루시드치과의원 LUCID Dental Clinic ルシード歯科 露西得牙科医院 LUCINATE ルシネート
벌어진 앞니 치아 개선법, 무삭제 라미네이트 시술! 선정릉역 치과 에서 받아볼 수 있습니다.
루시드치과의원 서울특별시 강남구 논현로111길 3 상가 1층 101, 102A 언주역 9호선 서울특별시 강남구 봉은사로 201 네이버 예약 :: 루시드치과의원 안녕하세요 [ 연예인 ] [ 인플루언서 ] [ 아이돌 ] [ 미인대회 ] 출신자들에게 사랑받는 강남 치과 루시드입니다 :) 저희 루시드 치과는 심미성과 기능 모두를...

루시드치과의원 서울특별시 강남구 논현로111길 3 상가 1층 101, 102A
언주역 9호선 서울특별시 강남구 봉은사로 201
네이버 예약 :: 루시드치과의원 안녕하세요 [ 연예인 ] [ 인플루언서 ] [ 아이돌 ] [ 미인대회 ] 출신자들에게 사랑받는 강남 치과 루시드입니다 :) 저희 루시드 치과는 심미성과 기능 모두를 생각한 치과치료를 지향하고 있습니다 환자분들이 저희 치과에 오시기까지 수 많은 고민을 하셨다는 걸 정말 잘 알고 있습니다. 따라서 루시드에서는 최소한의 치료로 최대의 만족과 결과를 안겨드릴 수 있도록 노력하고 있습니다. 치아와 잇몸은 최대한 건드리지 않는 것이 가장 좋은 치료 방법입니다. 자연치를 지키면서 할 수 있는 방법을 최우선으로 하며, 치료시에도 자연치 손상을 적...
m.booking.naver.com
이 글은 선정릉역 루시드 치과
대표원장인 제가 직접 쓰는 글이며,
환자의 동의하에 개시하고 있음을
글 시작 전 미리 알려드립니다.
안녕하세요 여러분
오늘은 제가 구강 상식 주제가 아닌,
임상 사례를 가지고 찾아왔는데요
구강 상식을 소개해 드리고,
사례들을 알려드리면서 라미네이트
시술을 받기 위해 찾아오시는 환자분들이
계속해서 늘어나고 있는 것 같습니다.
찾아와주시고, 믿고 치료를 받아주시는
환자분들께 다시 한 번 감사하다는
인사 드리고 싶습니다, 감사합니다 :)
- 앞니 사이가 벌어졌어요.
이번 환자꼐선 벌어진 앞니 치아가
고민이라며 본원에 찾아오셨는데요
이전부터 조금 벌어진 느낌이 있었으나,
시간이 갈 수록 앞니 사이가 계속 벌어지는 기분이 들어 선정릉역 치과 에 오셨다고 합니다.


환자의 구강 환경을 면밀히 분석하니
위와 같은 모습을 관찰할 수 있었는데요
1️⃣위턱은 주소로 말씀하신 것처럼
유독 앞니 사이가 벌어져 있었고,
2️⃣ 아래턱은 앞니들의 절단면이 모두
삐뚤삐뚤 불일치한 모습을 보이고 있었습니다.
치아 사이 벌어진다고
뭐 문제될 점이 있나요?
A : 당연히 있습니다!

앞니 치아 사이가 벌어지게 되면
그 사이로 음식물 잔사나 치태, 치석 등이
비교적 쉽게 낄 수밖에 없는데요
이를 제때 제거하고 관리해 주면 좋겠지만
그렇지 못할 경우, 제거되지 못한 불순물들이
치석에서 충치로 변하고 결국 주변 치아에까지
악영향을 끼칠 수 있어 빠른 시일 내로
처치하는 것이 좋다고 말씀드리고 있습니다.
- 벌어진 앞니 사이, 어떻게 해결할까요?
벌어진 앞니 치아를 해결하기 위해선
치아교정 혹은 크라운이나 브릿지 등의
보철 수복을 진행하는 방법이 있는데요
이러한 치료들은 모두 일정 범위 이상의
치아 삭제량을 필요로 하는 치료이기 때문에
많은 양의 치아를 보존하긴 어려운 편입니다.
특히, 치아 교정은 시간도 오래 걸리죠.
대부분의 환자들은
심미적인 부분을 빠른 시일 내로
개선하길 원하십니다.
그렇다면 벌어진 앞니 사이,
어떤 방법으로 해결해야 될까요?
선정릉역 치과 는 정답을 알고 있습니다.
그건 바로, [무삭제 라미네이트] 시술이죠.
루시드의 라미네이트 🌷 🌷예뻐지기 위해 하는 라미네이트, 그런데 소중한 내 치아를 일부 깎아내고 해야 된다는 사실 알고 계셨...
blog.naver.com
본원에서 시행하는 루시네이트 시술은
최소삭제 혹은 무삭제로 진행하고 있는데요
게다가 cerec 밀링 기기를 이용하여
0.01mm 두께의 보철을 하루만에 제작할 수 있어
빠른 시일 내로 치료를 종료할 수 있습니다.
- 바쁜 현대 사회, 치료 단 하루만에
일상 복귀가 가능하다는 점은 굉장히
큰 장점이라고 생각합니다 ㅎㅎ
직장인, 학생, 타지역 환자분들께서
특히나 좋아하시는 부분이기도 해요 :)
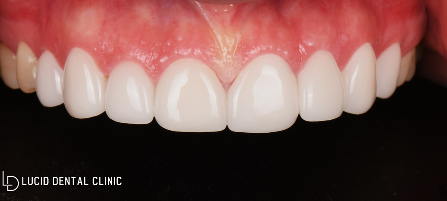
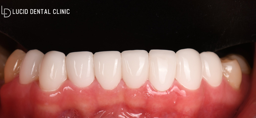
- 무삭제 라미네이트 시술 후
선정릉역 치과 에서 라미네이트 시술 종료 후
치료 전/후 모습을 비교해 봤는데요


Previous image Next image
어떤가요?
이전과 달리 밝아진 치아 색조와
이상적인 둥근 형태를 갖춤으로서
벌어진 치아의 외관뿐만 아니라
심미적인 기능을 향상시키며 계획한
라미네이트 시술 과정을 마쳤는데요
환자께선 단 하루만에 이런 결과물이
나올 수 있다는 게 믿기지 않는다며
엄청 신기해 하시더라고요 ㅎㅎ
이전 모습으로 되돌아가지 못하도록
간단한 주의사항과 구강 관리법을
안내해 드린 뒤, 다음 검진 일정을 잡고 니서
치료 종료 선언을 내릴 수 있었습니다.


- 정말 예쁘게 잘 나왔죠? ㅎㅎ
- 오늘은 여기까지!
선정릉역 치과 는 자연치 보존을 지향하며
삭제량을 최대한 줄이고, 보다 얇은 보철을 제작하여
라미네이트 시술을 진행하고 있습니다.
저는 제 환자 누구든 트라우마,
고민, 떨어지는 자존감 등 아무런 문제없이
예쁜 치아로 생활하셨으면 좋겠습니다.
누구나 예쁘고 가지런한 치아를
가질 수 있게 도와드리겠습니다.
예약 및 오시는 길은
아래 링크 참고하셔서
내원 부탁드립니다 :)
선정릉역 주변에 위치한
루시드 치과 의 라미네이트 시술!
1층에 위치하여 이동이 편하니
언제든 편하게 만나보세요 :)
오시는 길 및 진료시간 안내 📍 📍 주소 서울 강남구 논현로111길 3, 상가 101, 102A 대로변 1층에 위치하여 있으며 9호선 언주역 2번출...
blog.naver.com
루시드치과의원 안녕하세요 행복을 드리는 루시드치과 입니다^^
pf.kakao.com
무삭제 라미네이트 받으러 가보자!
루시드치과의원 서울특별시 강남구 논현로111길 3 상가 1층 101, 102A
https://m.booking.naver.com/booking/13/bizes/875966
보다 적은 치아 삭제량 & 0.01mm 얇은 보철!
Explore More
Keep Browsing This Clinic's Korean Content Trail.
Return to the source archive for more posts, or move back to the clinic profile to compare the rest of the clinic's public channels.