루시드치과의원 LUCID Dental Clinic ルシード歯科 露西得牙科医院 LUCINATE ルシネート
선정릉역 치과 삐뚤어진 앞니 라미네이트 시술 후기
루시드치과의원 서울특별시 강남구 논현로111길 3 상가 1층 101, 102A 루시드치과의원 안녕하세요 행복을 드리는 루시드치과 입니다^^ pf.kakao.com 반갑습니다, 선정릉역 루시드 치과 대표원장 박현민입니다. 여러분 혹시 거울을 들고 이~ 웃으며 치아를 바라봤을 때 어딘가 이상하진 않으신가요? 예를 들어...
루시드치과의원 서울특별시 강남구 논현로111길 3 상가 1층 101, 102A
루시드치과의원 안녕하세요 행복을 드리는 루시드치과 입니다^^
pf.kakao.com
반갑습니다,
선정릉역 루시드 치과
대표원장 박현민입니다.
여러분 혹시 거울을 들고
이~ 웃으며 치아를 바라봤을 때
어딘가 이상하진 않으신가요?
예를 들어, 위 아래
치아 높이가 다르다거나
크기 불일치가 일어났다던가,
변색으로 차이가 심한 점이 있겠죠?
만약, 위와 같은 문제로
치과 내원을 고민 중이라면
오늘 이 글을 잘 읽어보시고,
많은 정보 얻어가면 좋겠습니다 :)
이번 환자께서는 앞니 치아가
삐뚤고 위쪽이 비대칭이라며
고민 끝에 찾아오셨다고 하는데요
여기저기 알아보다 제가 작성한
블로그를 보시고 오셨다고 합니다.
많은 정보를 알려드리고 싶은 마음과
조금이라도 도움이 되길 바라는 마음으로
블로그 글을 적기 시작했던 건데,
이렇게 제 글을 보고 찾아오셨다니
조금 뿌듯하고 기분이 좋더라고요 ㅎㅎ
이 자리를 빌어, 저를 믿고 찾아와주신
환자분들께 감사한 마음을 전합니다!
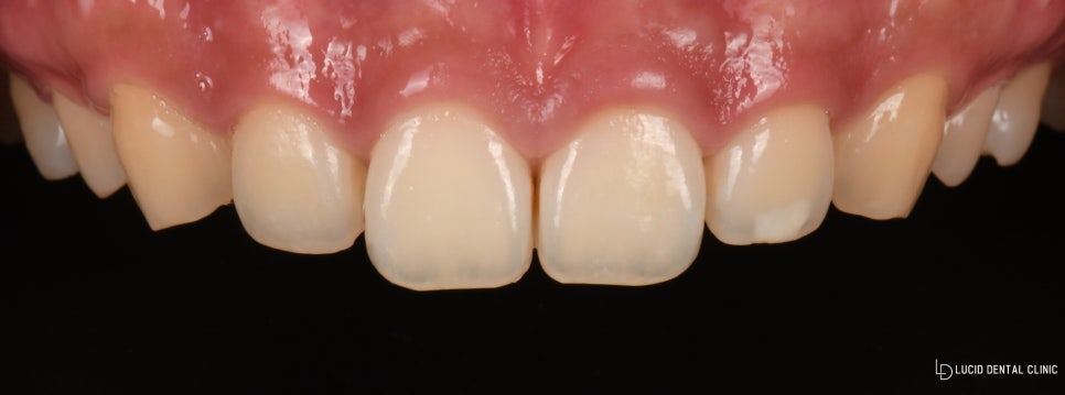
그럼, 이번 환자의 초진 당시
촬영했던 모습을 한 번 봐볼까요?

초진 당시 촬영한
구강 정면 모습입니다!
이렇게만 봐선 치아 각도가
틀어지고, 삐뚤어진지를 잘 모르곘죠?
그래서! 제가 치아 정가운데를 쭉 이은
정중선을 한 번 그려서 보여드리겠습니다.

어떠신가요?
이렇게 정중선을 그어놓고 바라보니
치아 높이부터, 크기까지 제각각 달라,
심미적인 불편함을 일으키고 있었는데요
환자 역시, 위와 같은 부분이
크게 마음에 걸린다며 하루 빨리
개선하길 원한다고 말씀하셨습니다.
그럼, 누구보다 저희 환자를
우선시하는 선정릉역 치과 가
빠르게 해결해 드려야겠죠!
보다 높은 만족도의 치료 결과를 위해
함께 치료 계획을 의논해 봤습니다.
환자께선 많은 양의
치아 삭제는 꺼려하셨고,
치료 기간이 비교적 짧은 편이
좋을 것 같다고 말씀하셨는데요
아마 타원이었다면 환자의 얘길 듣고
크라운 보철 수복을 진행했을 겁니다.
크기가 다른 치아 표면을 모두 깎아내고
새로 심미성 높게 제작한 크라운 보철을
장착하면 된다고 판단했기 때문이겠죠.
하지만, 선정릉역 치과 는
많은 양의 자연치 보존을 우선으로
치료 계획을 수립하고 있습니다.
이번 케이스 같은 경우엔
크라운 보철을 씌우기 위해
무작정 표면을 모두 깎는 것보단
표면 약 0.1mm만 다듬고 정돈하여
동일한 두께로 제작한 얇은 라미네이트
보철을 부착하는 것이 더 좋다고 판단했습니다.
루시드의 라미네이트 🌷 🌷예뻐지기 위해 하는 라미네이트, 그런데 소중한 내 치아를 일부 깎아내고 해야 된다는 사실 알고 계셨...
blog.naver.com
바로, 본원에서 시행하는
루시네이트 시술처럼 말이죠.
선정릉역 치과 에선 cerec CAD/CAM
시스템으로 하루만에 보철 제작이 가능하며,
장착 후 마무리 과정까지 진행하고 있으니
짧은 치료 기간으로 심미성과 기능성
모두 챙기며 마무리할 수 있습니다!

위에서 말씀드린 것처럼
cerec CAD/CAM 시스템으로
단 하루만에 보철을 완성하여
부착 후 마무리해 드렸는데요
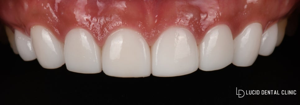
보철 색조는 환자께서 원하시는 대로
조금 더 밝게 제작해 드렸습니다 :)
보철 색조 같은 경우, 미리 저와 함께
shade guide 로 선정 및 의논한 다음
제작 과정에 들어가고 있으니
이 부분은 걱정하지 않으셔도 돼요!

이렇게 심미성과 기능성을 모두 챙기며
환자의 구강 고민을 빠르게 해결해 드렸는데요
이 모습 그대로 사용하실 수 있도록
루시네이트 시술 후 주의 사항에 대해
간단히 설명해 드린 뒤, 종료했습니다!
해당 내용은 이전에도 꾸준히
얘기해 드린 적이 있어, 아래 관련된
링크 하나를 첨부해 드리겠습니다 :)
지금까지 선정릉역 치과 의
루시네이트 시술 후기였습니다.
더 자세한 내용 및 예약 문의를 원하시는 분들은
하단 링크 참고 혹은 본원으로 연락 보내주시면
빠르게 답변할 수 있도록 도와드리겠습니다.
감사합니다!
루시드 치과 한 눈에 보기👀 의료진 소개 오시는 길 및 진료시간 안내 루시드의 특별함 루시드의 스케일링 루시드의 임플란트 루시드치...
blog.naver.com
오시는 길 및 진료시간 안내 📍 📍 주소 서울 강남구 논현로111길 3, 상가 101, 102A 대로변 1층에 위치하여 있으며 9호선 언주역 2번출...
blog.naver.com

Explore More
Keep Browsing This Clinic's Korean Content Trail.
Return to the source archive for more posts, or move back to the clinic profile to compare the rest of the clinic's public channels.