루시드치과의원 LUCID Dental Clinic ルシード歯科 露西得牙科医院 LUCINATE ルシネート
삐뚤어지고 안 맞는 앞니 치아, 역삼역 치과 라미네이트 시술로 하루만에 완벽 해결
루시드치과의원 서울특별시 강남구 논현로111길 3 상가 1층 101, 102A 루시드치과의원 안녕하세요 행복을 드리는 루시드치과 입니다^^ pf.kakao.com 반갑습니다, 역삼역 루시드 치과 대표원장 박현민이에요 :) 얼마 전 여름 휴가 얘기를 나누던 도중, 강원도 속초가 나온 적이 있는데요 가고 싶다~ 재밌겠다~...
루시드치과의원 서울특별시 강남구 논현로111길 3 상가 1층 101, 102A
루시드치과의원 안녕하세요 행복을 드리는 루시드치과 입니다^^
pf.kakao.com
반갑습니다,
역삼역 루시드 치과
대표원장 박현민이에요 :)
얼마 전 여름 휴가 얘기를 나누던 도중,
강원도 속초가 나온 적이 있는데요
가고 싶다~ 재밌겠다~
이런 저런 얘기를 나누다 문득,
속초에서 찾아와 주셨던
환자 한 분이 떠올랐어요
원래는 속초 사람이었으나,
서울에 올라와서 지내고 있다고
말씀하셨던 기억이 있네요
그래서 오늘은 생각난 김에!
속초에서 올라오신 환자분의
라미네이트 시술 후기를 하나
들려드리려고 준비해 봤습니다.
"제가 유독 위턱 앞니 치아가 이상해요.
양쪽 사이즈랑 높이가 다 다르더라고요."
환자께서 말씀해 주신 주소 내용을 보니,
치아 크기 불일치가 일어난 것으로 보이는데요
위 증상에 대해 몇 가지 여쭤보니,
실제로 누군가와 대화를 나누거나
식사를 할 때마다 조금씩 보이는 치아가
신경 쓰이고 불편했다고 말씀해 주셨어요.
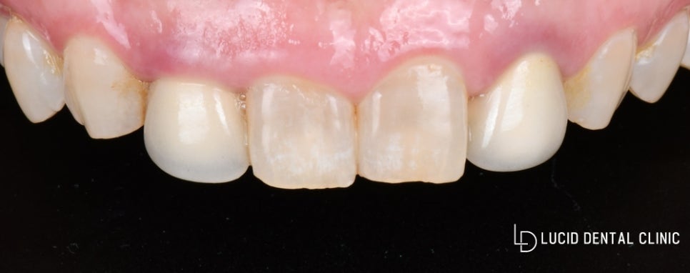
초진 당시 촬영한 구내 포토를
함꼐 보면서 본격적으로 오늘의 사례를
한 번 소개해 드리도록 하겠습니다.

어디가 문제인지 단 번에 알 수 있죠?
현재 치아와 치은
경계부 높이가 다르며
양쪽 치아의 크기 불일치가
나타나고 있었는데요
사실 이런 식으로 치아 크기가 달라졌을 때
기능적인 부분에 있어선 큰 문제는 없습니다.
그러나 환자처럼 치아 변색은 물론,
크기 불일치가 일어났을 때 심미적인 부분에
크게 영향을 미칠 수 있는데요
환자께서도 이와 같은 문제로 인해
자신감이 많이 떨어졌다며, 웃을 때도
입을 가리고 웃는다고 하시더라고요
이걸 듣고 얼마나 마음이 아프던지...
치과의사로서 하루 빨리 환자의 고민을
해결해 드려야겠다고 생각했습니다.
역삼역 치과 는 멀리서 오신 만큼
하루 빨리 구강 고민을 해결해 드리며
최대한 많은 양의 자연치 보존을
목적으로 치료 계획을 수립했는데요
그 결과, 환자의 동의하에
라미네이트 시술 즉, 루시네이트를
진행하기로 결정하게 되었습니다.
루시드의 라미네이트 🌷 🌷예뻐지기 위해 하는 라미네이트, 그런데 소중한 내 치아를 일부 깎아내고 해야 된다는 사실 알고 계셨...
blog.naver.com
본원에서 시행하는 루시네이트는
타원과 달리, 적은 자연치 삭제를 위해
cerec CAD/CAM 시스템으로
약 0.1mm 두께만 삭제하고 있습니다.
게다가, 동일한 두께의 보철을 제작하여
장착해 드리고 있기 때문에 얇은 착용감으로
전혀 불편감없이 사용하실 수 있죠.
해당 시스템을 통해 단 하루면
보철 제작이 끝나니 많은 분들께서
빠른 치료 기간을 원하시는 경우
이 시술을 권유해 드리고 있습니다 :)
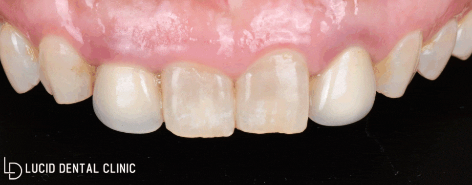
그럼 루시네이트 시술 결과를
사진을 통해 한 번 알아봐 볼까요?

변색, 크기 불일치 등
심미적인 문제를 일으키던
위턱 앞니 부분만 총 8개의 루시네이트
시술을 시행해 드렸는데요

이전과 달리 심미적인
부분이 크게 향상되어
환자께서 만족스럽다는
후기를 들려주셨습니다 ㅎㅎ
라미네이트 시술은 치료 후
관리를 어떻게 하냐가 수명에
큰 영향을 미치곤 하는데요
보다 확실히 관리하며 오래 사용하실 수 있도록
정기 검진과 사후 관리에 대해 설명해 드린 다음,
계획한 치료 과정을 모두 종료할 수 있었습니다!
자세한 내용은 아래 링크 첨부해 드릴 테니
참고하셔서 관리하시면 도움 될 것 같아요 :)
👇👇👇
강남논현동치과 라미네이트 수명 늘리는 관리 꿀팁 공개! 오늘은 라미네이트 수명 더욱 늘릴 수 있는 관리법에 대해 자세하게 알려드릴까 합니다. 👇👇 라미네이...
blog.naver.com
치아 크기 불일치와 변색..
이러한 문제들은 어느 치아든,
나이와 상관없이 누구에게나 쉽게
나타날 수 있는 것들입니다.
그렇기 때문에 보다 철저하고,
꼼꼼하게 관리하는 것이 중요하죠.
만약 위와 같은 문제로
치과 내원을 고민하고 계신다면
언제든 역삼역 루시드 치과 로
내원하셔서 정밀 검진과 함께
해결할 수 있기를 바랍니다 :)
그럼 저는 다른 사례를 가지고
또 찾아뵙도록 하겠습니다!
읽어주신 여러분 모두 감사드리며,
이번 여름 다들 힘차게 버텨봐요 🍀
네이버 예약 :: 루시드치과의원 안녕하세요 [ 연예인 ] [ 인플루언서 ] [ 아이돌 ] [ 미인대회 ] 출신자들에게 사랑받는 강남 치과 루시드입니다 :) 저희 루시드 치과는 심미성과 기능 모두를 생각한 치과치료를 지향하고 있습니다 환자분들이 저희 치과에 오시기까지 수 많은 고민을 하셨다는 걸 정말 잘 알고 있습니다. 따라서 루시드에서는 최소한의 치료로 최대의 만족과 결과를 안겨드릴 수 있도록 노력하고 있습니다. 치아와 잇몸은 최대한 건드리지 않는 것이 가장 좋은 치료 방법입니다. 자연치를 지키면서 할 수 있는 방법을 최우선으로 하며, 치료시에도 자연치 손상을 적...
m.booking.naver.com
오시는 길 및 진료시간 안내 📍 📍 주소 서울 강남구 논현로111길 3, 상가 101, 102A 대로변 1층에 위치하여 있으며 9호선 언주역 2번출...
blog.naver.com

Explore More
Keep Browsing This Clinic's Korean Content Trail.
Return to the source archive for more posts, or move back to the clinic profile to compare the rest of the clinic's public channels.