루시드치과의원 LUCID Dental Clinic ルシード歯科 露西得牙科医院 LUCINATE ルシネート
앞니 치아 변색, 강남역 치과 에서 하루만에 해결한 라미네이트 후기
루시드치과의원 서울특별시 강남구 논현로111길 3 상가 1층 101, 102A 루시드치과의원 안녕하세요 행복을 드리는 루시드치과 입니다^^ pf.kakao.com 안녕하세요 강남역 루시드 치과 대표원장 박현민입니다. "치아 색깔이 이상해요." 라는 주소를 가지고 본원에 내원하시는 환자분들이 많은데요 이는 치아가 착색...
루시드치과의원 서울특별시 강남구 논현로111길 3 상가 1층 101, 102A
루시드치과의원 안녕하세요 행복을 드리는 루시드치과 입니다^^
pf.kakao.com
안녕하세요
강남역 루시드 치과
대표원장 박현민입니다.
"치아 색깔이 이상해요."
라는 주소를 가지고
본원에 내원하시는
환자분들이 많은데요
이는 치아가 착색 혹은 변색된 것으로,
다양한 원인에 의해 나타나곤 합니다.
1️⃣ 착색 및 변색을 비교적 쉽게
일으키는 식품을 자주 섭취하거나
(커피, 콜라, 와인 등)
2️⃣ 잦은 흡연으로 인한 니코틴 착색 또는
치아 내부 조직의 손상으로 인한 변색 등,
3️⃣ 구강 악습관에 의해서도
쉽게 나타날 수 있는 증상인데요
이를 개선하기 위해선
일찍이 정기 검진을 받으며
전문가 관리를 시행하거나,
보철 수복(인레이, 크라운 등)
혹은 라미네이트 시술 등을 통해
기존 치아 모습을 되찾을 수 있습니다.
오늘은 이 중에서
후자인 라미네이트 시술을 통해
개선했던 환자의 사례를 가지고
함께 얘기 나눠볼까 해요 :)
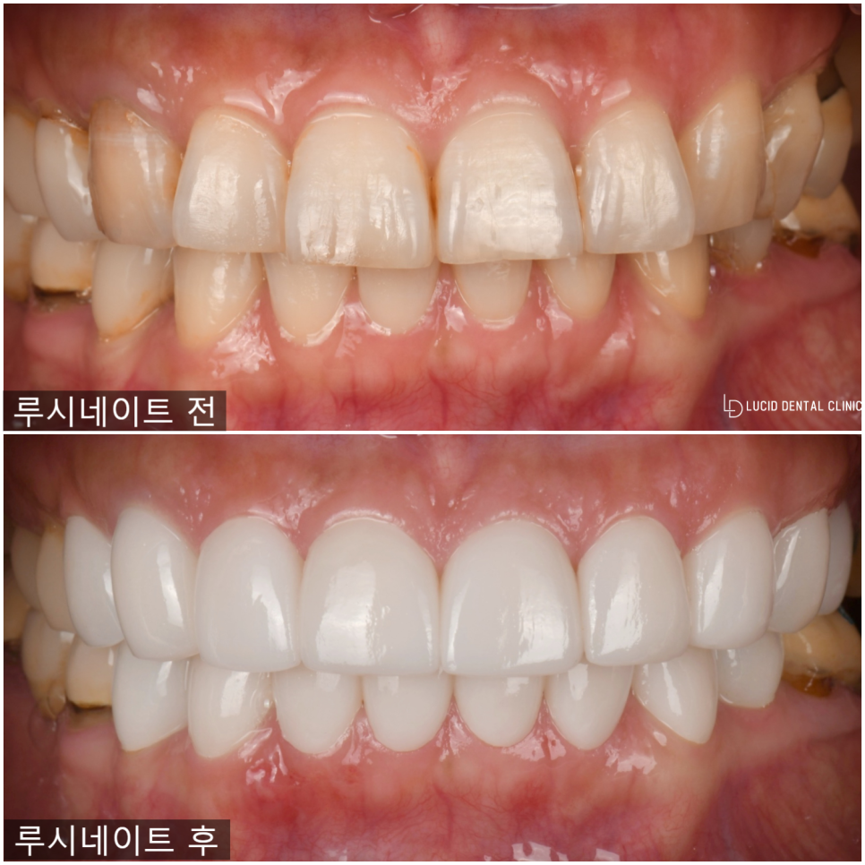
그럼, 환자의 초진 모습부터 보겠습니다.

"유독 치아가 많이 누렇고
옆에 있는 치아랑 색 차이가 심해서
자신감이 많이 떨어지더라고요."
환자께서 위와 같은 주소를 말씀하시며
빠른 시일 내로 해결하길 원하셨는데요
자신감이 떨어졌다는 말이 사실인 듯,
입을 가린 채 저에게 고민을 털어놔주셨습니다.
그도 그럴 것이, 앞니 치아는
어금니와 다르게 앞부분에 위치하고 있어
상대방의 눈에 쉽게 들어오는 치아인데요
위치상, 식사를 하거나 대화를 나눌 때
잘 보일 수밖에 없는 위치이기 때문에
이렇게 변색된 치아를 가지신 분들은
심미적인 스트레스를 받을 수 있습니다.
강남역 치과 는 곧장 환자와 함께
상담을 진행하며 치료 계획에 관한
이야기를 나눠봤는데요
✅ 치아 미백 시술
✅ 크라운 보철 수복
✅ 라미네이트 시술
총 3가지의 선택지가 있었으나,
환자께서 적극적으로 라미네이트 시술
즉, 루시네이트를 받길 원하셨습니다.
선택하신 이유에 대해 여쭤보니
지인분께서 이미 강남역 치과 에 오셔서
라미네이트 시술을 받아보셨다고 하는데요
하루만에 시술을 마칠 수 있다는 점과
변색&크기 불일치를 동시에 개선할 수 있다는 점이
마음에 들었다고 말씀해 주셨습니다.
환자께서 말씀하신 대로
강남역 치과 의 루시네이트 시술은
[세렉(Cerec) CAD/CAM 시스템]
밀링기기를 보유하고 있기 때문에
빠르고 정밀한 보철 제작이 가능합니다.
게다가 본원에서는 무엇보다
자연치 보존을 우선으로 하고 있어,
치아 표면 삭제시, 약 0.1mm 만큼의
두께만 다듬어서 부착해 드리고 있는데요
보철 역시 0.1mm 의
두께로 제작되기 때문에
보다 가볍고 자연스럽게
시술을 마칠 수 있습니다.
그럼, 강남역 치과 의
루시네이트 결과를 한 번
사진으로 알아볼까요?

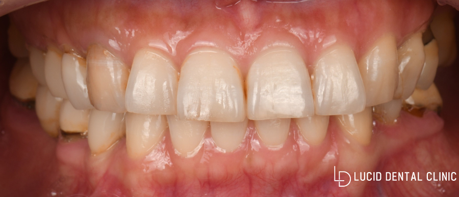
시술 종료 후 촬영한
구내 포토 정면샷입니다!
환자께서 기존 치아 색상보다
조금 더 밝게 제작되길 원하셔서
함께 Shade guide 를 통해
보철 색조를 선정하였는데요

환자께서 너무 만족스럽다며
하루만에 끝난 게 믿기지 않는다는
후기를 들려주고 가셨습니다 :)

아무리 라미네이트
시술을 받았다고 하더라도
사후 관리를 제대로 시행하지 않으면
같은 문제가 또다시 나타날 수 있습니다.
예쁘게 마음에 드는 색상으로 바꿨는데
또 다시 변색해 버리면, 얼마나 속상해요
그러니 만약, 라미네이트
시술을 받으신 분들이 계신다면
그 모습 그대로 유지할 수 있도록
사후 관리와 정기 검진 잊지 말고
꾸준히 받아주시길 바랍니다 :)
지금까지 강남역 치과 의
루시네이트 시술 후기였습니다!
저는 더 좋은 사례를 가지고
다음 글에서 다시 만나도록 해요 ㅎㅎ
그럼, 오늘도 좋은 하루 보내세요!
루시드의 라미네이트 🌷 🌷예뻐지기 위해 하는 라미네이트, 그런데 소중한 내 치아를 일부 깎아내고 해야 된다는 사실 알고 계셨...
blog.naver.com
네이버 예약 :: 루시드치과의원 안녕하세요 [ 연예인 ] [ 인플루언서 ] [ 아이돌 ] [ 미인대회 ] 출신자들에게 사랑받는 강남 치과 루시드입니다 :) 저희 루시드 치과는 심미성과 기능 모두를 생각한 치과치료를 지향하고 있습니다 환자분들이 저희 치과에 오시기까지 수 많은 고민을 하셨다는 걸 정말 잘 알고 있습니다. 따라서 루시드에서는 최소한의 치료로 최대의 만족과 결과를 안겨드릴 수 있도록 노력하고 있습니다. 치아와 잇몸은 최대한 건드리지 않는 것이 가장 좋은 치료 방법입니다. 자연치를 지키면서 할 수 있는 방법을 최우선으로 하며, 치료시에도 자연치 손상을 적...
m.booking.naver.com

Explore More
Keep Browsing This Clinic's Korean Content Trail.
Return to the source archive for more posts, or move back to the clinic profile to compare the rest of the clinic's public channels.