루시드치과의원 LUCID Dental Clinic ルシード歯科 露西得牙科医院 LUCINATE ルシネート
강남 논현동 치과 하루만에 예뻐지는 루시네이트 시술 로 자신감 회복한 이야기
루시드치과의원 서울특별시 강남구 논현로111길 3 상가 1층 101, 102A 루시드치과의원 안녕하세요 행복을 드리는 루시드치과 입니다^^ pf.kakao.com 강남 논현동 루시드 치과 대표원장인 제가 직접 모든 글을 작성하고 있습니다. 환자의 동의하에 사진 및 글 작성하고 있음을 알려드립니다. 오늘도 여러분과 함께 대...
루시드치과의원 서울특별시 강남구 논현로111길 3 상가 1층 101, 102A
루시드치과의원 안녕하세요 행복을 드리는 루시드치과 입니다^^
pf.kakao.com
강남 논현동 루시드 치과
대표원장인 제가 직접 모든 글을
작성하고 있습니다.
환자의 동의하에 사진 및 글
작성하고 있음을 알려드립니다.
오늘도 여러분과 함께
대화 나누고 싶은 마음에
사례 하나를 들고 왔습니다.
여러분 혹시 컴플렉스라던가
본인 스스로 감추고 싶은 부분이 있거나
외모 스트레스를 받은 적 있으신가요?
여러 부위가 있지만
특히, 치아의 경우 누군가와
얘기를 나누거나 식사를 할 때
특히 잘 보여지는 곳이기 때문에
스트레스를 받는 분들이 많습니다.
치아는 커피, 콜라, 와인 등
우리가 흔히 자주 먹는 식품에 의해
착색 및 변색이 일어날 수 있고
생각보다 그렇게 단단하지 않아
딱딱하거나 질긴 식품을 섭취하던 도중
파절이 일어나는 경우도 굉장히 많습니다.
그렇기 때문에 일찍이 구강 검진을 통해
조기 처치 및 관리를 시행하는 것이 좋은데요
오늘의 사례 속 환자 또한
심미적인 불편감을 호소하며
빠른 치료를 원하셨습니다.
어떤 일이 있었는지 궁금하시죠?
지금부터 초진 구내 포토를
함꼐 관찰하며 설명해 드리곘습니다.

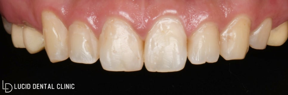
초진 당시 촬영한 사진을 보자마자
말씀하신 고민을 한 눈에 알 수 있었는데요

자세히 보면 치아가 평균 색조에 비해
누렇게 변색한 모습을 확인할 수 있었고,
심지어 군데군데 작은 파절이 일어나
울퉁불퉁한 표면을 보이고 있었습니다.
환자께서 심미적인 불편감을 크게 느끼며,
외모 자신감이 떨어진다고 말씀하셨는데요
사실, 치아 기능에 있어
별다른 문제를 일으키진 않아
치료가 꼭 필요하진 않습니다.
그러나, 환자처럼 심미적으로
문제를 일으키고 있는 경우라면
떨어진 자신감과
완만한 생활을 위해
강남 논현동 치과 에선
간단한 치과 치료를
권유해 드리고 있습니다.
환자와 함께 의논하는 시간을 가지며
원하시는 치료 방향을 한 번 알아봤는데요
-
빠른 치료 기간
-
밝은 치아 색조
-
울퉁불퉁한 표면 해결
이렇게 3가지를 강조하시며
당일 치료를 원하셨습니다.
강남 논현동 치과 에선
환자께서 원하시던 치료 방향
그리고 현재 구강 환경을 고려하여
치료 계획을 수립해 봤는데요
결론부터 말씀드리자면
단 하루만에 치료가 종료되는
원데이 라미네이트 시술
즉, 루시네이트를
진행하기로 결정했습니다.
루시드의 라미네이트 🌷 🌷예뻐지기 위해 하는 라미네이트, 그런데 소중한 내 치아를 일부 깎아내고 해야 된다는 사실 알고 계셨...
blog.naver.com
본원에서 시행하는 루시네이트는
다른 일반 치료와는 다르게 몇 가지
장점을 추가로 더 가지고 있는데요
- 원데이 라미네이트
원내 기공소를 보유하고 있으며,
cerec CAD/CAM 시스템을 통해
보철 제작이 단 하루만에 종료되며
빠른 치료 기간을 가지실 수 있습니다.
단 하루만에 일상생활로
빠르게 복귀할 수 있단 것인데요
이 부분은 평소 바쁜 일상을 보내시는
학생 환자 혹은 직장인분들께서
좋아하시는 장점이기도 합니다 :)
- 적은 치아 삭제량
의료 기술이 발달하지 않아
치아 표면 대부분을 깎고 삭제하며
보철을 장착하는 이전과는 달리,
치아 표면 약 0.1mm 만 정돈하여
동일한 두께의 보철을 제작한 다음
부착해 드리고 있습니다.
적은 치아 삭제량을 가지며
동시에 많은 양의 자연치를
보존할 수 있다는 것이죠 :)
더 자세한 내용은 하단 링크 속
홈페이지에서 확인해 보세요!
루시드치과의원 논현동 역삼동 임플란트, 라미네이트, 치아교정, 투명교정 치과
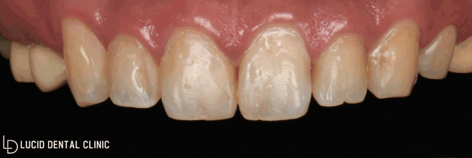
앞서 설명해 드린 것처럼
단 하루만에 보철 제작을 완료하여
장착하고 치료를 마무리지었는데요

환자께서 원하셨던
-
빠른 치료 기간
-
밝은 치아 색조
-
울퉁불퉁한 표면 해결
세 가지 문제점을 빠르게 해결하며
만족스러운 결과를 가질 수 있었습니다.

초진 모습과 비교해서 보면
그 차이점이 더욱 잘 보이죠?
끝으로 몇 가지 주의 사항을
안내해 드리며 다음 검진 일정을
함께 조절하며 종료하였는데요
라미네이트 보철을 부착했다 하더라도
우리 자연치아와 마찬가지로 변색 혹은 착색 등
문제점이 동일하게 나타날 수 있습니다.
요약하면, 자연치와 마찬가지로
꼼꼼한 관리가 필요하다는 얘기죠.
착색 및 변색이 나타날 수 있는
식품 섭취는 자제하는 것이 좋으나,
섭취하게 될 경우 빠른 시간 안에
양치질을 시행하는 것이 좋습니다.
또한, 딱딱하거나 질긴 식품을 주의하고
정기 검진을 포함한 구강 관리를 보다 꼼꼼하고
꾸준히 시행하는 것을 적극 권장해 드립니다 :)
강남 논현동 치과 에서 준비한
라미네이트 시술 후기는 아쉽지만
여기서 마치도록 하겠습니다.
더 궁금하신 내용이나
예약 문의를 원하시는 분들은
아래 첨부해 드린 링크
참고해 주시길 바랍니다.
그럼 전 다음 게시글에서
다시 인사드리도록 할게요!
오늘도 화이팅하시길 바랍니다 🍀
루시드치과의원 안녕하세요 행복을 드리는 루시드치과 입니다^^
pf.kakao.com
네이버 예약 :: 루시드치과의원 안녕하세요 [ 연예인 ] [ 인플루언서 ] [ 아이돌 ] [ 미인대회 ] 출신자들에게 사랑받는 강남 치과 루시드입니다 :) 저희 루시드 치과는 심미성과 기능 모두를 생각한 치과치료를 지향하고 있습니다 환자분들이 저희 치과에 오시기까지 수 많은 고민을 하셨다는 걸 정말 잘 알고 있습니다. 따라서 루시드에서는 최소한의 치료로 최대의 만족과 결과를 안겨드릴 수 있도록 노력하고 있습니다. 치아와 잇몸은 최대한 건드리지 않는 것이 가장 좋은 치료 방법입니다. 자연치를 지키면서 할 수 있는 방법을 최우선으로 하며, 치료시에도 자연치 손상을 적...
m.booking.naver.com

Explore More
Keep Browsing This Clinic's Korean Content Trail.
Return to the source archive for more posts, or move back to the clinic profile to compare the rest of the clinic's public channels.