루시드치과의원 LUCID Dental Clinic ルシード歯科 露西得牙科医院 LUCINATE ルシネート
서초동 치과 - 추천 틀어지고 삐뚤어진 앞니 치아, 교정 없이 라미네이트로 빠르게 개선하기
루시드치과의원 서울특별시 강남구 논현로111길 3 상가 1층 101, 102A 루시드치과의원 안녕하세요 행복을 드리는 루시드치과 입니다^^ pf.kakao.com 다시 돌아온 서초동 치과 의 임상 사례 소개 시간! 많은 분들께서 라미네이트 시술 이후, 어떻게 관리해야 되는지, 뭘 조심해야 되는지 잘 모르시는 분들이 많...
루시드치과의원 서울특별시 강남구 논현로111길 3 상가 1층 101, 102A
루시드치과의원 안녕하세요 행복을 드리는 루시드치과 입니다^^
pf.kakao.com
다시 돌아온 서초동 치과 의
임상 사례 소개 시간!
많은 분들께서 라미네이트 시술 이후,
어떻게 관리해야 되는지, 뭘 조심해야 되는지
잘 모르시는 분들이 많더라고요 ㅎㅎ
그래서 오늘은 라미네이트와 관련된
사례 하나를 가지고 주의 사항부터,
관리는 어떻게 하면 좋을지
간단하게 알아보려고 해요 :)
먼저, 라미네이트 가
정확히 어떤 시술인지,
어떤 과정을 통해 이뤄지는지
간단하게 설명해 드리겠습니다.
라미네이트란?
라미네이트 는 치아 표면을
일정 두께만큼 다듬고 정돈하여
도재로 만든 보철을 부착하는
심미 치료 중 하나를 얘기합니다.
1️⃣ 보통 치아 변색 및 착색으로
심미적인 불편함을 일으키거나,
2️⃣ 치아 모양 및 크기가 불일치하여
치석, 충치 질환 등을 자주 일으키는 경우
빠른 치료 기간을 원하시는 분들께
라미네이트 시술을 권유해 드리고 있습니다.
오늘 제가 여러분께
소개해 드릴 사례 또한
위와 같은 구강 고민을 가진
환자의 치료 사례인데요
과연 이 분께선 어떤 구강 고민을
가지고 본원으로 찾아와 주셨을지
함께 알아보도록 하겠습니다 :)
"제가 위턱 앞니 부분이
조금 틀어져 있어서 사이로
음식물이 잘 끼더라고요.
근데 교정 치료를 받기엔
비용도 그렇고 시간이 오래 걸려서
다른 방법 없을까 싶어서 왔어요."
👆👆👆
위 내용은 환자께서 서초동 치과 에
내원하신 직후, 말씀하신 주소인데요
틀어진 앞니 치아가 고민이었으나,
교정 치료를 진행하기엔 시간 및 비용적
부담이 크게 느껴진다고 말씀하셨습니다.
이러한 경우, 처치할 수 있는 방법으로는
크라운 보철 수복 혹은 라미네이트 시술
이렇게 두 가지로 나눠볼 수 있는데요
자세한 치료 계획은 정밀 진단을
마친 다음, 진단 결과를 바탕으로
함께 얘기 나눠보기로 결정했습니다 :)

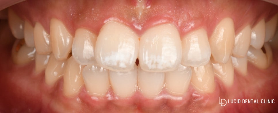
초진 당시 촬영한
구강 정면 모습입니다.
주소로 말씀하신 것처럼
위턱 앞니 치아가 유독 틀어진 각도를
가지고 있었으며, 이로 인해 인접면 사이
공간이 형성되고 있었는데요
이런 식으로 치아 사이 공간이 형성될 경우,
칫솔모가 안쪽까지 제대로 닿지 못할뿐만 아니라
음식물 잔사 및 치석 등이 쉽게 낄 수 있습니다.
쉽게 얘기하자면, 충치 질환이
나타날 가능성이 높다는 것이죠.
위 검진 결과를 토대로 환자와 함께
치료 계획을 수립하며 의논해 봤는데요
크라운 보철 수복을 진행하기엔
깎아내고 삭제될 자연치아의 양이 많아,
보존할 수 있는 부분이 적어지기 때문에
효율적이지 못하다고 판단되었습니다.
아마 타원이었다면, 교정 치료가 안 되니
크라운 보철 수복을 진행헀을 확률이 높죠.
하지만, 서초동 치과 는 자연치 보존을
우선 순위로 두고 있기 때문에 환자께
해당 부분에 대한 의견을 들어봤는데요
환자께서도 치아를 너무 많이
삭제하거나, 깎는 건 싫다고 말씀하시며
라미네이트 시술 을 받고 싶다는
의견을 들려주셨습니다.
[치료 계획 : 서초동 치과 루시네이트]
이렇게 결정하게 되었네요 :)
본원에서 시행하는 루시네이트는
따로 몇 가지 장점을 가지고 있는데요
✅ 적은 자연치 삭제량
앞서 설명해 드린 것처럼
크라운 보철 치료에 비해서도
자연치 삭제량이 적은 편이나,
서초동 치과 의 루시네이트는
cerec CAD/CAM 시스템을 가지고 있어,
보다 얇은 두께의 보철 제작이 가능한데요
그뿐만 아니라 해당 시스템을 통해
✅ 단 하루만에 보철 제작을 마칠 수 있어,
빠르게 치료 기간을 종료할 수 있습니다.
루시드의 라미네이트 🌷 🌷예뻐지기 위해 하는 라미네이트, 그런데 소중한 내 치아를 일부 깎아내고 해야 된다는 사실 알고 계셨...
blog.naver.com

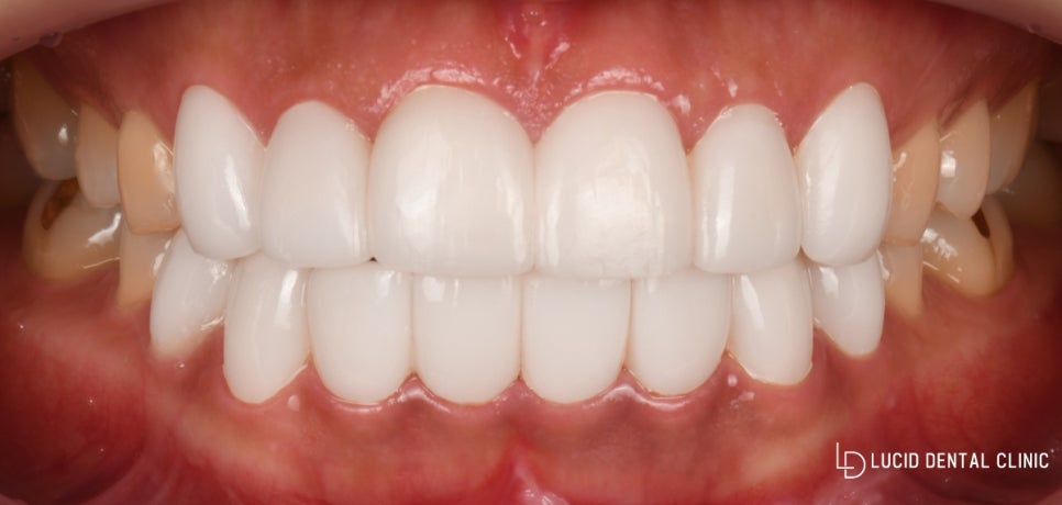
서초동 치과 루시네이트
최종 종료 이후 사진입니다.
교정 치료를 따로 진행하지 않고,
틀어진 각도로 인해 튀어나온 부분만
제거한 다음, 보철을 부착했는데요
단 하루만에 밝아진 색조 및 일정한 형태를
갖추게 되어, 환자께서 크게 만족해 하셨습니다.
+) 최종 보철 색조는 제작 전,
환자와 함께 shade guide 를
이용하여 함께 결정하고 있는데요
환자께서 주변 치아 조직보다
조금 더 밝게 제작하길 원하셔서
요구 사항에 맞춰 제작했습니다 :)

초진 모습과 비교해서 보면
확실히 그 차이점을 알 수 있죠?
오늘의 가장 핵심 포인트!
루시네이트 시술 이후
'어떻게 관리하면 좋을지'에 대해
자세히 알려드리려 하는데요
우선 이와 관련된 내용을 다뤘던
포스팅 하나 공유하도록 하겠습니다.
한 번씩 읽어보는 것을 권유해 드려요 :)
강남논현동치과 라미네이트 수명 늘리는 관리 꿀팁 공개! 오늘은 라미네이트 수명 더욱 늘릴 수 있는 관리법에 대해 자세하게 알려드릴까 합니다. 👇👇 라미네이...
blog.naver.com
아무리, 라미네이트 보철을
부착했다 하더라도 우리 자연치와
마찬가지로 쉽게 영향을 받아
변색 및 착색 혹은 파절 등의
문제를 일으킬 수 있는데요
이를 막기 위해선 구강 관리는 물론,
건강한 식습관을 유지하는 것이 좋습니다.
니코틴 착색을 일으키는
담배! 줄이는 것이 좋고요,
치아 표면에 착색을 쉽게 일으키는
와인, 콜라, 커피 등의 섭취를 줄이시고,
빠른 시간 안에 꼼꼼한 양치질로
변색 및 착색을 예방하시길 바랍니다.
추가로, 정기 검진과 함께
전문가 관리를 꾸준히 받아주면
라미네이트 보철의 수명이
보다 오래 늘어날 수 있곘죠?
이 점, 유의해서 관리하시길 바랍니다!
지금까지 서초동 치과 에서
라미네이트 시술 과 주의 사항에 대해
알아보는 시간을 가져봤는데요
라미네이트 시술을 앞두고 계시거나,
고민 중인 분들께 오늘 이 글이 조금이라도
도움이 되었길 바라며, 마치겠습니다.
긴 글 읽어주신 여러분
모두 진심으로 감사드립니다.
더운 여름, 몸 건강 잘 챙기세요!
✨✨
네이버 예약 :: 루시드치과의원 안녕하세요 [ 연예인 ] [ 인플루언서 ] [ 아이돌 ] [ 미인대회 ] 출신자들에게 사랑받는 강남 치과 루시드입니다 :) 저희 루시드 치과는 심미성과 기능 모두를 생각한 치과치료를 지향하고 있습니다 환자분들이 저희 치과에 오시기까지 수 많은 고민을 하셨다는 걸 정말 잘 알고 있습니다. 따라서 루시드에서는 최소한의 치료로 최대의 만족과 결과를 안겨드릴 수 있도록 노력하고 있습니다. 치아와 잇몸은 최대한 건드리지 않는 것이 가장 좋은 치료 방법입니다. 자연치를 지키면서 할 수 있는 방법을 최우선으로 하며, 치료시에도 자연치 손상을 적...
m.booking.naver.com
루시드 치과 한 눈에 보기👀 의료진 소개 오시는 길 및 진료시간 안내 루시드의 특별함 루시드의 스케일링 루시드의 임플란트 루시드치...
blog.naver.com
루시드의 라미네이트 🌷 🌷예뻐지기 위해 하는 라미네이트, 그런데 소중한 내 치아를 일부 깎아내고 해야 된다는 사실 알고 계셨...
blog.naver.com

Explore More
Keep Browsing This Clinic's Korean Content Trail.
Return to the source archive for more posts, or move back to the clinic profile to compare the rest of the clinic's public channels.