루시드치과의원 LUCID Dental Clinic ルシード歯科 露西得牙科医院 LUCINATE ルシネート
역삼동 치과 앞니 치아 벌어짐, 한 번에 개선할 수 있는 루시네이트 시술 후기
궁금할 땐 네이버 톡톡하세요! 루시드치과의원 서울특별시 강남구 논현로111길 3 상가 1층 101, 102A Q. 정중 이개란? A. 정중 이개는 다른 말로 치간 이개 라고도 불리고 있으며 두 개의 전치부 인접면 사이가 벌어진 증상을 의미하는데요 위와 같은 앞니 벌어짐이 일상 생활에서 심미적인 부분으로 문제를 일으...
궁금할 땐 네이버 톡톡하세요!
루시드치과의원 서울특별시 강남구 논현로111길 3 상가 1층 101, 102A
Q. 정중 이개란?
A. 정중 이개는 다른 말로
치간 이개 라고도 불리고 있으며
두 개의 전치부 인접면 사이가
벌어진 증상을 의미하는데요
위와 같은 앞니 벌어짐이
일상 생활에서 심미적인 부분으로
문제를 일으킬 수 있지만
이는 곧 기능적인 부분으로도
크게 악영향을 미칠 수 있습니다.
앞니 벌어짐은
벌어진 정도에 따라
레진 혹은 보철 수복
혹은 교정 치료를 통해
개선할 수 있는데요
오늘은 본원에서 동일한 문제를
[루시네이트] 로 해결해 드렸던 사례
하나를 가지고 얘기 나눠볼까 합니다.
어떤 주소를 가지고 내원하셨는지
지금부터 저와 함께 알아보러 갈까요?
"여기 위쪽 앞니가
다른 치아랑 비교했을 때
유독 벌어진 것 같아서요."
환자께서 다른 치아와 비교헀을 때
앞니가 유독 벌어진 것 같다는 주소로
역삼동 치과 에 내원해 주셨는데요
우선 구강 카메라로
초진 구내 모습을 촬영하며
전체 구강 검진을 시행한 뒤,
정확한 문제점을 파악하고 나서
함께 의논하기로 얘기 마쳤습니다.
환자께서 주소로 말씀해 주신 부분을
확대하여 조금 더 자세히 관찰해 봤는데요

표시해 드린 것처럼
다른 치아와 비교헀을 때
인접면 사이가 벌어지며
정중 이개의 형태를
보이고 있었습니다.
이렇게 치아 인접면 사이가
눈에 띄게 벌어져 있는 경우,
음식물 잔사가 쉽게 낄 수 있고
이는 곧, 충치 및 염증 조직이
발생할 확률이 높아지게 되는데요
추가로 시린 증상뿐만 아니라
심미적인 불편함을 줄 수 있어,
역삼동 치과 에선 가까운 시일 안에
치료받으시길 권유해 드리고 있습니다.
위 검진 결과를 바탕으로
치료 계획을 의논해 봤는데요
초반에 설명해 드렸던 것과 같이
역삼동 치과 에서 해당 문제를
해결할 수 있는 방법으로는
레진 / 보철 / 교정 / 루시네이트
총 4가지로 나눠볼 수 있습니다.
그러나, 각각 가지고 있는 치료의
장단점을 잘 비교해 보셔야 되는데요
| 구분 | 레진 | 보철 |
|---|---|---|
| 장점 | 빠른 치료 기간 | 심미성 ⬆⬆ |
| 단점 | 변색 가능성 O | 치아 삭제량 多 |
| 구분 | 교정 | 루시네이트 |
|---|---|---|
| 장점 | 적은 치아 삭제 | 심미성 ⬆⬆ |
| 단점 | 치료 기간이 길다. | 파절 가능성 O |
항상 동일하지 않고 개인이 가지고 있는
구강 환경에 따라 다를 수 있다는 점,
미리 안내해 드리니 참고 바랍니다 :)
루시드의 라미네이트 🌷 🌷예뻐지기 위해 하는 라미네이트, 그런데 소중한 내 치아를 일부 깎아내고 해야 된다는 사실 알고 계셨...
blog.naver.com
✅ 결론부터 말씀드리자면
환자께선 역삼동 치과 에서 시행하는
[루시네이트] 를 직접 선택하셨는데요
역삼동 치과 루시네이트 시술은
다른 곳과 달리 두 가지 비밀을
가지고 진행되고 있습니다...!
그 비밀, 오늘 여러분께만
살짝 알려드리려고 하는데요 ㅎㅎ
그건 바로, 본원에서는
세렉(Cerec) CAD/CAM
시스템 밀링기를 보유하고 있어,
빠르고 정밀한 라미네이트
보철을 제작할 수 있습니다!
게다가, 기존 라미네이트 시술과는 다르게
치아 표면을 약 0.1mm 얇은 두께만 제거하고
동일한 두께(0.1mm)의 보철을 제작하여
시술 부위에 부착해 드리고 있습니다!
쉽게 얘기하면, 다른 곳과 달리
0.1mm의 얇은 치아 삭제량과
0.1mm 두께의 얇은 라미네이트
보철을 제작해 드린다는 것이죠.
위와 같은 장점을 가지고 있어,
단 하루만에 빠르고 정교한 보철 제작이
가능하다는 점도 말씀드리고 싶습니다 :)

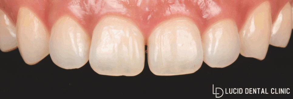
역삼동 치과 루시네이트
최종 부착 후 모습입니다!
어떠신가요?
치료 부위를 표시해 두지 않으면
어디에 치료를 받았는지 모를 정도로
자연스럽게 잘 나온 것 같습니다 ㅎㅎ
+) 지금 이 사진을 지인 혹은 가족분께
보여드리며 서로 퀴즈를 한 번 내보세요 :)
만약, 루시네이트 부위를
한 번에 맞추지 못하셨다면
역삼동 치과 가 라미네이트
시술을 생각보다 꽤 잘하는구나!
라고 생각해 주시면 될 것 같습니다 ㅎㅎ
그렇다면 과연
역삼동 치과 루시네이트
치료 부위는 어디일까요!?
정답은 바로...
.
.
.
.
.

이곳이었습니다! ㅎㅎ

초진 모습과 비교한 GIF 를 보시면
그 차이점을 확연히 아실 수 있을 겁니다.
오늘 제가 소개해 드렸던
루시네이트 시술 후기는
여기까지 하도록 하겠습니다!
예약 문의는 아래
첨부해 드린 링크를
참고해 주시면 되겠습니다!
+) 더 궁금한 내용이 있으시면
본원으로 연락 부탁드립니다 :)
오시는 길 및 진료시간 안내 📍 📍 주소 서울 강남구 논현로111길 3, 상가 101, 102A 대로변 1층에 위치하여 있으며 9호선 언주역 2번출...
blog.naver.com

Explore More
Keep Browsing This Clinic's Korean Content Trail.
Return to the source archive for more posts, or move back to the clinic profile to compare the rest of the clinic's public channels.