루시드치과의원 LUCID Dental Clinic ルシード歯科 露西得牙科医院 LUCINATE ルシネート
언주역 치과 라미네이트 잘하는 기준 (ft. 전후 비교 주의 사항)
루시드치과의원 서울특별시 강남구 논현로111길 3 상가 1층 101, 102A 언주역 9호선 서울특별시 강남구 봉은사로 201 네이버 톡톡 궁금할 땐, 부담없이 물어보세요. talk.naver.com 루시드 치과 한 눈에 보기👀 의료진 소개 오시는 길 및 진료시간 안내 루시드의 특별함 루시드의 스케일링 루시드의 임플란트...
루시드치과의원 서울특별시 강남구 논현로111길 3 상가 1층 101, 102A
언주역 9호선 서울특별시 강남구 봉은사로 201
네이버 톡톡 궁금할 땐, 부담없이 물어보세요.
talk.naver.com
루시드 치과 한 눈에 보기👀 의료진 소개 오시는 길 및 진료시간 안내 루시드의 특별함 루시드의 스케일링 루시드의 임플란트 루시드치...
blog.naver.com
이 글은 언주역 루시드 치과
대표원장인 제가 직접 작성하고 있으며,
환자의 동의하에 업로드하고 있습니다.
앞니 치아 교정없이 하루만에 예뻐질 수 있는 이유 - 논현역 치과 라미네이트 시술후기 모든 글은 환자의 동의하에 논현역 루시드 치과 대표원장인 제가 직접 작성하고 있습니다. 예전에는 앞니 ...
blog.naver.com
오늘은 저희 언주역 치과 에서
직접 치료를 진행했던 사례들 중
하나를 소개해 드리려 합니다.
그냥 치과 홍보하는 글이라고
느끼실 수도 있으실 것 같지만,
- 라미네이트 시술을 할 때
어떤 점을 가장 중요시해야 되는지
- 라미네이트 시술과 치아 미백의
차이점은 어떤 것들이 있는지 등등
여러분께 관련된 치아 상식을
함께 소개하고 싶어 작성하는 것이니
그런 생각은 접어주셨으면 합니다.
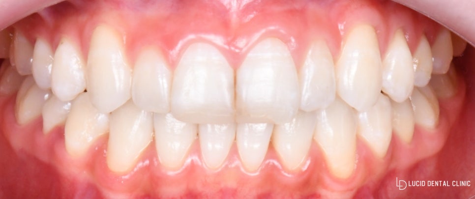
- 앞니 색깔이 달라졌어요.

환자께서 위와 같은 주소와 모습으로
언주역 루시드 치과 에 찾아오셨는데요
여러분께선 위 사진을 보시고
어떤 점이 문제인지 아시겠나요??

위턱 앞니를 자세히 보시면
하단으로 이동할 수록 주변 치아와 달리
거뭇한 변색이 일어난 모습을
확인하실 수 있으실 겁니다.
치아 변색이 일어나는 원인은
생각보다 여러 가지로 나눌 수 있는데요
'외적 요인'과 '내적 요인'
이렇게 크게 두 가지로 나뉘며
외상, 노화, 치아 내부 조직의 손상
그리고 잘못된 식습관, 구강 관리 등
조금만 관리를 소홀히 해도
착색은 쉽게 나타날 수 있습니다.
- 라미네이트 vs 치아 미백
그럼 과연 라미네이트 시술과 치아 미백
둘 중 어느 것이 착색 해결에 큰 도움이 될까요?
사실 이러한 문제들은 여러 변수에 따라
본인에게 맞는 시술을 받는 것이 좋은데요
무조건 치아 미백
무조건 라미네이트
이렇게 두 가지로 나뉘는 것이 아니라
각각의 장단점을 시작으로 환자의 구강 환경이
모두 다르게 나타나며, 문제의 정도에 따라
받을 수 있는 처치 방법이 달라지게 됩니다.
그럼 자연스럽게 치료 결과 또한 달라지곘죠.
보통 치아 모양 또는 배열에
상관없이 색조만 바꾸고 싶다면
치아 미백 시술을,
왜소치, 이 깨짐 등의 문제로
색조와 형태 모두 바꾸고 싶다면
라미네이트 시술 을
권장해 드리고 있습니다.
무조건적인 시술을 받으려 하지 마시고,
본인의 구강 환경이 어떤 상태이며
어떤 시술이 나에게 적합한 치료인지
전문 의료진과 충분히 상담하시고
신중하게 결정하시길 바랍니다 :)
관련된 내용을 이전에 다룬 적이 있으니
하단 첨부해 드린 링크 참고 부탁드립니다.
⬇️⬇️⬇️
내 치아는 미백 VS 라미네이트 어떤 걸 받아야 될까? - 서초동 치과 의 구강 상식 소개 반갑습니다, 여러분 :) 서초동 루시드 치과 입니다. 오늘의 구강 상식 소개는 지금 이 글을 누르고 들어오...
blog.naver.com
- 앞니 라미네이트
이번 환자꼐선 언주역 치과 와의 의논 끝에
앞니 라미네이트 시술을 진행하기로 했는데요
본원에서 시행하는 라미네이트 시술
즉, 루시네이트 시술은 일반 방식과는 달리
몇 가지 장점들을 가지고 있습니다.
예전에는 기술이 그닥 좋지 않아
라미네이트 시술을 받기 위해선
치아 표면 일부분을 삭제하거나
치관을 크게 깎아내야 됐는데요
이러한 과정들로 인해
자연치 보존량이 크게 줄어들었거나
치아 삭제량이 비교적 크다는 이유로
라미네이트 시술을 꺼려하는 분들이
생각보다 주변에 꽤 많이 계셨습니다.
하지만, 언주역 치과 는
적은 치아 삭제량을 지향하고 있으며
최첨담 cerec 밀링기 기기를 통해
이를 현실로 실천해 드리고 있습니다.
+) 실제 저희 본원에서 치료받으신 분들이라면
해당 부분에 대해선 어느 정도 알고 계실 겁니다.
이번 케이스의 환자분 또한
위와 같은 이유들을 토대로
루시네이트 시술을 받기로
결정하셨던 건데요
원하시는 치아 모습과 형태를
만들어 드리기 위해 함께 치료 계획을 수립하고
당일 루시네이트 시술에 들어가기로 했습니다.

환자의 기존 치아 모습을 그대로 유지하고,
shade guide 를 통해 결정한 보철의 색조를 토대로
세밀하고 정밀하게 보철을 제작해 드렸습니다.
본원에서는 cerec 밀링기를 통해
단 하루만에 루시네이트 시술을 마치며
빠른 일상 복귀가 가능한데요

이렇게 초진 모습과는 달리
심미성이 크게 향상된 형태로
구강 고민을 해결해 드리며
환자께서도 치료 결과에 대해
크게 만족스러워 하셨습니다.
- 정리
이렇게 언주역 루시드 치과 에서
라미네이트 시술 사례를 가지고
관련된 내용에 대해 알아봤는데요
라미네이트 시술과 치아 미백
어느 시술을 받아야 되는지,
어느 것이 나에게 적합한 시술인지
전문 의료진과 충분히 상담하며
결정하시길 바랍니다.
그럼 저는 다른 사례를 가지고
다시 찾아뵙도록 하겠습니다.
감사합니다.
루시드의 라미네이트 🌷 🌷예뻐지기 위해 하는 라미네이트, 그런데 소중한 내 치아를 일부 깎아내고 해야 된다는 사실 알고 계셨...
blog.naver.com
루시드치과의원 안녕하세요 행복을 드리는 루시드치과 입니다^^
pf.kakao.com
네이버 예약 :: 루시드치과의원 안녕하세요 [ 연예인 ] [ 인플루언서 ] [ 아이돌 ] [ 미인대회 ] 출신자들에게 사랑받는 강남 치과 루시드입니다 :) 저희 루시드 치과는 심미성과 기능 모두를 생각한 치과치료를 지향하고 있습니다 환자분들이 저희 치과에 오시기까지 수 많은 고민을 하셨다는 걸 정말 잘 알고 있습니다. 따라서 루시드에서는 최소한의 치료로 최대의 만족과 결과를 안겨드릴 수 있도록 노력하고 있습니다. 치아와 잇몸은 최대한 건드리지 않는 것이 가장 좋은 치료 방법입니다. 자연치를 지키면서 할 수 있는 방법을 최우선으로 하며, 치료시에도 자연치 손상을 적...
m.booking.naver.com

Explore More
Keep Browsing This Clinic's Korean Content Trail.
Return to the source archive for more posts, or move back to the clinic profile to compare the rest of the clinic's public channels.