루시드치과의원 LUCID Dental Clinic ルシード歯科 露西得牙科医院 LUCINATE ルシネート
라미네이트 시술 하루만에 종료되는 서초동 치과 추천 - 전후 비교 및 주의사항
루시드치과의원 서울특별시 강남구 논현로111길 3 상가 1층 101, 102A 언주역 9호선 서울특별시 강남구 봉은사로 201 루시드 치과 한 눈에 보기👀 의료진 소개 오시는 길 및 진료시간 안내 루시드의 특별함 루시드의 스케일링 루시드의 임플란트 루시드치... blog.naver.com 서초동 루시드 치과 대표원장인...
루시드치과의원 서울특별시 강남구 논현로111길 3 상가 1층 101, 102A
언주역 9호선 서울특별시 강남구 봉은사로 201
루시드 치과 한 눈에 보기👀 의료진 소개 오시는 길 및 진료시간 안내 루시드의 특별함 루시드의 스케일링 루시드의 임플란트 루시드치...
blog.naver.com
서초동 루시드 치과 대표원장인
제가 직접 작성하고 있습니다.
환자의 동의하에 작성되고 있음을 알려드립니다.
연예인 치아처럼 바뀌는 논현동 치과 최소삭제 라미네이트 시술 후기 논현동 루시드 치과 대표원장인 저 박현민이 직접 작성하는 글입니다. 반갑습니다, 여러분. 좋은 주말 보내...
blog.naver.com
반갑습니다,
서초동 루시드 치과 대표원장
박현민 인사드립니다.
오늘은 '앞니 치아 사이가 까맣다'는
주소로 찾아오셨던 환자의 이야기로,
단 하루만에 치료를 종료했던
사례 하나를 준비해 봤습니다.

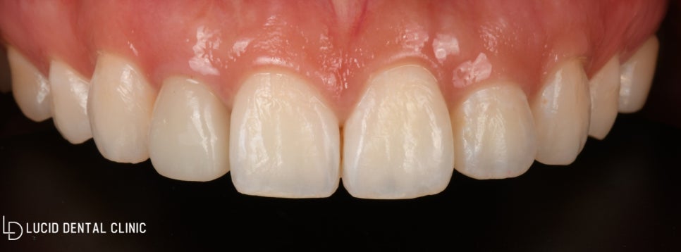
초진 당시, 위와 같은 구내 포토
사진을 촬영하여 진단하였는데요

조금 더 가까이에서 관찰하니,
실제로 치아 사이가 까맣게 보이는
증상이 나타나고 있었습니다.
해당 증상의 이유는 바로, 조금 벌어진 치아 틈으로
착색이 진행되어 위와 같은 모습으로 변한 것인데요
치아 기능적인 면에선 크게 문제되진 않으나,
구강 관리를 조금이라도 소홀히 할 경우
벌어진 틈 사이로 음식물 잔사나 치석 등이
쌓이며 충치 등의 질환이 나타날 가능성이 있습니다.
그뿐만 아니라 특히 앞니 치아의 경우는
어금니와 달리 제일 먼저 눈에 띄는 자리에
위치하고 있기 때문에 밥을 먹거나 대화를 나눌 때
심미적인 불편함을 초래할 수 있습니다.
심한 분들은 자신감이 크게 하락하여,
얘기를 나누거나 밥을 먹을 때 크게 신경 쓰며
입을 손으로 가리는 습관이 생기기도 하죠.
이번 환자 역시, 마찬가지셨습니다.
서초동 루시드 치과 는 위와 같은
내용을 환자와 함께 의논하는 과정에서
자세히 설명해 드렸는데요
해결할 수 있는 방법으로는
레진 혹은 보철 수복 치료 그리고
라미네이트 시술이 있었으나,
- 환자께선 해당 증상을
빠른 시간 안에 해결하길 원하셨고
- 보다 자연스럽게 마무리되길 원하셔서
레진이나 보철 수복은 어려움이 있었는데요
의논 끝에 서초동 치과 라미네이트 시술
즉, 루시네이트를 진행하기로 했습니다.
루시드의 라미네이트 🌷 🌷예뻐지기 위해 하는 라미네이트, 그런데 소중한 내 치아를 일부 깎아내고 해야 된다는 사실 알고 계셨...
blog.naver.com

이전엔 치아 머리 부분을 모두 깎아
두꺼운 라미네이트 보철을 장착하는 방식으로
시술이 진행되곤 하였는데요
최근엔 의료기술이 점점 발달하여
적은 치아 삭제량과 편안한 착용감을
느끼실 수 있다는 장점이 있습니다.
치과 루시네이트 시술 역시 동일했는데요

본원에선 cerec 시스템을 이용하여
0.1mm 두께만 삭제하고 있을 뿐만 아니라
동일한 두께의 루시네이트 보철을 제작하여
편안하고 안정된 착용감을 가지실 수 있습니다.
아마 본원에서 치료를 받아보신 분들이라면
위 내용에 공감해 주실 거라 믿습니다. ㅎㅎ
📌
루시드치과의원 논현동 역삼동 임플란트, 라미네이트, 치아교정, 투명교정 치과

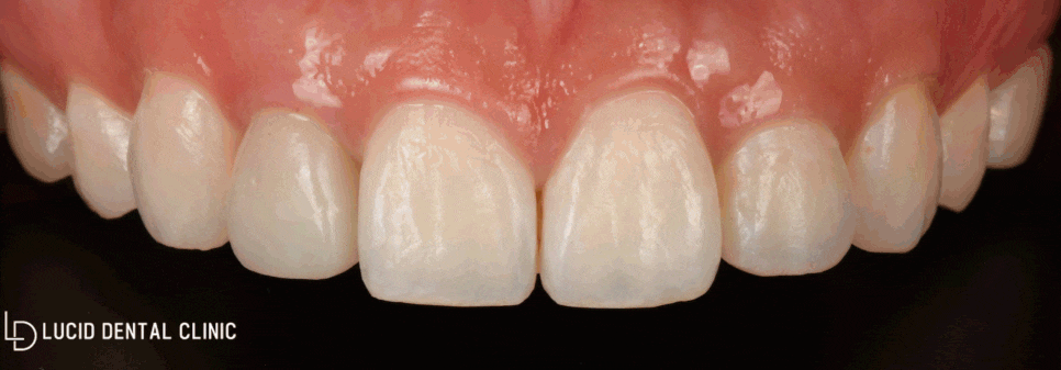
위와 같이 단 하루만에
루시네이트 시술이 종료되어,
전후 사진을 비교해 봤는데요
벌어지고 누렇게 착색된 치아였으나
자연스럽게 밝아진 형태 그리고 벌어지며 착색된
치아 틈 사이가 개선된 모습을 볼 수 있었습니다.
이대로 가시기 전에, 서초동 치과 는
환자께 주의사항 몇 가지를 당부해 드리며
정기 검진 일정을 잡아드렸는데요
루시드치과의원 논현동 역삼동 임플란트, 라미네이트, 치아교정, 투명교정 치과
앞니 라미네이트 란? 과정 및 방법, 여기에 주의 사항까지 강남역 치과 에서 모두 알려드리겠습니다! 다시 돌아온 강남역 루시드 치과 의 구강 상식 시간! 반갑습니다, 여러분 박현민 대표원장입니다! 오늘 얘...
blog.naver.com
이에 대해 궁금하신 분들은
이전에 소개해 드렸던 내용과
홈페이지 참고 부탁드립니다.
추가로 더
궁금하신 내용이 있으시거나
에약 문의를 원하시는 분들은
하단에 있는 링크 혹은
본원으로 연락 보내주시면
빠르게 답변 도와드리겠습니다 :)
루시드치과의원 안녕하세요 행복을 드리는 루시드치과 입니다^^
pf.kakao.com
네이버 예약 :: 루시드치과의원 안녕하세요 [ 연예인 ] [ 인플루언서 ] [ 아이돌 ] [ 미인대회 ] 출신자들에게 사랑받는 강남 치과 루시드입니다 :) 저희 루시드 치과는 심미성과 기능 모두를 생각한 치과치료를 지향하고 있습니다 환자분들이 저희 치과에 오시기까지 수 많은 고민을 하셨다는 걸 정말 잘 알고 있습니다. 따라서 루시드에서는 최소한의 치료로 최대의 만족과 결과를 안겨드릴 수 있도록 노력하고 있습니다. 치아와 잇몸은 최대한 건드리지 않는 것이 가장 좋은 치료 방법입니다. 자연치를 지키면서 할 수 있는 방법을 최우선으로 하며, 치료시에도 자연치 손상을 적...
m.booking.naver.com
지금까지 서초동 루시드 치과
대표원장 박현민이었습니다.
봐주신 분들 모두 감사드리며,
모두가 건강하고 예쁜 치아를 가질 그 날까지
열심히 이 자리에서 노력하겠습니다.
그럼 다음 게시글에서 다시 뵙겠습니다.
오시는 길 및 진료시간 안내 📍 📍 주소 서울 강남구 논현로111길 3, 상가 101, 102A 대로변 1층에 위치하여 있으며 9호선 언주역 2번출...
blog.naver.com

Explore More
Keep Browsing This Clinic's Korean Content Trail.
Return to the source archive for more posts, or move back to the clinic profile to compare the rest of the clinic's public channels.