루시드치과의원 LUCID Dental Clinic ルシード歯科 露西得牙科医院 LUCINATE ルシネート
서초동 치과 라미네이트 시술 잘하는곳은 이걸 사용하고 있습니다.
루시드치과의원 서울특별시 강남구 논현로111길 3 상가 1층 101, 102A 루시드치과의원 안녕하세요 행복을 드리는 루시드치과 입니다^^ pf.kakao.com 서초동 루시드 치과 대표원장인 제가 직접 작성하는 블로그입니다. 모든 게시글은 환자의 동의하에 작성되고 있습니다. 앞니 라미네이트 잘하는곳 찾는다면? 역삼동 치...
루시드치과의원 서울특별시 강남구 논현로111길 3 상가 1층 101, 102A
루시드치과의원 안녕하세요 행복을 드리는 루시드치과 입니다^^
pf.kakao.com
서초동 루시드 치과 대표원장인
제가 직접 작성하는 블로그입니다.
모든 게시글은 환자의 동의하에 작성되고 있습니다.
앞니 라미네이트 잘하는곳 찾는다면? 역삼동 치과 루시네이트 해당 게시글은 역삼동 루시드 치과 대표원장이 직접 작성함을 알려드립니다. 반갑습니다, 여러분 한 주 잘 ...
blog.naver.com
어느덧, 8월의 마지막 주를 보내며
여름을 떠내보낼 시기가 다가왔네요
요즘은 바람이 선선하게 잘 불어서
기분도 좋고, 괜히 산책도 가고 싶더라고요
날씨도 많이 좋아졌으니 정기 검진
한 번씩 받아주시길 바랍니다 ㅎㅎ
오늘 제가 가져온 사례는
앞니 라미네이트 시술을 통해
심미적인 불편감을 물론,
일치하지 않은 치아 모양을
개선해 드렸던 이야기인데요
초진 구내 포토를 함께 보면서
설명 시작하도록 하겠습니다.

위 아래 가운데 지점에서
일직선으로 쭉 선을 그었을 때
보이는 선이 정중선인데요
이 선을 통해 현재 송곳니 부분이
유독 길이가 많이 긴 모습을 알 수 있었고,
주변 치아 조직보다 치은의 길이가
많이 퇴행된 모습을 볼 수 있었습니다.
기능적으로 크게 문제가 되진 않지만,
심미적인 불편감을 느끼실 수 있으며
사진을 기준으로 오른쪽 송곳니가
비교적 길이가 긴 모습으로, 아랫니를
더 많이 덮고 있었기 때문에 안쪽 치은에
염증을 일으킬 가능성이 있었습니다.
환자께서도 심미적인 불편감을 이유로
하루 빨리 개선하길 원하신다 하셨는데요
우선 치료 방법은 어떤 것들이 있고,
환자의 구강 환경에 어느 것이 적합한 지
확인하고 의논하는 시간을 가져기로 했습니다.
이번 케이스의 경우
해결할 수 있는 방법으로는
-
크라운 보철 치료
-
라미네이트 시술
두 가지로 나눠볼 수 있었는데요
사실 1번인 크라운 보철 치료를
진행하기 위해선 일정 부분 이상의 치아
삭제량이 필요할 수밖에 없습니다.
보철이 들어갈 수 있을 정도의 공간과
margin gap 을 유의하여 삭제해야 되기 때문에
치아 보존에 있어선 적합하지 않았죠.
이와 반대로 2번 라미네이트 시술은
예전과 달리 의료 기술이 점점 발달함에 따라
적은 치아 삭제량으로도 충분히
보철을 부착할 수 있었는데요
루시드의 라미네이트 🌷 🌷예뻐지기 위해 하는 라미네이트, 그런데 소중한 내 치아를 일부 깎아내고 해야 된다는 사실 알고 계셨...
blog.naver.com
서초동 루시드 치과 에선
보다 많은 양의 자연치 보존을 위해
cerec CAD/CAM 시스템을 도입하였고,
이를 통해 단 하루의 시간이 소요되며
약 0.1mm 두께의 치아 삭제 및 보철 제작을
진행하여 시술을 도와드리고 있습니다.
간단하게 요약하자면
-
적은 치아 삭제량
-
얇은 보철 제작
-
짧은 치료 기간
이 세 가지 모두 서초동 치과 에서
진행해 드리고 있다는 것이죠 :)
이번 환자 또한 마찬가지로
위 시스템을 이용하여 서초동 치과
루시네이트 시술을 받기로 했습니다.

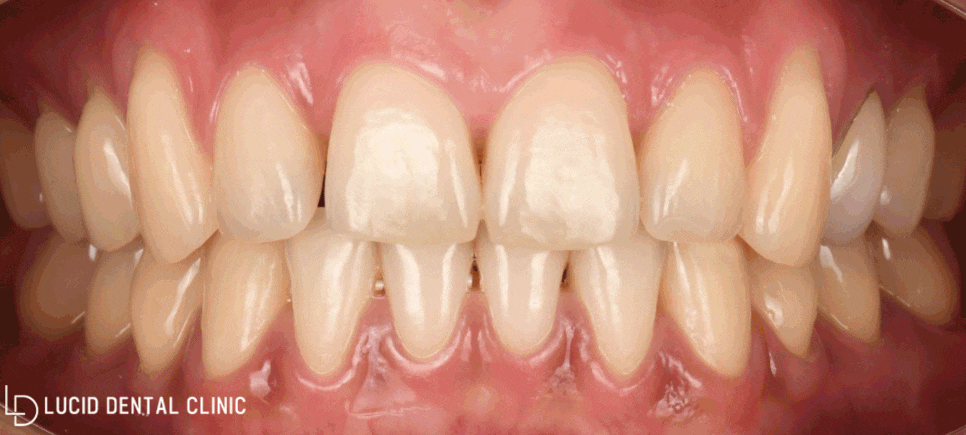
서초동 치과 루시네이트 시술을
마친 후 촬영한 구내 사진입니다.
조금 더 높은 만족도를 위해
함께 shade guide 를 이용하여
색조 결정을 진행했었는데요
환자께서 조금 더 밝은 색조로
보철을 제작하길 원하셨기 때문에
위와 같은 결과를 가질 수 있었습니다.
+) 보철 색조를 결정하고 나서 최종 부착 전,
치아에 임시 시적하는 시간을 가지게 되는데요
시적했을 때 보철 색조가 마음에 들지 않아도
원내 기공소를 통해 바로바로 수정이 가능하니
이 점은 크게 걱정하지 않으셔도 좋습니다 :)

이렇게 변색한 치아 모습과
유독 길이가 길었던 송곳니까지
한 번에 개선할 수 있었는데요
환자께서 달라진 구강 환경이
놀랍다며 진작 올 걸 후회한다며
호탕하게 웃고 들어가셨습니다 :)
한 가지 당부해 드린 점이 있는데요
다들 알고 계신 것처럼
[사후 관리의 중요성]에 대해
몇 가지 알려드리고 마쳤습니다.
라미네이트 시술을 진행했다 하더라도
우리 자연치와 마찬가지로 치아 변색 및 착색
혹은 파절이 일어날 수 있다는 점, 알고 계셨나요?
그만큼 사후 관리를 꼼꼼하게
시행해 주셔야, 지금 모습 그대로
오랫동안 사용하실 수 있습니다.
자연치 또한 마찬가지죠.
그러니 사후 관리와 정기 검진
잊지 말고 꾸준히 받아주셔서
건강한 구강 환경
유지하시길 바랍니다.
만약, 구강 관리가
어렵다고 느끼시는 분들은
서초동 루시드 치과 에서
전문가 관리를 진행해 드리고 있으니
편하게 내원 부탁드립니다 :)
저는 이만 여기서 인사드리겠습니다.
다들 건강 잘 챙기시길 바랍니다.
감사합니다.
네이버 예약 :: 루시드치과의원 안녕하세요 [ 연예인 ] [ 인플루언서 ] [ 아이돌 ] [ 미인대회 ] 출신자들에게 사랑받는 강남 치과 루시드입니다 :) 저희 루시드 치과는 심미성과 기능 모두를 생각한 치과치료를 지향하고 있습니다 환자분들이 저희 치과에 오시기까지 수 많은 고민을 하셨다는 걸 정말 잘 알고 있습니다. 따라서 루시드에서는 최소한의 치료로 최대의 만족과 결과를 안겨드릴 수 있도록 노력하고 있습니다. 치아와 잇몸은 최대한 건드리지 않는 것이 가장 좋은 치료 방법입니다. 자연치를 지키면서 할 수 있는 방법을 최우선으로 하며, 치료시에도 자연치 손상을 적...
m.booking.naver.com
오시는 길 및 진료시간 안내 📍 📍 주소 서울 강남구 논현로111길 3, 상가 101, 102A 대로변 1층에 위치하여 있으며 9호선 언주역 2번출...
blog.naver.com

Explore More
Keep Browsing This Clinic's Korean Content Trail.
Return to the source archive for more posts, or move back to the clinic profile to compare the rest of the clinic's public channels.