루시드치과의원 LUCID Dental Clinic ルシード歯科 露西得牙科医院 LUCINATE ルシネート
"삐뚤빼뚤하고 작은 치아 보기 안 좋아요." 신논현역 치과 루시네이트 수복 후기
네이버 톡톡 궁금할 땐, 부담없이 물어보세요. talk.naver.com 루시드 신논현역 치과 인사드립니다 :) 라미네이트는 얇게 제작한 보철을 자연치 표면에 부착하여 모양과 색조를 한 번에 개선할 수 있는 치료인데요. 보통 누렇거나 삐뚤빼뚤한 배열로 인해 고민인 환자들이 많이 받는 치료 중 하나입니다. 신논현역...
네이버 톡톡 궁금할 땐, 부담없이 물어보세요.
talk.naver.com
루시드 신논현역 치과
인사드립니다 :)

라미네이트는 얇게 제작한 보철을
자연치 표면에 부착하여
모양과 색조를 한 번에 개선할 수 있는 치료인데요.
보통 누렇거나
삐뚤빼뚤한 배열로 인해
고민인 환자들이 많이 받는 치료 중 하나입니다.
신논현역 치과 에 내원하는 분들의 주소 중
많은 부분을 차지하기도 하는데요,
오늘 소개해 드리는 증례 또한 마찬가지로
배열과 형태이상으로 인해 찾아오셨다고 합니다.
그럼 같이 보겠습니다!
- 초진
"선생님 제 치아가 좀 삐뚤빼뚤하고
아래 치아는 작아서 틈이 벌어져 있어요."
환자께서 위와 같은 주소로
신논현역 치과 에 찾아오셨는데요.
문진을 진행하면서 자세히 여쭤보니,
사람 앞에서 말할때 마다
계속 신경 쓰인다고 하셨습니다.
앞니는 구치부와 달리
눈에 잘 들어오는 곳에 있어
심미적인 영향을 많이 받고 있습니다.
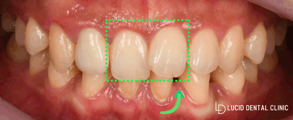
사진 한번 보겠습니다.

이렇게 윗니는 삐뚤빼뚤하고
아랫니는 작아서 틈이 보여 뒤에
검은 속공간이 보이는 건데요.
이는 사람들과 의사소통할 때도
소심한 자세와 위축된 모습을 보여
자신감도 떨어지게 될 수 있는데요.
신논현역 치과 는 주소를 토대로
환자와 함께 치료 계획을 수립하기로 했습니다.
- 계획
위 사진 과 같이
삐뚤빼뚤하고 작은 치아들을 이른 시간 안에
치료를 원하셨는데요.
잘 오셨습니다.
저희 신논현역 치과 는
당일에 치료가 다 끝낼 수 있는
시스템을 가지고 있는데요.
어떻게 하루 만에 끝나나요?
저희 루시드는 원내 기공소를 보유하고 있습니다.

그래서 단 하루 만에 제작을 완료할 수 있죠.
다시 말해, 최소 삭제를 통해
자연치를 보존하고, 단 하루 만에
보철 제작이 완료되니
그다음 날부터 아무 일도 없던 것처럼
일상 복귀가 가능합니다.
치료 시작해 볼까요?
신논현역 치과 에서 말씀드렸듯이
최소 삭제로 진행하면서
루시네이트를 제작해 드리고 있는데요.
개인마다 삭제량은 소이 할 수 있지만
최소한으로 도와드리고 있습니다.
빠르게 진행하길 원하셔서 곧장
도포 마취부터 했습니다.
함께 소통하고 의논하며
루시네이트 색조를 선정했는데요.
환자는 이왕 하는 거 조금 더 밝은 색조를 원하셔서
원내 기공소에서 맞춤형 보철을 제작했습니다.
루시드의 라미네이트 🌷 🌷예뻐지기 위해 하는 라미네이트, 그런데 소중한 내 치아를 일부 깎아내고 해야 된다는 사실 알고 계셨...
blog.naver.com
- 루시네이트 부착

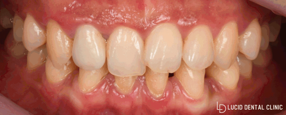
사진과 같이 치료를 종료했는데요.
이렇게 전후만 봐도 삐뚤빼둘하고
작아서 속이 보이던 치아는 없는데요.
이 과정이 하루 만에 끝났다면 믿으시겠습니까?
환자는 못 믿으셔서 진짜 끝난 거냐면
여러 번 여쭤봤는데요.
네 당일에 끝났습니다❗❗❗
(댑악...)

밝은 색조와 튼튼한 보철로 심미뿐만 아니라
기능까지 한 단계 업그레이드할 수 있었습니다.
마치며
물론 자연치뿐만 아니라 보철 역시
관리가 중요하단 점, 알고 계시죠?
보철이라 해도 관리를 소홀히 한다면
치아 변색은 또다시 나타날 수 있습니다.
그러니 음식을 드시면 빠른 양치질로 변색을
예방할 수 있기를 당부드렸습니다.
더불어 정기 검진을 병행한다면
더 긴 보철 수명과 구강 건강에
더할 나위 없이 좋겠죠?
늘 건강한 구강으로 오랫동안 보존하길 바랍니다.
신논현역 치과 가 준비한
특별한 루시네이트 수복 사례,
이만 마치겠습니다.
루시드치과의원 서울특별시 강남구 논현로111길 3 상가 1층 101, 102A

Explore More
Keep Browsing This Clinic's Korean Content Trail.
Return to the source archive for more posts, or move back to the clinic profile to compare the rest of the clinic's public channels.