루시드치과의원 LUCID Dental Clinic ルシード歯科 露西得牙科医院 LUCINATE ルシネート
논현동 교정없이 라미네이트로 벌어진 앞니 하루 만에 개선한 후기
안녕하세요. 벌어진 앞니 하루 만에 바꿔드리는 논현동 치과 대표원장 박현민입니다. 웃을 때 드러나는 가지런한 치열은 사람의 첫인상을 결정하는데 많은 영향을 준다는 사실 알고 계시나요? 하지만 앞니에서도 깨짐, 변색, 벌어짐, 왜소치 같은 여러 가지 문제가 나타날 수 있습니다. 앞니 사이에 틈이 있으면 발음이 새곤 하죠...
안녕하세요.
벌어진 앞니 하루 만에 바꿔드리는
논현동 치과 대표원장 박현민입니다.
웃을 때 드러나는 가지런한 치열은
사람의 첫인상을 결정하는데
많은 영향을 준다는 사실 알고 계시나요?
하지만 앞니에서도 깨짐, 변색, 벌어짐, 왜소치 같은 여러 가지 문제가 나타날 수 있습니다.
앞니 사이에 틈이 있으면 발음이 새곤 하죠.
오늘은 이 중에서 '앞니 벌어짐'을 하루 만에 개선한 사례를 소개해 드리겠습니다.

벌어진 앞니의 원인은?
벌어진 앞니의 첫 번째 원인으로는
유전적인 요인이 존재합니다.
선천적인 요인은 치아나 악궁의 형태, 크기 등의
이상으로 발생하게 됩니다.
치아의 크기가 작은 왜소치
또는 아예 없는 결손치,
영구치에 비해서 악궁이 지나치게 넓거나 큰 경우 등
기타 유전적인 영향으로 인해
안타깝게도 예방하는 데 한계가 있는 요인입니다.
후천적인 요인 중 가장 대표적인 것은
바로 나쁜 습관인데요.
습관적으로 손가락을 빨거나
혀로 치아를 지속적으로 미는 것과 같은 행동은
치열의 변형에 큰 영향을 끼칩니다.
이와 같은 행동은 치아가 앞으로 뻐드러지거나
벌어지는 문제가 유발될 수 있습니다.
또한 충치 및 치주 질환에 의해
앞니 벌어짐 증상이 나타나기도 합니다.
Diastema (다이아스테마)
치의학적 용어로 치아 사이가
벌어진 형태를 뜻하는 단어입니다.
치간이개, 치간공극으로도 불리는 증상의
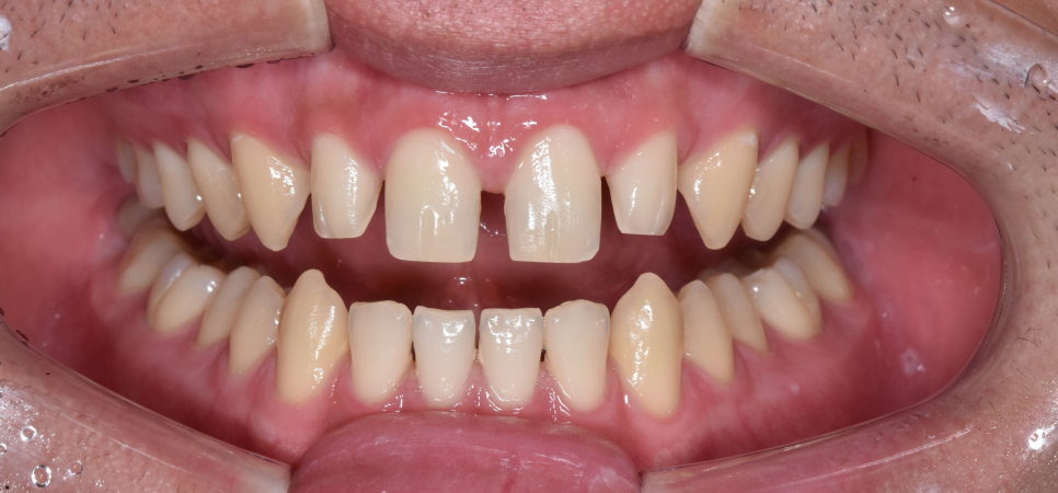
환자분께서 논현동 치과를 내원하셨습니다.
이번 사례의 환자분 초진 구내 모습입니다.

위와 같이 위턱 앞니에
벌어진 까만 공간이 보이고 있습니다.
이렇게 눈에 띄는 벌어진 앞니,
즉 치간이개는 인접변 사이를
제대로 관리하기 어려워
충치 및 치주 질환이 생기기 쉽습니다.
찬 음식을 먹거나, 찬 바람이 들어왔을 때
시린 증상도 크게 느낄 수 있어 빠른 시일 내로
개선하는 것을 권유해 드리고 있는데요.
환자분께서는 점점 더 눈에 띄는 벌어진 앞니에
시린 증상이 나타나고 있다며
빠르게 개선하기를 원하셨습니다.
따라서, 논현동 치과는 환자와의
충분한 상담과 진찰 끝에
단 하루 만에 끝날 수 있는
라미네이트 시술, 루시네이트를
진행하기로 결정했습니다.
진행된 논현동 치과의
라미네이트 시술을 설명해 드리겠습니다.
본원에서 시행하고 있는 방식으로
치아 표면의 지저분한 부분만 살짝 정리하고
제작을 진행하였습니다.
https://blog.naver.com/teethlucid/223097660108
루시드의 라미네이트 🌷 🌷예뻐지기 위해 하는 라미네이트, 그런데 소중한 내 치아를 일부 깎아내고 해야 된다는 사실 알고 계셨...
blog.naver.com
-
많은 양의 치아 보존
-
얇은 보철로 편안한 사용감
두 가지 장점을 느끼실 수 있는데요.
또한 치료 부위마다 Shade guide 를 통해
보철 색조를 함께 선정해 봤습니다.
여기서 신논현역 치과 의
본원에 디지털 CAD/CAM 시스템을 통해
단 하루 만에 보철 제작을 완료할 수 있었습니다.
더불어 빠른 수정 및 재제작도 가능합니다.
환자분과 함께 결정한 색조 그대로
주변 치아와의 조화를 고려하여
맞춤형으로 제작해 봤습니다.

위와 같이 실제 치아와 조화를 이루는 색조로
앞니 벌어짐은 물론 착색과 이상적인 모양으로도
한 번에 개선해 드리며 치료를 마쳤습니다.
논현동 치과는 환자 개인 상황을 고려하여
원데이 시술을 통해
많은 치아 고민을 해결해드리고 있습니다.
언제나 환자를 우선으로 진료하며
가족처럼 정성껏 치료하는
논현동 치과 박현민 대표원장이었습니다.




루시드치과의원 서울특별시 강남구 논현로111길 3 상가 1층 101, 102A
Explore More
Keep Browsing This Clinic's Korean Content Trail.
Return to the source archive for more posts, or move back to the clinic profile to compare the rest of the clinic's public channels.