루시드치과의원 LUCID Dental Clinic ルシード歯科 露西得牙科医院 LUCINATE ルシネート
강남역 치과 라미네이트 시술, 하루만에 빠르게 해결하는 비법
루시드치과의원 서울특별시 강남구 논현로111길 3 상가 1층 101, 102A 루시드치과의원 안녕하세요 행복을 드리는 루시드치과 입니다^^ pf.kakao.com 루시드 치과 한 눈에 보기👀 의료진 소개 오시는 길 및 진료시간 안내 루시드의 특별함 루시드의 스케일링 루시드의 임플란트 루시드치... blog.naver.c...
루시드치과의원 서울특별시 강남구 논현로111길 3 상가 1층 101, 102A
루시드치과의원 안녕하세요 행복을 드리는 루시드치과 입니다^^
pf.kakao.com
루시드 치과 한 눈에 보기👀 의료진 소개 오시는 길 및 진료시간 안내 루시드의 특별함 루시드의 스케일링 루시드의 임플란트 루시드치...
blog.naver.com
반갑습니다,
강남역 루시드 치과
대표원장 박현민입니다.
여러분은 라미네이트 시술에 대해
어떤 생각을 가지고 계시는가요?
사실 많은 분들께서
[라미네이트 시술] 하면
1️⃣ 많은 양의 치아 삭제량
2️⃣ 오래 걸리는 치료 기간
이렇게 두 가지를
생각하시곤 하는데요
오늘 이 부분에 대한 생각을
긍정적으로 바꿔드리기 위해
관련된 증례 하나를 가져왔습니다!
강남역 루시드 치과 에선
어떤 과정으로 해결해 드리고 있는지
지금부터 저와 함께 알아볼까요?

제가 유독 앞니 치아가 안 예뻐서
한 번씩 거울 볼 때마다
스트레스를 조금 받아서요.
막 치아 전체를 깎는 건 별론데
다른 해결 방법은 없을까요?
- 환자의 주소 -
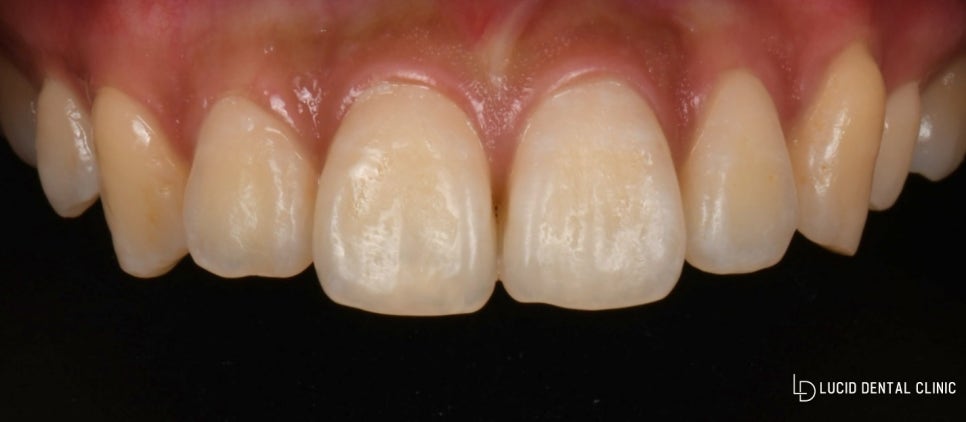
환자께선 유독 틀어진
위턱 앞니가 고민이라며
검진을 요청하셨는데요

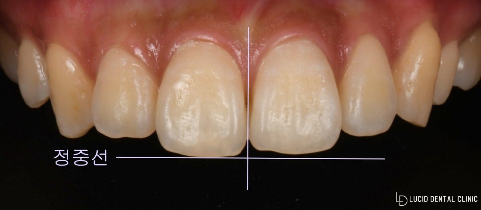
위 아래 일직선으로 쭉 그어지는
정중선을 통해 치아 모습을 살펴보니
일정하게 맞지 않는 길이는 물론,
변색한 치아 색조로 인하여 심미적인
불편함을 일으키고 있었습니다.
특히, 크라운 치료처럼
치아를 일정 범위 이상 깎거나
삭제하는 것은 지양한다며
보다 많은 양의 자연치 보존을
목적으로 치료받길 원하셨습니다.
사실 이렇게 틀어지고 높이가 맞지 않는
앞니 치아의 모습을 회복하기 위해선
✅ 레진 수복 치료
✅ 라미네이트 시술
✅ 보철 수복 치료
- 브릿지 / 크라운
이렇게 세 가지로 나눠볼 수 있지만,
마지막 보철 수복 치료는 우선 제외하고
레진과 라미네이트 시술에 대해
의논하는 시간을 가지기로 했습니다.
레진 수복 치료의 경우,
양옆 치아의 서로 다른 길이를
일정하게 맞춰줄 수 있는데요
대신, 변색한 치아의 모습은
밝게 변화시켜줄 수 없기 때문에
다른 치료를 병행해야 됩니다.
더불어, 시간이 지날 수록
수복된 레진 부위 역시 변색하거나
쉽게 파절될 수 있다는
단점을 가지고 있기도 하죠.
반면에,
강남역 치과 에서 시행하는
라미네이트 시술 즉, 루시네이트는
조금 특별한 장점을 가지고 있는데요
1️⃣ 원내 기공소에서 보유한
cerec CAD/CAM 시스템을 통해
빠른 치료가 가능하다는 점!
다른 곳에선 일주일 정도의
시간이 소요될 수 있겠지만,
본원에선 단 하루만 시간을 주시면
완성도 높은 보철을 제작할 수 있습니다.
다시 말해,
단 하루면 루시네이트 시술이
종료된다는 소리와 같죠 :)
2️⃣ 그뿐만 아니라 강남역
루시드 치과 루시네이트 시술은
더 많은 자연치아를 보존하기 위해
표면 약 0.1mm만 삭제하고 있는데요
+) 굳이 따지자면 삭제도 아니고
표면을 정돈한다고 보시면 됩니다 :)
게다가 0.1 mm 동일한 두께로
라미네이트 보철을 제작하기 때문에
더욱 편안하고 가벼운 착용감을
가질 수 있다는 장점이 있습니다.
환자께서도 위 내용을 들으시곤
원하는 치료 방법과 같다는 말로
권유한 루시네이트 시술을 통해
문제를 개선하기로 결정하셨습니다.
✨✨
루시드의 라미네이트 🌷 🌷예뻐지기 위해 하는 라미네이트, 그런데 소중한 내 치아를 일부 깎아내고 해야 된다는 사실 알고 계셨...
blog.naver.com
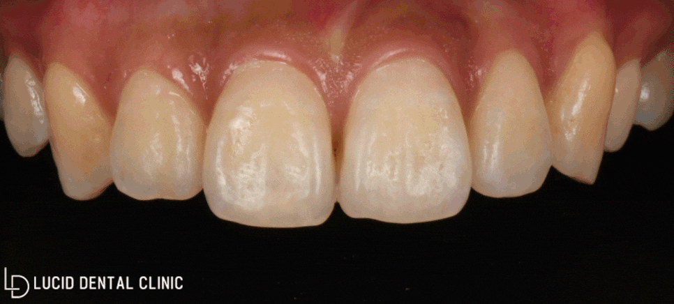
위와 같이 설명해 드린 방법 그대로
루시네이트 시술 과정에 들어갔는데요
실제 치아보다 한층 더 밝은
색조로 마무리되길 원하셔서
환자의 요구 사항을 최대한 반영하여
보철을 제작해 드리기로 했습니다 :)
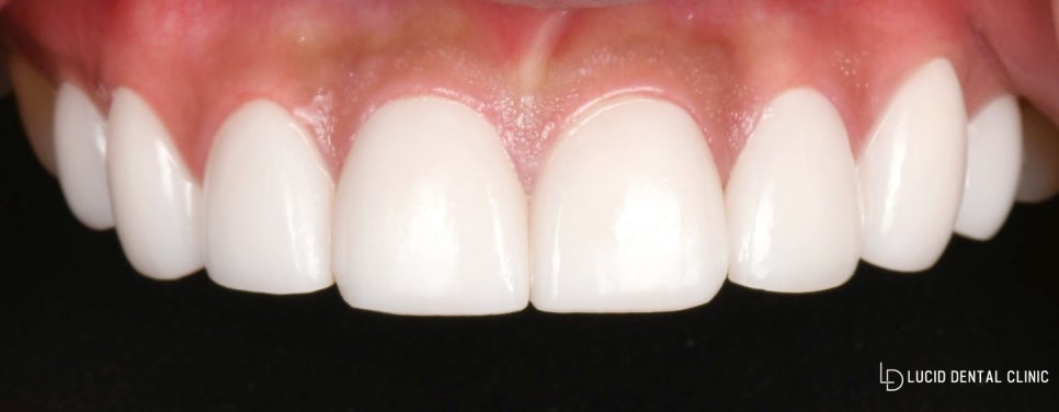
그 결과,

이렇게 심미성 높은 결과를
만들어드릴 수 있었는데요
환자께서 처음 모습이 기억도 안 난다며
치료 결과에 크게 만족스러워 하셨습니다.

실제 초진 모습과 치료 후 모습을
비교해 보면, 그 차이가 느껴지시죠?
여기서 바로 마무리하지 않고
환자께 몇 가지 주의 사항을 안내해 드린 다음,
다음 검진 일정을 정한 뒤, 종료했는데요
궁금해 하실 분들을 위해서
관련된 게시글 하나를 바로 아래
첨부해 드리도록 하겠습니다!
✨ 꼭 참고해서 관리해 보세요 ✨
앞니 라미네이트 란? 과정 및 방법, 여기에 주의 사항까지 강남역 치과 에서 모두 알려드리겠습니다! 다시 돌아온 강남역 루시드 치과 의 구강 상식 시간! 반갑습니다, 여러분 박현민 대표원장입니다! 오늘 얘...
blog.naver.com
지금까지 강남역 루시드 치과 에서
루시네이트(라미네이트 시술) 에 대해
자세히 설명해 드렸는데요
다들 어떻게 보셨을까요 ? ㅎㅎ
무턱대고 많은 양의
자연치를 삭제하지도,
그리 오랜 시간이 걸리지 않고도
충분히 치료받으실 수 있습니다.
언제든 관련된 고민을 가지고 계시면
본원으로 연락 혹은 내원 부탁드립니다.
그럼 전 여기서 이만 인사드릴게요.
늘 좋은 하루 보내시길 바랍니다 :)
🍀
네이버 예약 :: 루시드치과의원 안녕하세요 [ 연예인 ] [ 인플루언서 ] [ 아이돌 ] [ 미인대회 ] 출신자들에게 사랑받는 강남 치과 루시드입니다 :) 저희 루시드 치과는 심미성과 기능 모두를 생각한 치과치료를 지향하고 있습니다 환자분들이 저희 치과에 오시기까지 수 많은 고민을 하셨다는 걸 정말 잘 알고 있습니다. 따라서 루시드에서는 최소한의 치료로 최대의 만족과 결과를 안겨드릴 수 있도록 노력하고 있습니다. 치아와 잇몸은 최대한 건드리지 않는 것이 가장 좋은 치료 방법입니다. 자연치를 지키면서 할 수 있는 방법을 최우선으로 하며, 치료시에도 자연치 손상을 적...
m.booking.naver.com
루시드치과 의료진을 소개합니다 🥼 통합치의학과&치주과&치과교정과&구강악안면외과 원장 협진 시스템✨ 루시드치과 7명의 원장의...
blog.naver.com

Explore More
Keep Browsing This Clinic's Korean Content Trail.
Return to the source archive for more posts, or move back to the clinic profile to compare the rest of the clinic's public channels.