루시드치과의원 LUCID Dental Clinic ルシード歯科 露西得牙科医院 LUCINATE ルシネート
역삼역 치과 단 하루만에 예뻐지는 법 - 라미네이트 시술 후 주의 사항 및 관리법 (ft. 루시드의 루시네이트)
루시드치과의원 서울특별시 강남구 논현로111길 3 상가 1층 101, 102A 루시드치과의원 안녕하세요 행복을 드리는 루시드치과 입니다^^ pf.kakao.com 역삼역 루시드 치과 대표 원장인 제가 직접 작성하는 블로그입니다. 모든 게시글은 환자의 동의하에 작성되고 있음을 알려드립니다. 역삼역 루시드 치과 대표원장 박현...
루시드치과의원 서울특별시 강남구 논현로111길 3 상가 1층 101, 102A
루시드치과의원 안녕하세요 행복을 드리는 루시드치과 입니다^^
pf.kakao.com
역삼역 루시드 치과 대표 원장인
제가 직접 작성하는 블로그입니다.
모든 게시글은 환자의 동의하에
작성되고 있음을 알려드립니다.
역삼역 루시드 치과
대표원장 박현민입니다.
그동안 다들 잘 지내셨죠?
눈 깜빡한 사이에 벌써 9월이 시작되며
어느 덧 날씨도 가을 날씨로 바뀌었더라고요
시원한 날씨에, 걷는 재미가 있어
오랜만에 검진 차 방문해 주시는 분들도
늘고 있어, 기분이 좋았습니다 :)
다들 건강한 구강 환경
가질 수 있도록 정기 검진 잊지 말고
꾸준히 받으시길 바랍니다.
[ ⬇⬇ 관련 포스팅 링크 ⬇⬇ ]
서초동 치과 라미네이트 시술 잘하는곳은 이걸 사용하고 있습니다. 서초동 루시드 치과 대표원장인 제가 직접 작성하는 블로그입니다. 어느덧, 8월의 마지막 주를 보내며 여름...
blog.naver.com
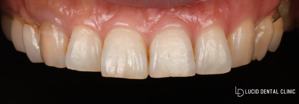
오늘은 문득 각지고 누렇게 변한
앞니 치아가 신경 쓰인다며 내원하신
환자의 이야기를 가지고 왔습니다.
초진 구내 사진을 살펴보기 전,
함께 나눈 대화 내용을
잠깐 보도록 하겠습니다.
👨⚕️ : 따로 어디 불편하신 곳 있으셨나요?
🙍♂️ : 제가 문득 거울을 들여다 봤는데,
앞니 치아가 유독 네모낳고 누렇더라고요
해결할 수 있는 방법이 있을까요?
👨⚕️ : 그러시군요, 우선 초진 구내 모습을
한 번 살펴본 다음에, 검진 결과를 가지고
다시 얘기 나눠보는 걸로 할게요 ㅎㅎ
위 대화 내용을 통해 알 수 있는 것처럼
환자께선 변색 및 각진 형태의 앞니 치아로부터
심미적인 불편함을 받고 계셨는데요
사진을 통해 한 번 살펴보도록 하겠습니다.

실제로 원래 치아 모습과는 달리
절단연 부분이 네모낳게 형성되어
각진 느낌을 크게 주고 있었는데요
그뿐만 아니라 누렇게 변색되어
심미적인 불편함을 일으키고 있었습니다.
한 가지 다행인 건,
심미성을 제외하곤
자연치 기능에 별다른 문제를
일으키지 않고 있다는 것이었습니다.
이어서 검진을 마친 뒤,
역삼역 루시드 치과 는 환자와 함께
의논하는 시간을 가져봤는데요
이번 케이스와 같이 치아 변색과 형태를
빠른 시간 안에 해결할 수 있는 방법은
-
크라운 보철 수복
-
라미네이트 시술
두 가지로 나눠볼 수 있는데요
1번의 경우, 라미네이트 시술과 달리
치아 삭제량이 비교적 높다는 단점이 있어,
권유해 드리고 있지는 않습니다.
크라운 보철이 들어갈 수 있도록
치아 테두리를 모두 깎아내야 되기 때문에
자연치 보존량이 줄어들기 때문이죠.
이와 달리, 2번 라미네이트 시술은
의료 기술이 점점 발달함에 따라
치아 표면을 아주 얇게 정돈하여
제작한 보철을 장착하는 방식으로
비교적 보존량이 높다는 장점이 있습니다.
게다가,
역삼역 루시드 치과 의
라미네이트 시술 즉, 루시네이트는
또 다른 특징을 가지고 있는데요
루시드의 라미네이트 🌷 🌷예뻐지기 위해 하는 라미네이트, 그런데 소중한 내 치아를 일부 깎아내고 해야 된다는 사실 알고 계셨...
blog.naver.com
- 적은 치아 삭제량
-> cerec CAD/CAM 시스템으로
0.1mm 두께의 치아 표면을 삭제하고
- 얇은 보철 제작으로 가벼운
착용감을 기대할 수 있습니다 :)
- 그뿐만 아니라 본원에서
시행하는 루시네이트 시술은
단 하루만에 보철 제작을 마칠 수 있어,
빠른 치료 기간을 기대할 수 있는데요
이 부분은 바쁜 직장인 혹은 학생
환자분들께서 좋아하시곤 합니다 ㅎㅎ
위 내용을 환자께도 설명해 드리며
함께 상의한 결과, 2번 루시네이트 시술을
진행하기로 결정하게 되었습니다.
우선 주소로 말씀하신 위턱 앞니 부분만
총 8개의 루시네이트 시술을 진행할 계획이며,
주변 치아 조직과 자연스러운 색조 및 형태로
제작하길 원하셔서 맞춰 제작하기로 했습니다.
루시드치과의원 논현동 역삼동 임플란트, 라미네이트, 치아교정, 투명교정 치과
당일 라미네이트 시술 과정에 들어가,
단 하루 만에 치료를 모두 마쳤는데요
환자께서 원하시는 색조에 맞추고,
교합 관계 및 조화로움을 고려하여
임시 시적으로 확인한 다음,
최종 부착 후 마무리지었습니다.

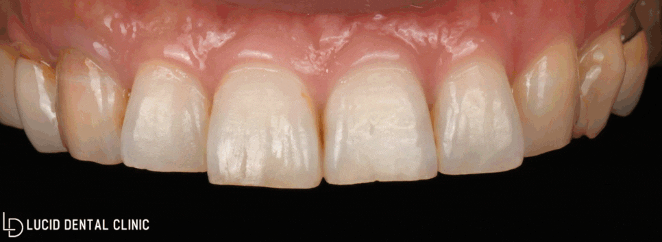
역삼역 치과 루시네이트 시술
종료 후 촬영한 구내 모습입니다.
확실히 이전보다 각진 느낌이 많이 사라졌죠?

자연스럽게 둥근 형태로 제작되면서
밝은 색조와 함께 만나, 심미성이 크게
향상된 모습으로 마칠 수 있었습니다.
환자께서도 크게 좋아하시더라고요 ㅎㅎ
끝으로 몇 가지 주의 사항을
안내해 드리고 치료를 종료했는데요
이 부분에 대한 내용은 이전에도
제가 몇 번 소개해 드린 적이 있어,
관련 링크를 아래 달아드리겠습니다 :)
👇👇👇
역삼동 치과 라미네이트 시술 후 관리 방법, 이것만 지키면 됩니다. 반갑습니다, 여러분! 모두 설 연휴 잘 보내셨나요? 설 연휴를 보내면서 제가 라미네이트 관련 글을 읽어서 ...
blog.naver.com
앞니 라미네이트 란? 과정 및 방법, 여기에 주의 사항까지 강남역 치과 에서 모두 알려드리겠습니다! 다시 돌아온 강남역 루시드 치과 의 구강 상식 시간! 반갑습니다, 여러분 박현민 대표원장입니다! 오늘 얘...
blog.naver.com
오늘 제가 준비한 내용은
아쉽지만 여기까지입니다.
조금이라도 도움이 되었길 바라며,
관련해서 궁금하신 내용이 있으시거나
예약 문의를 원하시는 분들은
아래 링크 참고 부탁드립니다.
그럼 저는 더 좋은 사레를
찾으러 이만 가보겠습니다.
긴 글 읽어주신 여러분께
진심으로 감사 인사 전합니다.
다음에 또 만나요 :)
네이버 톡톡 궁금할 땐, 부담없이 물어보세요.
talk.naver.com
네이버 예약 :: 루시드치과의원 안녕하세요 [ 연예인 ] [ 인플루언서 ] [ 아이돌 ] [ 미인대회 ] 출신자들에게 사랑받는 강남 치과 루시드입니다 :) 저희 루시드 치과는 심미성과 기능 모두를 생각한 치과치료를 지향하고 있습니다 환자분들이 저희 치과에 오시기까지 수 많은 고민을 하셨다는 걸 정말 잘 알고 있습니다. 따라서 루시드에서는 최소한의 치료로 최대의 만족과 결과를 안겨드릴 수 있도록 노력하고 있습니다. 치아와 잇몸은 최대한 건드리지 않는 것이 가장 좋은 치료 방법입니다. 자연치를 지키면서 할 수 있는 방법을 최우선으로 하며, 치료시에도 자연치 손상을 적...
m.booking.naver.com

Explore More
Keep Browsing This Clinic's Korean Content Trail.
Return to the source archive for more posts, or move back to the clinic profile to compare the rest of the clinic's public channels.