루시드치과의원 LUCID Dental Clinic ルシード歯科 露西得牙科医院 LUCINATE ルシネート
선정릉역 치과 에서 불규칙한 치열까지 루시네이트(라미네이트)로 바꿀 수 있다?
루시드치과의원 서울특별시 강남구 논현로111길 3 상가 1층 101, 102A 우리는 식사할 때 위아래로만 저작하지 않습니다. 우리가 주로 음식을 어금니 교합면쪽으로 가져가 거기서 위아래뿐만 아니라 옆으로 맷돌처럼 갈아서 저작하는데요. 그렇게 저작하여 큰 덩어리가 다음 소화기관에 넘어가지 않도록 1차로 잘게 부셔...
루시드치과의원 서울특별시 강남구 논현로111길 3 상가 1층 101, 102A
우리는 식사할 때 위아래로만
저작하지 않습니다.
우리가 주로 음식을
어금니 교합면쪽으로 가져가
거기서 위아래뿐만 아니라 옆으로
맷돌처럼 갈아서 저작하는데요.
그렇게 저작하여
큰 덩어리가 다음 소화기관에 넘어가지 않도록
1차로 잘게 부셔서 넘겨줍니다.
그리고 앞니는 자르는 컷팅 역할을 하는데요.
앞니중 견치라고 부르는
뾰족한 치아가 있습니다.
견치는 뾰족해 질긴 음식을 찢어주는 역할도 하죠.
또 견치는 다른 큰 역할을 담당하는데요.
견치유도교합 및 군기능교합(Group Function)
구강속 에서 측방 저작운동에서
중심에 서서 가이드가 되어주는 역할을 합니다.
이와같은 문제점을 루시네이트로
치료한 모습 같이 보겠습니다.
초진
"앞니가 떠 보여서 보기 안 좋아요."
위와 같은 주소로 내원하셨는데요.
먼저 구강 카메라로
같이 보겠습니다.

사진을 보면 떠있는 치아와
견치도 제 역할을 못하는 걸 볼수 있는데요.
이럴 경우 뒤에 있는 어금니가
더 많은일을 하게 되어서 어금니뿐만 아니라
나중에는 턱관절까지 아플수 있습니다.
그리고 두 번째 치아가 떠 보여서
안에 거뭇한 공간이 보이는 심미적 문제 때문에
거울을 볼 때마다 신경 쓰이셨다는데요.
선정릉역 치과 에 찾아오셨으니
얼른 예쁘게 맞춰드려야겠습니다.
네이버 톡톡 궁금할 땐, 부담없이 물어보세요.
talk.naver.com
치료계획, 어떻게 세울까요?
어떻게 치료하고 싶은지,
환자의 니즈를 알기 위해
많은 대화를 했는데요.
환자께서는 기능과 심미 둘 다
개선 의사를 밝혀주시고 믿고 맡겨주셨습니다!!

선정릉역 치과 에서는 의료진이
더 자세한 계획을 세우고 시작했습니다.
무삭제 또는 필요한 부분은 최소로 다듬은 후,
인상 채득을 진행했습니다.
인상 채득은 구강 조직을 모형으로 만들기 위해
본드는 작업을 얘기합니다!
선정릉역 치과 에서는
형태와 색, 배열을 고려하여
환자 개인 맞춤형 루시네이트 제작에
들어가게 됩니다.
그 후 환자를 모시고
체어에서 모시고 루시네이트를 수복했는데요...!!

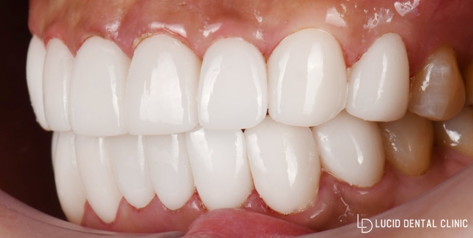
짜잔 마무리하고 난 모습을 찍어 봤습니다~

어떤가요?
환자께서는 앞니이니만큼
밝은색을 원하셔서 스마일라인으로 보이는
치아들은 밝게 만들어 드렸고

그리고 기능적인 측면도 다 고려하면서
체크를 했습니다.
선정릉역 치과 에서 치료가 종료된 후 환자꼐서는
거울을 내려놓지 못하고 계속 보셨습니다.
뿌듯...^^
보철도 자연치 처럼 변색이 나타날 수 있다는 점,
여러분은 알고 계셨나요?
카레나 커피 등 쉽게 착색을 일으키는
음식 섭취를 자제하는 것이 좋고,
주기적으로 선정릉역 치과 에
방문하셔서 체계적인 관리를 함께
받아 수명을 늘리는 것이 좋습니다.
오늘 가져온 증례는 여기서 마무리됐는데요.
관련하여 궁금하거나
질문하고 싶은 사항이 있다면
언제든 본원으로 연락 보내주세요.
저는 그럼 다음 게시글로 돌아와 다시 인사드릴게요.
지금까지 선정릉역 치과 박현민 원장이었습니다.
끝까지 특별한 루시네이트와
함께 해주셔서 감사합니다.


Explore More
Keep Browsing This Clinic's Korean Content Trail.
Return to the source archive for more posts, or move back to the clinic profile to compare the rest of the clinic's public channels.