루시드치과의원 LUCID Dental Clinic ルシード歯科 露西得牙科医院 LUCINATE ルシネート
"앞니 치아 사이가 벌어져서 안 예뻐요!" 역삼동 치과 하루만에 예뻐지는 루시네이트 시술 후기
루시드치과의원 서울특별시 강남구 논현로111길 3 상가 1층 101, 102A 언주역 9호선 서울특별시 강남구 봉은사로 201 루시드치과의원 안녕하세요 행복을 드리는 루시드치과 입니다^^ pf.kakao.com 이 게시글은 역삼동 루시드 치과 대표원장인 제가 직접 작성했습니다. 환자의 동의하에 작성되었음을 알립니다. 강남...
루시드치과의원 서울특별시 강남구 논현로111길 3 상가 1층 101, 102A
언주역 9호선 서울특별시 강남구 봉은사로 201
루시드치과의원 안녕하세요 행복을 드리는 루시드치과 입니다^^
pf.kakao.com
이 게시글은 역삼동 루시드 치과
대표원장인 제가 직접 작성했습니다.
환자의 동의하에 작성되었음을 알립니다.
강남 논현동 치과 하루만에 예뻐지는 루시네이트 시술 로 자신감 회복한 이야기 강남 논현동 루시드 치과 대표원장인 제가 직접 모든 글을 작성하고 있습니다. 오늘도 여러분과 함께 대화 ...
blog.naver.com


앞니는 어금니와 다르게
눈에 가장 먼저 들어오는 치아로
심미적인 기능을 맡고 있죠.
조금이라도 치아 틈이 벌어지거나
절단연 주변이 부러지게 될 경우,
우리는 해당 문제를 개선하기 위해
심미 치료를 진행하게 됩니다.
- 라미네이트
- 보철 수복
- 인레이 / 크라운
- 레진 빌드업
보통 3가지로 나뉘게 되는데요
오늘은 이 중에서
1번 라미네이트 시술과 관련된
얘기를 들려드릴까 합니다.
루시드의 라미네이트 🌷 🌷예뻐지기 위해 하는 라미네이트, 그런데 소중한 내 치아를 일부 깎아내고 해야 된다는 사실 알고 계셨...
blog.naver.com

앞니 치아 사이가 까맣게 보인다며
검진을 받기 위해 내원하셨다고 합니다.
실제로 구내 포토를 자세히 보시면
위턱 앞니 사이로 거뭇한 부분이 있죠?
이건 치아 자체에 거뭇한 반점이 생긴 것이 아닌,
앞니 사이가 벌어지면서 생긴 빈 공간인데요
치아 기능적인 문제를
크게 일으키진 않지만
구강 관리가 제대로 이뤄지지 않을 경우,
인접면 사이로 치아우식증이 나타나거나
치아 벌어짐이 더 심해지기라도 하면
심미적인 불편감을 계속해서 일으키며
심리적으로 좋지 않은 영향을 줄 수 있습니다.
그렇기 때문에 역삼동 치과 는
환자께서 심미적인 불편감을 느끼신다면
심미 치료로 개선하길 권장해 드리고 있어요 :)
역삼동 루시드 치과 에선
환자와의 긴 의논 끝에 가장 알맞은
치료 방법인 본원에서 시행하고 있는
루시네이트로 계획을 수립했는데요
여기엔 몇 가지 이유가 있습니다.
- 빠른 치료 기간

환자께선 심리적 부담감을 크게 느껴,
하루 빨리 문제를 개선하길 원하셨는데요
예전같았으면 일주일도 넘게 걸리겠지만,
이전과 달리 의료 기술이 점점 발달해 가면서
루시네이트 시술은 cerec 밀링기를 통해
정밀한 라미네이트 보철을 단 하루 만에
제작하여 치료를 마무리해 드리고 있습니다.
- 얇은 치아 삭제량

그뿐만 아니라 위와 같이
cerec 밀링기를 이용하여
세라믹 블록을 정밀하게 깍아
보철 제작을 진행하고 있기 때문에
치아를 거의 삭제하지 않고도
루시네이트 시술을 받으실 수 있습니다.
진짜인지, 그냥 하는 말인지
잘 믿지 못하실 분들이 계실까 하여,
제작된 보철 사진을 준비해 봤는데요

보철을 위에 올려놨음에도 불구하고
역삼동 루시드 치과 이름이 보이고 있죠?
그만큼 미세한 두께의 보철을 제작하여
부착해 드리고 있기 때문에 보다 편안한
착용감을 느끼실 수 있을 겁니다 :)

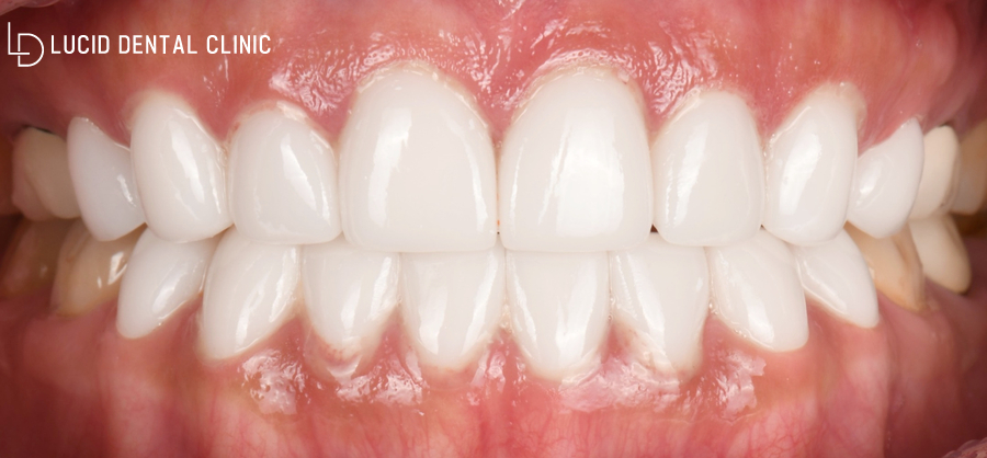
이렇게 루시네이트 시술을 마친 뒤,
초진 전후 모습을 한 번 비교해 봤는데요

벌어진 앞니 치아 틈으로
거뭇한 모습이 보이던 이전과 달리,
밝아진 색조는 물론, 고민이라 말씀하신
벌어진 틈이 온전히 개선된 걸 알 수 있었습니다.
+) 라미네이트 보철의 색조는
제작 전, 환자와 함께 Shade guide 로
조정하여 제작해 드렸는데요
환자께서 자연스럽게 밝아진 치아에
자신감이 올라갔다며 환한 미소로
다음 약속을 잡고 가주셨습니다 :)
루시드 치과 한 눈에 보기👀 의료진 소개 오시는 길 및 진료시간 안내 루시드의 특별함 루시드의 스케일링 루시드의 임플란트 루시드치...
blog.naver.com
역삼동 루시드 치과 에선
환자의 구강 환경을 바탕으로
맞춤형 치료를 진행하고 있으며,
보다 많은 양의 자연치 보존을
우선으로 진료하고 있습니다.
관련해서 더 궁금하신 내용이 있거나,
예약 문의를 원하시는 분들이 계신다면
아래 첨부해 드리는 링크를 참고해 주시거나,
답변 달아주시면 빠르게 도와드리겠습니다.
그럼 이만 인사드리겠습니다.
감사합니다.
루시드치과의원 안녕하세요 행복을 드리는 루시드치과 입니다^^
pf.kakao.com
네이버 예약 :: 루시드치과의원 안녕하세요 [ 연예인 ] [ 인플루언서 ] [ 아이돌 ] [ 미인대회 ] 출신자들에게 사랑받는 강남 치과 루시드입니다 :) 저희 루시드 치과는 심미성과 기능 모두를 생각한 치과치료를 지향하고 있습니다 환자분들이 저희 치과에 오시기까지 수 많은 고민을 하셨다는 걸 정말 잘 알고 있습니다. 따라서 루시드에서는 최소한의 치료로 최대의 만족과 결과를 안겨드릴 수 있도록 노력하고 있습니다. 치아와 잇몸은 최대한 건드리지 않는 것이 가장 좋은 치료 방법입니다. 자연치를 지키면서 할 수 있는 방법을 최우선으로 하며, 치료시에도 자연치 손상을 적...
m.booking.naver.com
오시는 길 및 진료시간 안내 📍 📍 주소 서울 강남구 논현로111길 3, 상가 101, 102A 대로변 1층에 위치하여 있으며 9호선 언주역 2번출...
blog.naver.com

Explore More
Keep Browsing This Clinic's Korean Content Trail.
Return to the source archive for more posts, or move back to the clinic profile to compare the rest of the clinic's public channels.