루시드치과의원 LUCID Dental Clinic ルシード歯科 露西得牙科医院 LUCINATE ルシネート
앞니 치아 교정없이 하루만에 예뻐질 수 있는 이유 - 논현역 치과 라미네이트 시술후기
루시드치과의원 서울특별시 강남구 논현로111길 3 상가 1층 101, 102A 네이버 톡톡 궁금할 땐, 부담없이 물어보세요. talk.naver.com 모든 글은 환자의 동의하에 논현역 루시드 치과 대표원장인 제가 직접 작성하고 있습니다. "앞니 치아 사이가 벌어져서 안 예뻐요!" 역삼동 치과 하루만에 예뻐지는 루시네이트...
루시드치과의원 서울특별시 강남구 논현로111길 3 상가 1층 101, 102A
네이버 톡톡 궁금할 땐, 부담없이 물어보세요.
talk.naver.com
모든 글은 환자의 동의하에
논현역 루시드 치과 대표원장인
제가 직접 작성하고 있습니다.
"앞니 치아 사이가 벌어져서 안 예뻐요!" 역삼동 치과 하루만에 예뻐지는 루시네이트 시술 후기 이 게시글은 역삼동 루시드 치과 대표원장인 제가 직접 작성했습니다. 앞니는 어금니와 다르게 눈에 가장 ...
blog.naver.com
예전에는 앞니 치아가 삐뚤어지거나
위치가 제대로 맞지 않아 불편할 경우,
치아 교정 치료를 통해 해결했습니다.
다른 치료에 비해 시간이
오래 걸리는 편이기도 하고,
간혹 멀쩡한 치아를 발치하거나
손상되는 치아들이 가끔 발생한다는
단점이 있는 치료 중 하나였는데요
그렇지만 치열 혹은 안모 개선에
탁월한 효과가 있다는 장점이 있죠.
오랜 시간이 흘러 의료 기술이 발달하였고,
우리는 이제 꼭 치아 교정 치료가 아니더라도
쉽게 앞니 치료를 받을 수 있게 되었습니다.
이번 포스팅은 이를
조금 더 자세히 풀어 적은,
저의 개인적 견해를 담은
포스팅이라고 볼 수 있겠네요
루시드의 라미네이트 🌷 🌷예뻐지기 위해 하는 라미네이트, 그런데 소중한 내 치아를 일부 깎아내고 해야 된다는 사실 알고 계셨...
blog.naver.com

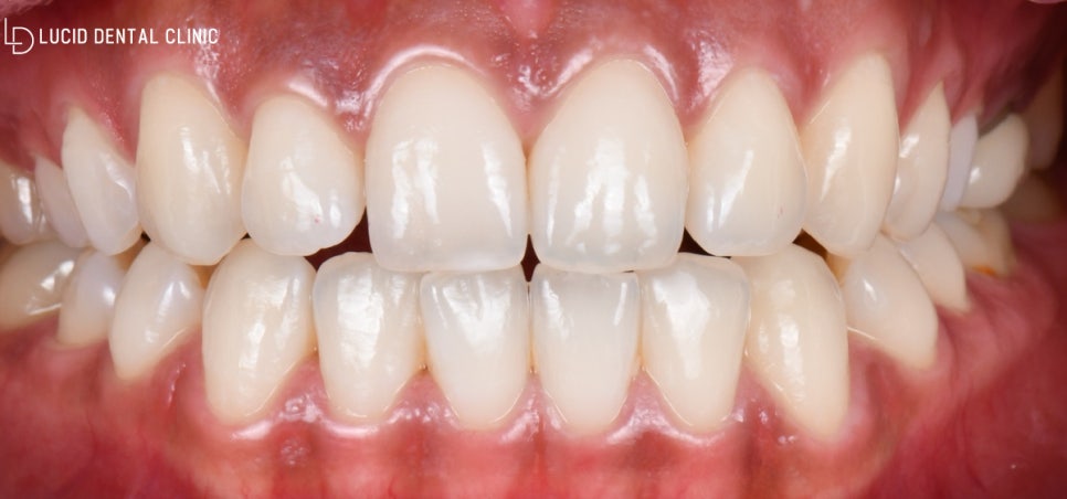
처음 환자분께서 찾아오셨을 때
위와 같이 구내 포토를 촬영하여
정밀 구강 검진을 진행했었는데요
가로 세로를 쭉 이어서 그은
정중선을 통해 심미성을 확인하면

이렇게 양옆 치아가 조화롭지 못하고
크기가 불일치한 모습을 볼 수 있었습니다.
물론 치아 기능적인 면에선
크게 문제를 일으키지 않는데요
간혹, 주변 치아와 맞지 않는 크기 및
위치로 인해 형성된 공간으로 음식물 잔사 혹은
치태 등이 끼며 충치가 나타나거나
이시림 증상이 동반될 가능성은 있습니다.
그렇지만 심미적인 부분에선
큰 영향을 줄 수밖에 없는데요
그 이유는 바로,
치아의 위치 떄문입니다.


앞니 치아의 경우 어금니와 달리
바로 보이는 곳, 전방에 자리 잡고 있으며
식사를 하거나 상대방과 대화를 나눌 때
특히 눈에 잘 들어오는 곳에 위치하고 있는데요
이로 인해 만약 치아의 배열이 틀어져 있거나
심미적인 부분에서 불편감을 일으키고 있을 경우,
자신감이 크게 떨어지거나 신경이 계속 쓰여
일상 생활에 지장을 주는 경우가 발생하곤 합니다.
논현역 치과 에선 이럴 경우
몇 가지 치료 옵션을 제안해 드리며
직접 고르실 수 있게 도와드리고 있는데요
-
치아 교정 치료
-
라미네이트 시술
-
크라운 보철 수복
보통 이렇게 세 가지로 나뉘곤 합니다.
물론 각각의 치료가 가지고 있는
장/단점을 함께 설명해 드리고 있는데요
이번 환자께선 하루 빨리 개선하고,
치아를 더 보존하길 원한다며 결국 2번
라미네이트 시술을 선택하셨습니다.
루시드치과의원 논현동 역삼동 임플란트, 라미네이트, 치아교정, 투명교정 치과
루시드의 라미네이트 🌷 🌷예뻐지기 위해 하는 라미네이트, 그런데 소중한 내 치아를 일부 깎아내고 해야 된다는 사실 알고 계셨...
blog.naver.com
논현역 루시드 치과 에서는
앞니 치아의 경우 라미네이트 시술 즉,
루시네이트를 진행하고 있습니다.
최근 라미네이트 시술을 받을 수 있는 곳이
늘어나면서 어디를 가야 될지, 어떤 점이 나에게
좋은 것인지 몰라 고민하시는 분들도
굉장히 많으실 거라 예상되는데요
본원에서 시행하는 루시네이트에 대해
간략히 설명해 드리고 넘어갈까 합니다.
- 루시네이트 두께

본원에서는 많은 양의 자연치 보존을
원칙으로 삼으며 진료하고 있습니다.
어느 누가 아까운 내 치아
뽑고 깎고 치료받고 싶겠어요
그 마음 저도 충분히 잘 알고 있어,
이 부분은 쉽게 꺾이지 않는 저의 고집이자
치과의 원칙으로 삼고 있습니다...
- 얇은 보철 제작

본원에서 제작하는 라미네이트 보철은
기존 보철 제작 방식과는 조금 다릅니다.
기존 방식이 아닌 CEREC 밀링기를 이용하여
보다 정밀하고 세심한 제작이 가능한데요
최대한 얇은 두께로 제작하기 때문에
편안한 착용감을 느끼실 수 있습니다.
+) 더 자세한 내용은
본원으로 연락 주셔도 좋고,
혹은 제가 첨부해 드린 링크
참고해 주시면 좋을 것 같습니다 ㅎㅎ
보철은 늘 같은 모습, 같은 형태로
제작하는 것이 아니라 환자의 구강에 맞춰
세심하게 제작해 드리고 있는데요
Shade guide 를 통해
보철의 색조를 함께 결정하고,
환자께서 원하시는 색조에 따라
맞춤형으로 제작하고 있기 때문에
아마 결과는 조금씩 다르게 나올 겁니다.

바로 이렇게 말이죠.
+) 이번 환자께선 조금 더 밝은 색조와
이상적인 형태를 원하셔서 그에 맞춰
제작 후 최종 확인까지 마친 다음
루시네이트 시술을 종료해 드렸습니다.
결과가 잘 나와 저도 뿌듯한 마음으로
주의 사항까지 설명해 드릴 수 있었는데요
이와 관련된 내용은 바로 밑에 첨부된
링크 참고해서 지켜주시길 바랍니다 :)
⬇️⬇️⬇️
역삼동 치과 라미네이트 시술 후 관리 방법, 이것만 지키면 됩니다. 반갑습니다, 여러분! 모두 설 연휴 잘 보내셨나요? 설 연휴를 보내면서 제가 라미네이트 관련 글을 읽어서 ...
blog.naver.com
제가 오늘 준비한 루시네이트 시술
후기는 아쉽지만 여기까지였습니다.
사람마다 가지고 있는 문제와 정도가
모두 다르기 때문에 진단부터 결과까지
각각 다르게 나올 수밖에 없는데요
만약, 지금 구강에 조금이라도
이상한 점이나 문제가 나타나고 있다면
빠른 확인 및 조기 처치를 위해
논현역 루시드 치과 로 내원하시면
정밀 진단 및 치료 계획 수립으로
빠르게 도와드리도록 하겠습니다.
그럼 저는 다음 포스팅에서 만나요 :)
루시드치과의원 안녕하세요 행복을 드리는 루시드치과 입니다^^
pf.kakao.com
네이버 예약 :: 루시드치과의원 안녕하세요 [ 연예인 ] [ 인플루언서 ] [ 아이돌 ] [ 미인대회 ] 출신자들에게 사랑받는 강남 치과 루시드입니다 :) 저희 루시드 치과는 심미성과 기능 모두를 생각한 치과치료를 지향하고 있습니다 환자분들이 저희 치과에 오시기까지 수 많은 고민을 하셨다는 걸 정말 잘 알고 있습니다. 따라서 루시드에서는 최소한의 치료로 최대의 만족과 결과를 안겨드릴 수 있도록 노력하고 있습니다. 치아와 잇몸은 최대한 건드리지 않는 것이 가장 좋은 치료 방법입니다. 자연치를 지키면서 할 수 있는 방법을 최우선으로 하며, 치료시에도 자연치 손상을 적...
m.booking.naver.com

Explore More
Keep Browsing This Clinic's Korean Content Trail.
Return to the source archive for more posts, or move back to the clinic profile to compare the rest of the clinic's public channels.