루시드치과의원 LUCID Dental Clinic ルシード歯科 露西得牙科医院 LUCINATE ルシネート
"예쁜 사람에게는 아름다운 앞니가 있습니다." 서초동 치과 미스코리아 루시네이트 수복 증례
네이버 톡톡 궁금할 땐, 부담없이 물어보세요. talk.naver.com 자기 앞니는 자신도 분석할 수 있습니다. 왜 아름답게 웃을 수 없는지, 거울을 보면서 하나둘 체크해 볼 수 있죠. 입을 살짝 벌렸을 때 이의 끝이 약간씩 보입니까? 살짝 웃거나 일상적인 대화를 할 때 이의 끝이 약간 보이는 것이 좋습니다. 보...
네이버 톡톡 궁금할 땐, 부담없이 물어보세요.
talk.naver.com
자기 앞니는 자신도 분석할 수 있습니다.
왜 아름답게 웃을 수 없는지,
거울을 보면서 하나둘 체크해 볼 수 있죠.
입을 살짝 벌렸을 때
이의 끝이 약간씩 보입니까?
살짝 웃거나 일상적인 대화를 할 때
이의 끝이 약간 보이는 것이 좋습니다.
보통 살짝 입을 벌린 상태에서 윗니가 2~3mm
정도 보이는 것이 좋은데요.
앞니가 보이는 정도가 사람마다 달라
일반적으로 윗니가 많이 보일수록 젊어 보이고
아랫니가 많이 보일수록 나이가 들어 보입니다.
이런 기준을 통해 자가 분석을 할 수 있는데요.
무대에 올라가 미를 뽐내는 사람에게는
기준이 더 엄격할 수 있습니다.
미리 알려드리자면
저희 서초동 치과 에서 라미네이트를 수복하고
미스코리아에 당선된 환자 케이스입니다.
같이 보겠습니다.
"이가 조금 더 고르고,
색조가 밝았으면 좋겠어요."
라는 주소를 가지고
서초동 치과 에 내원하셨습니다.
곧장 환자와 함께 정밀 구강 검진을
시행하며 문제점을 파악해 봤습니다.

shade guide 기구를 통해
확인한 결과 색조가 일반 사람들보다
조금 어두운 정도로 진단되었습니다.
절단면이 평행하지 않아
웃을 때 조금 어색한 느낌이 있어
처지가 필요하다고 판단했고,
이 부분에 대해 자세히 얘기를 나눴습니다.
진료 계획
서초동 치과 와 함께 의논한 결과,
루시네이트 치료를 하기로 했는데요.
환자께서는 활짝 웃을 수 있도록 위에 8개 아래 8개
수복을 진행하기로 했습니다.
루시드의 라미네이트 🌷 🌷예뻐지기 위해 하는 라미네이트, 그런데 소중한 내 치아를 일부 깎아내고 해야 된다는 사실 알고 계셨...
blog.naver.com
본원에서 가지고 있는 세렉이라는
장비를 이용하면 좀 더 정교하고 빠른
맞춤형 보철을 제작할 수 있습니다.
서초동 치과 는 실제로 자연치 보존을
중점으로 표면 약 0.1mm만 다듬어서
루시네이트 보철을 부착하고 있습니다.
같은 증상이라도, 환자마다 가지고 있는
구강 환경 및 문제의 정도가 다르기 때문에
치료 방법이 다를 수도 있습니다.
미리 전문 의료진과 함께 충분히 상담한 다음,
신중하게 선택하셔서 치료받길 바랍니다❗
심미 보철 수복
루시네이트 보철 제작을 위해
정돈하는 시간을 가졌습니다.
최소한의 두께만 삭제하고 맞춤형 보철 제작을 위해
색조부터 모양까지 꼼꼼하게 챙겼습니다.
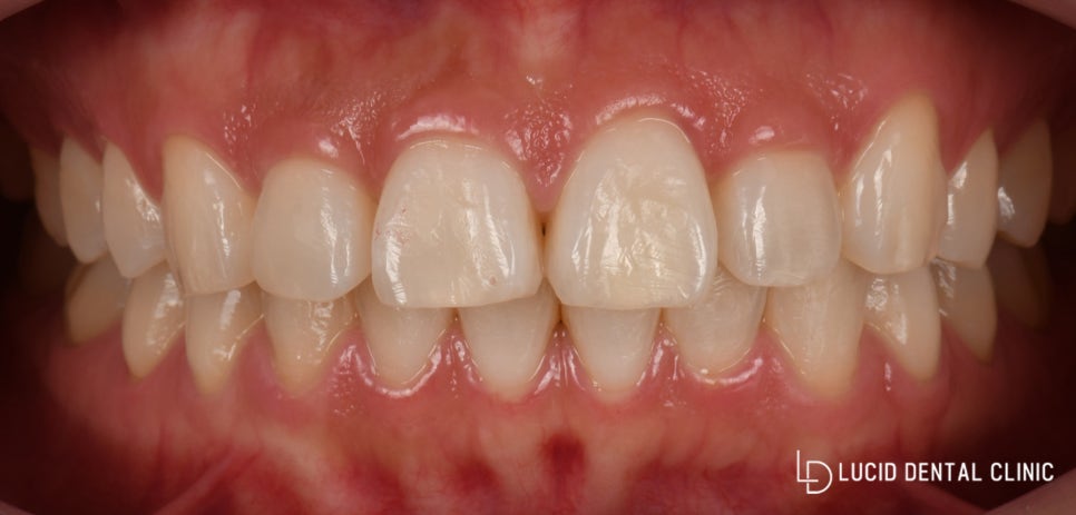
그 결과

이렇게 환자께서 원하시던 루시네이트를
수복했습니다.
이전과 달리 밝아진 색조는 물론
앞에서 활짝 웃을 수 있도록
스마일 라인도 만들어 드렸습니다.

- 호감도에 큰 영향을 미친다는 스마일 라인은
치아 끝 선이 부드럽게 선이 이루면서
평행할 때 가장 보기 좋습니다.
이렇게 치료 후 미스코리아 당선되었다는
연락을 받고 너무 뿌듯했답니다.
어려운 발걸음을 해주신 만큼
저희 서초동 치과 에서도 엄격한 기준으로
치료해 드리니 마음 편하게
찾아와주시면 감사하겠습니다.
보철 수명은 8년에서 10년 정도로 말하고 있는데요.
정기검진과 꾸준한 구강 관리로
보철뿐만 아니라 자연치의 수명까지
챙길 수 있으셨으면 좋겠습니다.
이와 같이 심미로 고민하는 분들이 있다면
이 글을 통해 조금이라도 도움이 되었기를 바랍니다.
언제나 환자를 우선으로 진료하며
꼭 필요한 것만 권유해 드리는
서초동 치과였습니다.
네이버 예약 :: 루시드치과의원 안녕하세요 [ 연예인 ] [ 인플루언서 ] [ 아이돌 ] [ 미인대회 ] 출신자들에게 사랑받는 강남 치과 루시드입니다 :) 저희 루시드 치과는 심미성과 기능 모두를 생각한 치과치료를 지향하고 있습니다 환자분들이 저희 치과에 오시기까지 수 많은 고민을 하셨다는 걸 정말 잘 알고 있습니다. 따라서 루시드에서는 최소한의 치료로 최대의 만족과 결과를 안겨드릴 수 있도록 노력하고 있습니다. 치아와 잇몸은 최대한 건드리지 않는 것이 가장 좋은 치료 방법입니다. 자연치를 지키면서 할 수 있는 방법을 최우선으로 하며, 치료시에도 자연치 손상을 적...
m.booking.naver.com
루시드치과의원 서울특별시 강남구 논현로111길 3 상가 1층 101, 102A

Explore More
Keep Browsing This Clinic's Korean Content Trail.
Return to the source archive for more posts, or move back to the clinic profile to compare the rest of the clinic's public channels.