루시드치과의원 LUCID Dental Clinic ルシード歯科 露西得牙科医院 LUCINATE ルシネート
강남역 치과추천 치경부 마모증 및 상처가 많은 치아, 루시네이트로 치유해 드려요.
루시드치과의원 서울특별시 강남구 논현로111길 3 상가 1층 101, 102A 날이 더워지는 계절인 만큼 음료들에서 차가운 온도를 찾는 경우가 늘고 있습니다. 차갑거나 뜨거운 음식을 섭취하다가 치아가 시린 증상을 느낀 분들이 종종 계시는데요. 이럴 때 증상이 지속되고 일상생활에 불편함을 준다면 강남역 치과 에서...
루시드치과의원 서울특별시 강남구 논현로111길 3 상가 1층 101, 102A
날이 더워지는 계절인 만큼
음료들에서 차가운 온도를
찾는 경우가 늘고 있습니다.
차갑거나 뜨거운 음식을 섭취하다가
치아가 시린 증상을 느낀 분들이 종종 계시는데요.
이럴 때 증상이 지속되고
일상생활에 불편함을 준다면
강남역 치과 에서는
빠른 내원을 하시는 걸 추천 합니다.
오늘은 이시림 증상, 치경부 마모증(CA)의 원인과
루시네이트로 해결하는 과정 함께 보겠습니다.
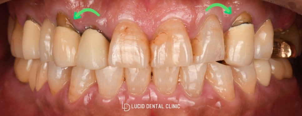
초진
"이가 너무 시려요."
시림 증상과 함께 심미 개선을 하고 싶어서
강남역 치과추천 을 받고 오셨는데요.
사진 한번 보겠습니다.

치경부마모증은 치주, 치아 표면의 경계 부분이
마모된다는 뜻입니다.
영구치가 치주의 경계면이 닳아서
점차 공간이 생기게 되면서
시림이 생기는 것입니다.
해당 부위에 차갑거나 뜨거운 음식,
차가운 공기가 지나가도 불편한 느낌이
들게 되는 것이죠.
왜 생기는 건가요?
- 잘못된 칫솔질 습관
뻣뻣한 칫솔모를 사용하거나
강하게 힘을 주면서 좌우로만
칫솔질하면 치아 부분이 빨리 마모될 수 있습니다.
- 교합력에 의한 마모
오징어 등 질기거나 단단한 음식을
자주 먹거나 평소에 이갈이 습관 등
구강 악습관이 있는 경우 치아에
힘이 많이 가해지고 이에 따라 치아가 미세하게
떨어져 나가는 현상이 생깁니다.
- 산(Acid) 성분을 자주 섭취
과일 주스나 스포츠음료 등
산성을 띠는 음료의 잦은 섭취나
잦은 구토 등으로 산이나 위액과
접촉하는 경우에는 치아의
단단한 조직이 닳게 됩니다.
치료
두 가지 방법이 있습니다.
1️⃣ 레진 치료
마모된 치아 부위를
레진으로 복원할 수 있습니다.
치료 기간이 짧고 치아와 색조가
비슷하다는 장점이 있으나 레진과 치아 틈에
이차우식이 생기는 경우가 많이 있습니다.
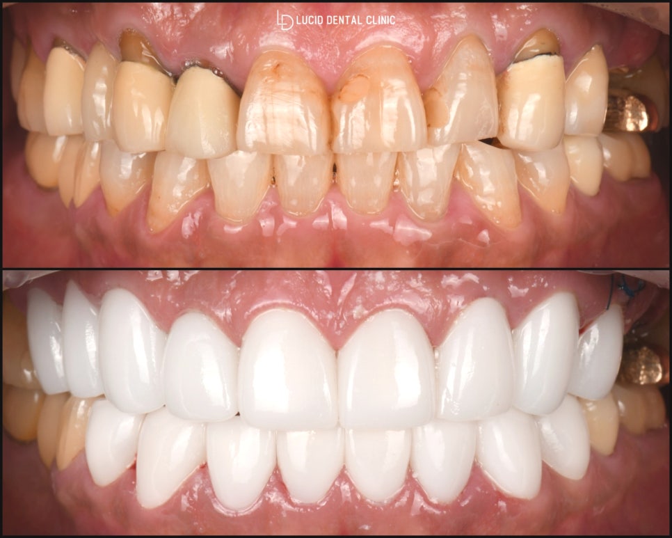
2️⃣ 루시네이트(라미네이트)
루시드의 라미네이트 🌷 🌷예뻐지기 위해 하는 라미네이트, 그런데 소중한 내 치아를 일부 깎아내고 해야 된다는 사실 알고 계셨...
blog.naver.com
루시네이트로 치아 시림이나 손상에 대한 부분을
최소화하며 마모증 치료 외에도
단기간에 심미적인 개선까지 할 수 있습니다.
일석이조!!

강남역 치과 추천 에서는 환자와 충분한 소통을
나누고 루시네이트로 선택하였습니다.
루시네이트란?
✅ 변색 혹은 깨진 치아
✅ 고르지 않은 치열
✅ 블랙 트라이앵글
이렇게 다양한 문제점이 나타난
앞니를 교정 없이 무삭제 혹은 최소 삭제로
빠르게 수복하는 심미보철입니다.
강남역 치과추천 에서는 바쁜 분들을 위해
원데이로 루시네이트 진행이 가능한데요.
당일 자체기공실에서 0.1mm 두께로
섬세히 제작하고 있습니다.
루시네이트 부착
강남역 치과추천 에서오직
이 분만을 위해 꼼꼼하게 제작한
세상에 단 하나뿐인 루시네이트를
부착해 드렸습니다.

치아의 전체 톤과 마모증이 있던 부위까지
깔끔하게 없어진 걸 관찰할 수 있습니다.
여기저기 착색되어 있던 부분도 깔끔해졌는데요.
너무 예쁘게 잘 되었어요!!
이제 손으로 안 가리고
웃어도 될 거 같아요.
환자께서
거울 속의 모습을 확인한 후
저희에게 주신 말씀입니다!
-
고르지 못한 치열
-
벌어진 앞니
-
깨지거나 마모된 치아
-
크기가 다른 전치
강남역 치과 에서
하루 만에 루시네이트로
해결하는 걸 추천 드립니다.
긴 글 읽어주셔서 감사합니다.
강남역 치과추천 이었습니다.
네이버 예약 :: 루시드치과의원 안녕하세요 [ 연예인 ] [ 인플루언서 ] [ 아이돌 ] [ 미인대회 ] 출신자들에게 사랑받는 강남 치과 루시드입니다 :) 저희 루시드 치과는 심미성과 기능 모두를 생각한 치과치료를 지향하고 있습니다 환자분들이 저희 치과에 오시기까지 수 많은 고민을 하셨다는 걸 정말 잘 알고 있습니다. 따라서 루시드에서는 최소한의 치료로 최대의 만족과 결과를 안겨드릴 수 있도록 노력하고 있습니다. 치아와 잇몸은 최대한 건드리지 않는 것이 가장 좋은 치료 방법입니다. 자연치를 지키면서 할 수 있는 방법을 최우선으로 하며, 치료시에도 자연치 손상을 적...
m.booking.naver.com
네이버 톡톡 궁금할 땐, 부담없이 물어보세요.
talk.naver.com

Explore More
Keep Browsing This Clinic's Korean Content Trail.
Return to the source archive for more posts, or move back to the clinic profile to compare the rest of the clinic's public channels.