드리면서 마무리했습니다.
이렇게 오늘 준비한 사례는
여기서 끝났습니다.
아쉽지만 또 좋은 사례와 함께
다시 찾아오도록 하겠습니다.
지금까지 봐주신 모두에게 감사드리면
신논현역 치과 박현민 대표 원장이었습니다.
다음 게시글에서 만나겠습니다 :)
네이버 예약 :: 루시드치과의원 안녕하세요 [ 연예인 ] [ 인플루언서 ] [ 아이돌 ] [ 미인대회 ] 출신자들에게 사랑받는 강남 치과 루시드입니다 :) 저희 루시드 치과는 심미성과 기능 모두를 생각한 치과치료를 지향하고 있습니다 환자분들이 저희 치과에 오시기까지 수 많은 고민을 하셨다는 걸 정말 잘 알고 있습니다. 따라서 루시드에서는 최소한의 치료로 최대의 만족과 결과를 안겨드릴 수 있도록 노력하고 있습니다. 치아와 잇몸은 최대한 건드리지 않는 것이 가장 좋은 치료 방법입니다. 자연치를 지키면서 할 수 있는 방법을 최우선으로 하며, 치료시에도 자연치 손상을 적...
m.booking.naver.com
루시드의 임플란트 🦷 임플란트는 제 2의 치아로 불리는 만큼 자연치처럼 편안하고 튼튼해야됩니다. 그러기 위해서 재료에서 부터...
blog.naver.com

Explore More
Keep Browsing This Clinic's Korean Content Trail.
Return to the source archive for more posts, or move back to the clinic profile to compare the rest of the clinic's public channels.