루시드치과의원 LUCID Dental Clinic ルシード歯科 露西得牙科医院 LUCINATE ルシネート
선정릉역 치과 라미네이트 시술 잘하는곳은 이렇게 진행합니다. (ft. 전후 비교 및 주의 사항 소개)
루시드치과의원 서울특별시 강남구 논현로111길 3 상가 1층 101, 102A 언주역 9호선 서울특별시 강남구 봉은사로 201 루시드 치과 한 눈에 보기👀 의료진 소개 오시는 길 및 진료시간 안내 루시드의 특별함 루시드의 스케일링 루시드의 임플란트 루시드치... blog.naver.com 라미네이트 시술 하루만에 종료되...
루시드치과의원 서울특별시 강남구 논현로111길 3 상가 1층 101, 102A
언주역 9호선 서울특별시 강남구 봉은사로 201
루시드 치과 한 눈에 보기👀 의료진 소개 오시는 길 및 진료시간 안내 루시드의 특별함 루시드의 스케일링 루시드의 임플란트 루시드치...
blog.naver.com
라미네이트 시술 하루만에 종료되는 서초동 치과 추천 - 전후 비교 및 주의사항 서초동 루시드 치과 대표원장인 제가 직접 작성하고 있습니다. 반갑습니다, 서초동 루시드 치과 대표원장 ...
blog.naver.com
선정릉역 루시드 치과 대표원장인
제가 직접 작성하고 있는 글입니다.
- 환자의 동의하에 기재하고 있음을 알려드립니다.-
많은 분들께서 치아 고민을 말씀하실 때
-
틈 사이가 벌어진 앞니
-
누렇거나 검은 치아 착색
-
삐뚤삐둘한 치아 배열
위 세 가지들을 말씀하시곤 합니다.
이러한 것들은 기능적인 면에서
큰 문제를 일으키는 편은 아니지만,
심미적인 불편감을 지속적으로 느끼게 만들며,
자신감 하락 등 심리적인 문제를 일으키곤 하죠.
오늘 제가 준비한 사례 역시,
이와 마찬가지로 심미적인 불편감을 이유로
내원하신 환자의 치료 이야기인데요
초진 당시 사진을 함께 보면서
진단부터 치료 후 마무리 모습까지
알아보는 시간 가지겠습니다.

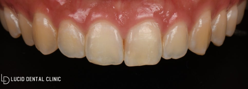
위와 같이 초진 모습을 통해 유독 누렇게
착색된 앞니 치아를 확인할 수 있었는데요
그뿐만 아니라 치아 표면이 울퉁불퉁하였으며,

가운데 정중선을 그어 확인해 봤을 때
불일치한 모습을 보이고 있었습니다.
기능적인 부분에서 큰 문제는 없었지만,
누렇게 착색되고 크기가 불일치한 모습에
환자께선 심리적으로 위축된 상태였으며
하루 빨리 개선하길 원한다고 말씀하셨습니다.
글 초반 부분에 설명해 드린 것처럼
이런 케이스의 경우, 심리적인 문제를 일으킬
가능성이 있기 때문에 선정릉역 치과 에선
심미 치료를 권유해 드리고 있습니다.
선정릉역 치과 는 환자에게
알맞는 치료 계획을 수립하며
함께 의논하는 시간을 가졌는데요
사실 타원이었다면 치관 즉, 머리 전체를
깎고 정돈하여 크라운 보철을 씌웠을 겁니다.
그러나 해당 치료는 치아 삭제량이
생각보다 광범위하게 이뤄질 수 있으며,
치료 기간이 늘어난다는 단점이 있는데요
결국 고민 끝에 본원에서
시행하고 있는 라미네이트 시술,
루시네이트를 진행하기로 했습니다.
루시드의 라미네이트 🌷 🌷예뻐지기 위해 하는 라미네이트, 그런데 소중한 내 치아를 일부 깎아내고 해야 된다는 사실 알고 계셨...
blog.naver.com

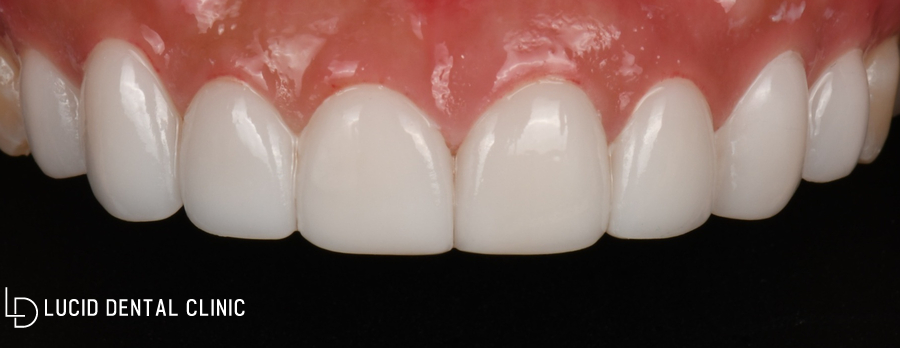
실제로 선정릉역 루시드 치과 에서
시행하는 루시네이트 시술의 경우,
치아 표면을 약 0.1mm 정도만 정돈하여
동일한 두께의 보철을 장착하고 있는데요

위와 같이 저희 선정릉역 루시드 치과
로고 위에 루시네이트 보철을 올려봤을 때,
0.1mm 두께로 제작했기 때문에 배경이
그대로 비춰보이는 걸 알 수 있을 겁니다.
그만큼 얇고 편안한 착용감을 자랑하죠 :)


루시드치과의원 논현동 역삼동 임플란트, 라미네이트, 치아교정, 투명교정 치과
이러한 장점들 덕분에 다양한 스타분들께서
본원에 많이 찾아와 주시기도 합니다 ㅎㅎ

루시네이트 시술 종료 후 모습인데요
어떠신가요?
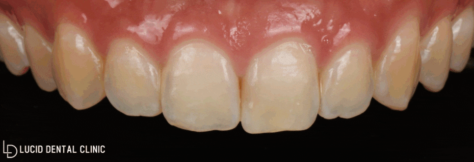
이전 모습이 잘 기억나지 않는 분들을 위해
초진 당시의 사진과 전후 비교를 준비했습니다.

이렇게 비교해서 보면
그 차이점을 더욱 확연히
느끼실 수 있을 겁니다.
보철 색조의 경우, 환자께서
조금 더 밝은 느낌으로 진행하길 원하셔서
최대한 맞춰 제작해 드렸는데요

루시네이트 시술이 끝나자마자
이전 모습이 생각나지 않는다며
크게 기뻐하고 가셨습니다 :)
간단한 주의 사항
몇 가지를 당부해 드린 뒤,
꾸준한 관리를 위해 다음 검진
일정을 잡아드렸는데요
역삼동 치과 라미네이트 시술 후 관리 방법, 이것만 지키면 됩니다. 반갑습니다, 여러분! 모두 설 연휴 잘 보내셨나요? 설 연휴를 보내면서 제가 라미네이트 관련 글을 읽어서 ...
blog.naver.com
루시드치과의원 논현동 역삼동 임플란트, 라미네이트, 치아교정, 투명교정 치과
궁금하신 분들은 위에 올려드린
링크 참고하셔도 좋을 것 같습니다.
선정릉역 루시드 치과 가 준비한
루시네이트 시술 후기는 여기까지입니다
누구든, 나이와 상관없이
연예인처럼 깔끔하고 예쁜 치아
가지실 수 있습니다.
적은 치아 삭제량과 얇은 두께감으로
편하고, 예쁜 치아로 만들어드리겠습니다.
⬇⬇⬇
루시드치과의원 안녕하세요 행복을 드리는 루시드치과 입니다^^
pf.kakao.com
네이버 예약 :: 루시드치과의원 안녕하세요 [ 연예인 ] [ 인플루언서 ] [ 아이돌 ] [ 미인대회 ] 출신자들에게 사랑받는 강남 치과 루시드입니다 :) 저희 루시드 치과는 심미성과 기능 모두를 생각한 치과치료를 지향하고 있습니다 환자분들이 저희 치과에 오시기까지 수 많은 고민을 하셨다는 걸 정말 잘 알고 있습니다. 따라서 루시드에서는 최소한의 치료로 최대의 만족과 결과를 안겨드릴 수 있도록 노력하고 있습니다. 치아와 잇몸은 최대한 건드리지 않는 것이 가장 좋은 치료 방법입니다. 자연치를 지키면서 할 수 있는 방법을 최우선으로 하며, 치료시에도 자연치 손상을 적...
m.booking.naver.com
오시는 길 및 진료시간 안내 📍 📍 주소 서울 강남구 논현로111길 3, 상가 101, 102A 대로변 1층에 위치하여 있으며 9호선 언주역 2번출...
blog.naver.com

Explore More
Keep Browsing This Clinic's Korean Content Trail.
Return to the source archive for more posts, or move back to the clinic profile to compare the rest of the clinic's public channels.