루시드치과의원 LUCID Dental Clinic ルシード歯科 露西得牙科医院 LUCINATE ルシネート
앞니 라미네이트 잘하는곳 찾는다면? 역삼동 치과 루시네이트
루시드치과의원 서울특별시 강남구 논현로111길 3 상가 1층 101, 102A 네이버 예약 :: 루시드치과의원 안녕하세요 [ 연예인 ] [ 인플루언서 ] [ 아이돌 ] [ 미인대회 ] 출신자들에게 사랑받는 강남 치과 루시드입니다 :) 저희 루시드 치과는 심미성과 기능 모두를 생각한 치과치료를 지향하고 있습니다 환자분들이...
루시드치과의원 서울특별시 강남구 논현로111길 3 상가 1층 101, 102A
네이버 예약 :: 루시드치과의원 안녕하세요 [ 연예인 ] [ 인플루언서 ] [ 아이돌 ] [ 미인대회 ] 출신자들에게 사랑받는 강남 치과 루시드입니다 :) 저희 루시드 치과는 심미성과 기능 모두를 생각한 치과치료를 지향하고 있습니다 환자분들이 저희 치과에 오시기까지 수 많은 고민을 하셨다는 걸 정말 잘 알고 있습니다. 따라서 루시드에서는 최소한의 치료로 최대의 만족과 결과를 안겨드릴 수 있도록 노력하고 있습니다. 치아와 잇몸은 최대한 건드리지 않는 것이 가장 좋은 치료 방법입니다. 자연치를 지키면서 할 수 있는 방법을 최우선으로 하며, 치료시에도 자연치 손상을 적...
m.booking.naver.com
삐뚤어지고 틀어진 앞니 치아, 논현동 치과 라미네이트 시술 로 하루만에 해결 가능 이 게시글은 논현동 루시드 치과 대표원장이 직접 작성하였습니다. 라미네이트 시술 은 치아 바깥면에 얇게...
blog.naver.com
해당 게시글은 역삼동 루시드 치과
대표원장이 직접 작성함을 알려드립니다.
환자의 동의하에 작성되고 있습니다.
반갑습니다, 여러분
한 주 잘 보내고 오셨나요?
벌써 8월의 마지막 주를 보내고 있는데,
아직 날씨는 변함없이 뜨겁네요 ㅎㅎ
다들 수분 보충 잘 챙기시면서
오늘 하루도 화이팅하시길 바랍니다.
라미네이트 시술은 예전과 달리
의료 기술이 점점 발달해 가면서
다양한 장점을 가지게 되었는데요
치아 머리 즉, 치관을 깎거나 삭제하여
두꺼운 크기로 제작된 라미네이트 보철을
표면에 부착했던 이전 방식과는 달리,
✅ 치아 표면을 얇게 정돈하여
동일한 크기로 제작된 라미네이트 보철을
표면에 부착하는 방식으로 진행되고 있습니다.
달라진 점은 바로
치아 삭제량 즉, 보존량과
보철의 두께라는 것이죠.
역삼동 치과 도 발전하는
의료 기술을 본원에 도입하여
보다 빠른 치료 기간과 적은 부작용,
그리고 적은 치아 삭제량을 중점으로
CEREC CAD/CAM 시스템을 동반한
루시네이트 시술을 진행하고 있습니다.
⬇⬇⬇
루시드의 라미네이트 🌷 🌷예뻐지기 위해 하는 라미네이트, 그런데 소중한 내 치아를 일부 깎아내고 해야 된다는 사실 알고 계셨...
blog.naver.com

이번 환자께선 비교적
어둡고 변색한 앞니로 인해
심미적인 불편함을 크게
겪고 계셨다고 하는데요
사진을 기준으로 오른쪽 앞니의 경우,
절단연이 살짝 파절되어 정중선을 그었을 때
제대로 일치하지 않는 모습을 볼 수 있었습니다.
아래턱 치아보다 위턱 앞니를
우선으로 치료하길 원하셨으며
빠른 치료 기간을 원하셨는데요
치아 기능에 문제가 되진 않아
심미 치료를 진행하기로 했습니다.
루시드 치과 한 눈에 보기👀 의료진 소개 오시는 길 및 진료시간 안내 루시드의 특별함 루시드의 스케일링 루시드의 임플란트 루시드치...
blog.naver.com
루시드치과 의료진을 소개합니다 🥼 통합치의학과&치주과&치과교정과&구강악안면외과 원장 협진 시스템✨ 루시드치과 7명의 원장의...
blog.naver.com
(+)
각 환자마다 가지고 있는
구강 환경은 모두 다릅니다.
다시 말해, 환자마다 내리는
진단부터 치료 계획까지 모두
다를 수 있다는 것이죠.
이 치료를 받고 싶다 해서
무조건적으로 받을 수 있는 게 아닌,
전문 의료진의 진단하에 진행된다는 점
참고해 주시길 바랍니다 :)
+) 상담 원하시는 분들은
게시글 하단에 첨부해 드리는
링크 참고 부탁드려요!
이번 환자의 경우,
✅ 단기간으로 치료를 마칠 수 있고
✅ 보다 적은 치아 삭제량으로
많은 자연치를 보존할 수 있으며
✅ 치아 색조 및 형태를
한 번에 보완해 줄 수 있도록
원데이 루시네이트 시술을
진행하기로 결정하였습니다.
환자의 동의하에
치아 색조를 함께 선정하며
루시네이트 시술을 진행했는데요
만약, 보철 제작 이후
색조나 형태 변경을 원하신다면
라미네이트 임시 시적 단계 중
원내 기공소를 통해 해결 가능하니
크게 걱정하지 않으셔도 됩니다.

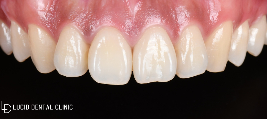
앞니 루시네이트 시술 이후
촬영한 최종 구내 모습입니다.
어떤가요? 이전과 달리
치아 색조가 크게 달라졌죠?
향상된 심미성은 물론,
양옆 치아 크기도 일치하여
환자의 구강 고민을
빠르게 해결해 드렸는데요
임시 시적 단계에서
원하는 색조가 한 번에 나와
더욱 빠르게 마칠 수 있었죠.
달라진 모습에 환자께서도
크게 만족해 하시며 치료받길 잘했다는
후기를 들려주고 가셨습니다 ㅎㅎ
사실 라미네이트 시술을 받았다고 해서
모든 관리가 끝났다, 이런 건 아닙니다.
라미네이트 보철 또한 자연치와 마찬가지로
치아 변색이 나타날 수 있기 때문인데요
커피, 콜라, 와인 등 색소 침착을
쉽게 일으키는 음식 섭취는 자제하시고,
만약 섭취하게 되신다면 색소 침착을 막기 위해
빠른 시간 내로 꼼꼼하게 양치하시길 바랍니다.
구강 관리가 어렵게 느껴지신다면
전문가 관리와 정기 검진을 함께 받으며
건강 챙기시는 것도 좋을 것 같아요.
이 부분은 역삼동 루시드 치과 에서
도와드리고 있으니 언제든 말씀 부탁드립니다.
오늘 글은 여기서 이만 마치겠습니다.
감사합니다.
네이버 예약 :: 루시드치과의원 안녕하세요 [ 연예인 ] [ 인플루언서 ] [ 아이돌 ] [ 미인대회 ] 출신자들에게 사랑받는 강남 치과 루시드입니다 :) 저희 루시드 치과는 심미성과 기능 모두를 생각한 치과치료를 지향하고 있습니다 환자분들이 저희 치과에 오시기까지 수 많은 고민을 하셨다는 걸 정말 잘 알고 있습니다. 따라서 루시드에서는 최소한의 치료로 최대의 만족과 결과를 안겨드릴 수 있도록 노력하고 있습니다. 치아와 잇몸은 최대한 건드리지 않는 것이 가장 좋은 치료 방법입니다. 자연치를 지키면서 할 수 있는 방법을 최우선으로 하며, 치료시에도 자연치 손상을 적...
m.booking.naver.com
오시는 길 및 진료시간 안내 📍 📍 주소 서울 강남구 논현로111길 3, 상가 101, 102A 대로변 1층에 위치하여 있으며 9호선 언주역 2번출...
blog.naver.com
루시드의 라미네이트 🌷 🌷예뻐지기 위해 하는 라미네이트, 그런데 소중한 내 치아를 일부 깎아내고 해야 된다는 사실 알고 계셨...
blog.naver.com

Explore More
Keep Browsing This Clinic's Korean Content Trail.
Return to the source archive for more posts, or move back to the clinic profile to compare the rest of the clinic's public channels.