루시드치과의원 LUCID Dental Clinic ルシード歯科 露西得牙科医院 LUCINATE ルシネート
서초동 치과 "라미네이트 치료 언제 필요할까?" 변색된 치아 루시네이트로 깔끔한 변신
서초동 치과 에서 대부분의 많은 분들께서 라미네이트 보철치료를 원하시는 이유는 앞니의 형태, 배열의 문제가 있을 때 심미적으로 개선하기 위해 치료 진행을 원하시는 분들이 많이 계실 거로 생각합니다. 개개인 환자분들에 구강 상태 및 구조에 따라 적합한 치료 방법이 달라질 수 있기 때문에 우선 정확하게 진단을 받아...

서초동 치과 에서 대부분의 많은 분들께서
라미네이트 보철치료를 원하시는 이유는
앞니의 형태, 배열의 문제가 있을 때
심미적으로 개선하기 위해 치료 진행을
원하시는 분들이 많이 계실 거로 생각합니다.
개개인 환자분들에 구강 상태 및 구조에 따라
적합한 치료 방법이 달라질 수 있기 때문에
우선 정확하게 진단을 받아주신 후에
적합한 방법으로 개선하는데
도움을 받아주시는 것이 중요합니다.
라미네이트 언제 필요할까요?
✅선천적으로 치아가 작거나 큰 분
✅치아 사이 벌어진 공간이 있는 분
✅오래된 보철물 교체가 필요하신 분
✅심한 변색으로 미백이 불가능한 경우
✅앞니가 부러진 경우
크게 보면 이럴 때 라미네이트 치료가 필요합니다,
서초동 치과 에서는
오늘 소개해 드리는 환자는 심한 변색으로
루시네이트 치료를 받으셨는데요.
한번 같이 보겠습니다.
루시드치과의원 안녕하세요 행복을 드리는 루시드치과 입니다^^
pf.kakao.com
초진
"뾰족하고 누런 치아 바꾸고 싶어요."
환자께서는 위와 같은 주소를 말씀할 때
보니 자꾸 손으로 입을 가리셨습니다.
문진을 진행하면서
자세히 여쭤보니,
앞니가 부끄럽다며
가리는 습관이 생겼다고 하셨습니다.
정확한 진단을 위해
사진 한번 보겠습니다.

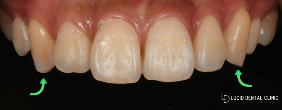
전체적으로 변색은 되어있지만
표시해 둔 치아는 확 튀게
뾰족하고 변색도 심한 게 보이는데요.
자연스러움이 있어야 하는
구강 안에는 개성이 강한 치아가 있어
조금 부자연스러움이 연출되고 있었습니다.
이는 사람들과 의사소통할 때도
소심한 자세와 위축된 모습을 보여
자신감도 떨어지게 될 수 있는데요.
서초동 치과 는 주소를 토대로
환자의 구강 환경을 자세히
알아보고 함께 치료 계획을 수립하기로 했습니다.
네이버 톡톡 궁금할 땐, 부담없이 물어보세요.
talk.naver.com
루시네이트 수복
서초동 치과에서 환자와 충분한 의논 끝에
루시드만의 특별한 루시네이트를
수복해 드리기로 했는데요.
루시네이트는
다른 곳과 달리 "최소 삭제"라는
포인트에 중점을 두고 있는데요.

표면을 0.1mm 두께로 '얇게'
다듬어 주고 그만큼 정교하게
제작해 드리고 있습니다.
다시 말해서, 보다 기존 자연치를
보존이 가능하다는 장점이 있죠.
게다가 서초동 치과 는 원내 기공소를 통해
단 하루면 보철 제작을 완료해 드리고 있는데요.
빠르면서, 아름다운 앞니를 얻어 갈 수 있어
높은 만족도를 보여줍니다.
루시네이트 결과 같이 볼까요?

이렇게 초진 구내 모습과 비교하니
일정한 색조와 대칭되어
자연스러운 치아들을 볼 수 있습니다.
심미적인 부분에서 크게 향상된
환자는 너무 만족스럽다는 후기를 들려주셨습니다.
설명해 드린 대로 단 하루 만에
시술을 마쳤으며, 원하시던 밝은 색조와
형태로 제작해 드렸습니다.
끝으로 루시네이트 관리의 중요성에 대해
다시 한번 설명해 드리고 마쳤습니다.
1️⃣ 구강 위생 관리
치실, 워터픽 등과 같은
위생용품 병행하면서 관리하기
2️⃣ 식습관 및 악습관 개선
카레, 콜라, 커피 착색 심한 식품은 피해주기
3️⃣ 흡연 자제
니코틴은 착색 발생 가능성을 높이므로 피해주기
이 부분에 대해서 자세한 정보는
아래 링크 첨부해 드리니 참고 부탁드립니다.
강남논현동치과 라미네이트 수명 늘리는 관리 꿀팁 공개! 오늘은 라미네이트 수명 더욱 늘릴 수 있는 관리법에 대해 자세하게 알려드릴까 합니다. 👇👇 라미네이...
blog.naver.com
긴 글 읽어주셔서 감사합니다.
서초동 치과 대표원장 박현민이었습니다.

Explore More
Keep Browsing This Clinic's Korean Content Trail.
Return to the source archive for more posts, or move back to the clinic profile to compare the rest of the clinic's public channels.