루시드치과의원 LUCID Dental Clinic ルシード歯科 露西得牙科医院 LUCINATE ルシネート
논현역 치과 치아교정없이 틀어진 앞니 토끼이빨 배열 개선 가능한 루시네이트 시술 후기
루시드치과의원 서울특별시 강남구 논현로111길 3 상가 1층 101, 102A 언주역 9호선 서울특별시 강남구 봉은사로 201 루시드치과의원 안녕하세요 행복을 드리는 루시드치과 입니다^^ pf.kakao.com 이 글은 논현역 루시드 치과 대표원장인 제가 직접 작성하고 있으며 환자의 동의하에 작성되고 있습니다. 많은 분들...
Archive Summary
이 페이지의 역할
루시드치과의원 LUCID Dental Clinic ルシード歯科 露西得牙科医院 LUCINATE ルシネート의 네이버 블로그 원문을 보존한 아카이브 페이지입니다. 루시드의 루시네이트 카테고리의 논현역 치과 치아교정없이 틀어진 앞니 토끼이빨 배열 개선 가능한 루시네이트 시술 후기 글을 통해 병원의 한국어 정보 제공 방식과 진료 관련 안내 톤을 확인할 수 있습니다.
루시드치과의원 서울특별시 강남구 논현로111길 3 상가 1층 101, 102A
언주역 9호선 서울특별시 강남구 봉은사로 201
루시드치과의원 안녕하세요 행복을 드리는 루시드치과 입니다^^
pf.kakao.com
이 글은 논현역 루시드 치과
대표원장인 제가 직접 작성하고 있으며
환자의 동의하에 작성되고 있습니다.
많은 분들께서 삐뚤삐둘하고,
틀어지고, 토끼이빨처럼 뻐드러진 앞니를
개선하기 위해 치료를 고민하곤 하죠.
그런데,
여기서 치료를 고민하는 분들 중
몇몇 분들은 시술을 따로 받지 않은 채
생활하시는 분들을 종종 볼 수 있습니다.
이 분들은 왜 치료를 받지 않는 걸까요?
여기엔 다양한 이유가 숨어있습니다.
-
많은 양의 치아 삭제
-
오래 걸리는 치료 기간
-
귀찮거나 복잡한 내원 길
이 외에도 다양한 원인이 있겠지만
대부분 여기에 해당되실 겁니다 ㅎㅎ
예전엔 의료기술이 지금과 같이 발달하지 않아
치아 머리 부분을 깎아, 보철을 씌우는 방식의
라미네이트 시술을 많이 시행하곤 했는데요
최근 들어선 이러한 단점들을 보완하여
얇고, 편안한 착용감을 자랑하고 있습니다.
특히, 논현역 루시드 치과 의 경우
이와 같은 단점을 최대한 완화할 수 있도록
Cerec CAD/CAM 시스템을 가지고
루시네이트 시술을 진행하고 있는데요
어떤 장점을 가지고 있는지,
과정은 어떻게 진행되고 있는지 등
지금부터 관련 사례를 가지고
조금 자세히 풀어볼까 합니다.
루시드의 라미네이트 🌷 🌷예뻐지기 위해 하는 라미네이트, 그런데 소중한 내 치아를 일부 깎아내고 해야 된다는 사실 알고 계셨...
blog.naver.com

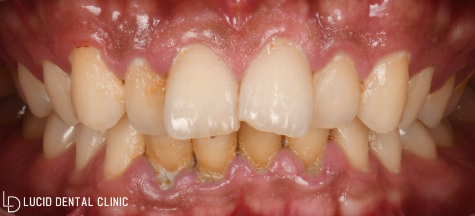
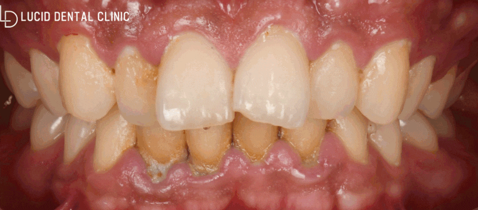
이 환자께선 위와 같은 모습으로
논현역 치과 에 방문해 주셨는데요
-
틀어진 치아 배열
-
다량의 치석 및 충치 축적
-
뻐드러진 앞니 치아
(a.k.a. 토끼이빨)
이렇게 3가짐 문제점을 파악할 수 있었습니다.
이렇게 각도가 틀어지고
배열이 무너져 겹쳐진 치아의 형태로
일상생활을 보내다보면 몇 가지
문제점이 나타나곤 하는데요
틀어진 치아 사이 즉, 인접면에
음식물 잔사가 계속해서 쌓이며
치석 혹은 충치가 나타날 수 있고,
십할 경우 치은이나 주변 치아 조직에도
쉽게 악영향을 미칠 수 있습니다.
그렇게 되면 전신 질환까지 이어지는 데
그리 오랜 시간이 걸리지 않게 되는데요
그렇기 때문에 미리 정기 검진으로 발견하여
조기 처치받는 것을 권장해 드리고 있습니다.
루시드치과 의료진을 소개합니다 🥼 통합치의학과&치주과&치과교정과&구강악안면외과 원장 협진 시스템✨ 루시드치과 7명의 원장의...
blog.naver.com
상담 과정에서 환자분은
-
빠른 치료 기간
-
심미적인 기능 향상
-
적은 치아 삭제량
세 가지 부분을 중점으로
수립하길 원하셨는데요
✅ 치아 교정을 진행하기엔
시간이 오래 걸리기도 하고,
크라운 수복 치료를 진행하기엔
깎아지는 치관의 양이 아쉽다고 느껴
논현역 치과 의 라미네이트 시술인
루시네이트를 진행하기로 결정했습니다.
0.1mm 의 적은 삭제량을 가짐과 동시에
0.1mm 두께의 보철을 제작해 드리고 있어
보다 편안한 착용감을 기대할 수 있는데요
그뿐만 아니라 원내 기공소와 함께
Cerec 시스템을 이용하여 단 하루만에
보철 제작을 마칠 수 있습니다.
위 장점은 바쁘신 직장인분들
혹은 학생분들이 좋아하시더라고요 ㅎㅎ
저희 논현역 치과 를 믿고 와주시는데
당연히 받으셔야 된다고 생각합니다.

이러한 장점을 덕분인지,
실제로 논현역 치과 를 찾아와 주시는
연예인 환자분들이 많이 계시는데요
관련된 내용은 아래 링크 참고 부탁드립니다 :)
치과의사 박현민의 임상이야기 : 네이버 블로그 당신의 모든 기록을 담는 공간
blog.naver.com
루시드치과의원 논현동 역삼동 임플란트, 라미네이트, 치아교정, 투명교정 치과

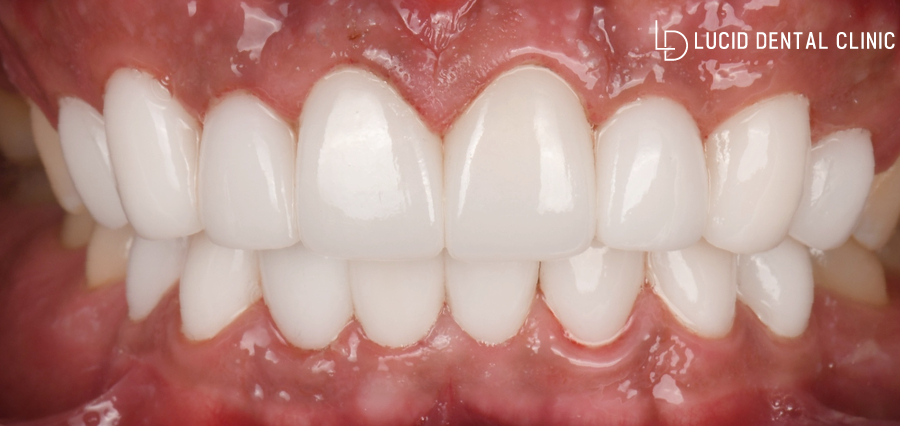
루시네이트 시술 종료 후
최종 구내 모습입니다.
환자께서 밝은 색조를 원하셔서
함께 조정하여 제작해 드렸는데요

전후 비교샷을 자세히 보면
틀어지고 삐뚤어진 토끼이빨 의
모습을 지녔던 초진 구내와 달리,
심미성과 기능적인 부분에서
크게 향상된 걸 알 수 있었습니다.

삐뚤어지고,
치열이 무너지며,
뻐드러진 토끼이빨에
누렇게 변색한 치아
이제 단 하루만에 연예인 치아처럼
바뀌며 예뻐지실 수 있습니다.

무턱대로 발치하고, 깎아내는 치료와 달리
환자의 구강 환경을 면밀히 파악하여
맞춤형 치료 계획을 통해 진행하고 있으니
언제든 오셔서 정밀 검진 받아보시길 바랍니다.
그럼 저는 이만 여기서 인사드리겠습니다.
봐주신 여러분 모두 감사드리며,
오늘도 좋은 하루였길 바랍니다.
🍀🍀
루시드치과의원 안녕하세요 행복을 드리는 루시드치과 입니다^^
pf.kakao.com
네이버 예약 :: 루시드치과의원 안녕하세요 [ 연예인 ] [ 인플루언서 ] [ 아이돌 ] [ 미인대회 ] 출신자들에게 사랑받는 강남 치과 루시드입니다 :) 저희 루시드 치과는 심미성과 기능 모두를 생각한 치과치료를 지향하고 있습니다 환자분들이 저희 치과에 오시기까지 수 많은 고민을 하셨다는 걸 정말 잘 알고 있습니다. 따라서 루시드에서는 최소한의 치료로 최대의 만족과 결과를 안겨드릴 수 있도록 노력하고 있습니다. 치아와 잇몸은 최대한 건드리지 않는 것이 가장 좋은 치료 방법입니다. 자연치를 지키면서 할 수 있는 방법을 최우선으로 하며, 치료시에도 자연치 손상을 적...
m.booking.naver.com

Explore More
Keep Browsing This Clinic's Korean Content Trail.
Return to the source archive for more posts, or move back to the clinic profile to compare the rest of the clinic's public channels.