루시드치과의원 LUCID Dental Clinic ルシード歯科 露西得牙科医院 LUCINATE ルシネート
틀어진 앞니 & 치아 시림, 역삼역 치과 원데이 루시네이트로 하루만에 개선할 수 있습니다.
루시드치과의원 서울특별시 강남구 논현로111길 3 상가 1층 101, 102A 언주역 9호선 서울특별시 강남구 봉은사로 201 네이버 예약 :: 루시드치과의원 안녕하세요 [ 연예인 ] [ 인플루언서 ] [ 아이돌 ] [ 미인대회 ] 출신자들에게 사랑받는 강남 치과 루시드입니다 :) 저희 루시드 치과는 심미성과 기능 모두를...
루시드치과의원 서울특별시 강남구 논현로111길 3 상가 1층 101, 102A
언주역 9호선 서울특별시 강남구 봉은사로 201

네이버 예약 :: 루시드치과의원 안녕하세요 [ 연예인 ] [ 인플루언서 ] [ 아이돌 ] [ 미인대회 ] 출신자들에게 사랑받는 강남 치과 루시드입니다 :) 저희 루시드 치과는 심미성과 기능 모두를 생각한 치과치료를 지향하고 있습니다 환자분들이 저희 치과에 오시기까지 수 많은 고민을 하셨다는 걸 정말 잘 알고 있습니다. 따라서 루시드에서는 최소한의 치료로 최대의 만족과 결과를 안겨드릴 수 있도록 노력하고 있습니다. 치아와 잇몸은 최대한 건드리지 않는 것이 가장 좋은 치료 방법입니다. 자연치를 지키면서 할 수 있는 방법을 최우선으로 하며, 치료시에도 자연치 손상을 적...
m.booking.naver.com
이 글은 역삼역 루시드 치과
대표원장인 제가 직접 작성하고 있는
글임을 미리 알려드립니다 ^^
앞니는 어금니와 달리 다른 사람 눈에
쉽게 들어오는 위치에 자리 잡고 있기 때문에
심미적인 영향을 크게 주는데요
이는 심리적인 영향을 함께 미치기 때문에
자신감이나 자존감이 하락하는 등의 현상을
불러일으키는 경우도 종종 있곤 합니다.
- 실제로 위와 같은 이유로
역삼역 치과 에 내원하시는 환자분들이
요즘 들어 많이 계십니다.
그래서 오늘은 이러한 문제를
원데이 라미네이트 시술(클릭✔️)로
한 번에 해결해 드린 이야기를
임상 사진을 함께 보여드리며
설명해 드리려고 합니다.
- 앞니가 너무 시리고 안 예뻐요
환자께선 유독 위턱 앞니 치아가
삐뚤어지고, 시린 증상이 심하다며
정밀 검진을 요청해 주셨는데요
역삼역 치과 에서 곧바로 검진을 시행하니
아래와 같은 모습을 확인할 수 있었습니다.

위 아래 일직선으로 그은 정중선을
가운데에 올려놓고 배열을 확인해 보면
현재 양옆 치아(13~23번) 모두
크기 불일치를 나타나고 있었으며
이로 인해 심미적인 불편감을
일으키고 있는 상태였습니다.
게다가 문제는 그뿐만이 아니라,

치아와 잇몸 경계부에도
나타나고 있었는데요
치은이 일정 범위 이상 퇴행하며
내부 조직이 바깥으로 드러나자,
시림 증상이 동반되고 있었습니다.
환자께선 거울을 볼 때마다
치아 배열이 맞지 않고 심미성이 떨어져,
자신감이 크게 떨어진 상태라며 하루 빨리
개선하고 싶다는 의향을 보여주셨는데요
역삼역 치과 는 곧바로 검진을 마치고,
환자 구강에 맞는 치료 계획을 수립하기 위해
의논하는 시간을 가지기로 했습니다.
- 역삼역 치과 가 선택한 치료 방법은?
환자께서 원하시는 치료 방향을 알아보며
가장 알맞는 치료 계획을 수립해 봤는데요
우선, 환자께선
- 빠른 치료 기간
- 치아교정 치료 x
- 밝고 심미성 높은
색조 & 형태
이렇게 3가지를 우선으로
치료하길 원하셨습니다.
사실 치아교정 치료를 받지 않은 채
틀어지고 각도가 맞지 않은 치아를 개선하기 위해선
일정량의 치아 삭제량이 필요했는데요
크라운 보철을 수복하여 진행하기엔
주변 치아의 삭제량이 아깝다고 여겨졌습니다.
따라서, 역삼역 루시드 치과 에선
✅ 단 하루만에 치료를 종료할 수 있고
원하시는 색조 및 형태의 보철을 부착하는
원데이 라미네이트 시술 즉, 루시네이트로
문제를 개선하기로 결정하였습니다.

무삭제 혹은 최소 삭제로 이루어지는
역삼역 치과 의 루시네이트 시술은
1️⃣ 치아 표면을 삭제하지 않고
치료 과정에 필요한 만큼만 다듬고,
(평균 0.1mm~0.2mm)
2️⃣ cerec 밀링 기기를 이용하여
단 하루만에 이상적인 보철 제작을 마쳐
빠르게 일상으로 복귀할 수 있습니다.
- 그래서인지 학생이나 직장인
혹은 멀리 지방에 거주하고 계시는 분들께서
해당 치료를 많이 선호하시곤 합니다.
+) 해당 치료 계획은
환자의 구강 환경에 따라
1:1 맞춤형으로 계획했으며,
환자의 동의하에 진행되었습니다.
루시드의 라미네이트 🌷 🌷예뻐지기 위해 하는 라미네이트, 그런데 소중한 내 치아를 일부 깎아내고 해야 된다는 사실 알고 계셨...
blog.naver.com
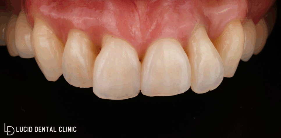
- 원데이 루시네이트 시술 종료
환자의 경우, 치아의 크기가 일치하지 않아
크기 불일치 및 심미적 불편감을 일으키고 있어
일정량의 삭제량이 필요한 상태였는데요
표면에 보철을 장착할 수 있도록 다듬고,
제작한 라미네이트 보철을 위에 부착하여
계획한 치료를 모두 종료하였습니다.
보철의 경우, 환자께서 조금 더 밝고,
심미적인 형태로 제작되길 원하셔서
최대한 의견을 반영해 드렸습니다 :)
그 결과

이렇게 심미적인 모습을 되찾을 수 있었죠.

루시네이트 치료 전후를 비교해 보면
누렇게 착색되고, 크기 불일치를 보였던 앞니의
심미적인 부분이 비교적 크게 형상되었으며,
틀어지고 맞지 않던 치아 배열까지
한 번에 개선된 걸 알 수 있을 겁니다.

환자께서도 이제 웃는 것도 기분 좋다며
치료받길 너무 잘했다는 후기를 들려주시곤
다음 검진을 약속하고 가셨습니다.
이런 후기 들을 때마다 기분이 너무 좋네요 ㅎㅎ
- 라미네이트 잘하는 역삼역 치과,
오늘의 임상 이야기는 여기까지입니다.
라미네이트 시술, 예전과 달리
의료 기술이 발달하며 더는 우리 자연치아를
무작정 깎거나 삭제할 필요가 없습니다.
딱! 필요한 만큼만 다듬고,
원하는 모양과 색조로 만든 보철을 부착하여
빠르게 치료를 마무리할 수 있죠.
1️⃣ 치아 변색
- 누렇게 / 까맣게
2️⃣ 벌어진 치아 사이
3️⃣ 치아 손상 혹은 파절
4️⃣ 치아 크기 및 배열 불규칙
혹시 위 증상들 중 하나라도 해당된다면
역삼역 루시드 치과 에서 원데이 루시네이트로
함께 고민 해결해 보는 건 어떨까요?
상담 및 예약 문의를 원하시는 분들은
아래 첨부해 드린 링크 참고 부탁드립니다 :)
그럼 전 여기서 이만 인사드릴게요.
끝까지 봐주신 분들 모두
행운 가득한 하루 되시길 바랍니다!
루시드치과의원 안녕하세요 행복을 드리는 루시드치과 입니다^^
pf.kakao.com
네이버 예약 :: 루시드치과의원 안녕하세요 [ 연예인 ] [ 인플루언서 ] [ 아이돌 ] [ 미인대회 ] 출신자들에게 사랑받는 강남 치과 루시드입니다 :) 저희 루시드 치과는 심미성과 기능 모두를 생각한 치과치료를 지향하고 있습니다 환자분들이 저희 치과에 오시기까지 수 많은 고민을 하셨다는 걸 정말 잘 알고 있습니다. 따라서 루시드에서는 최소한의 치료로 최대의 만족과 결과를 안겨드릴 수 있도록 노력하고 있습니다. 치아와 잇몸은 최대한 건드리지 않는 것이 가장 좋은 치료 방법입니다. 자연치를 지키면서 할 수 있는 방법을 최우선으로 하며, 치료시에도 자연치 손상을 적...
m.booking.naver.com
오시는 길 및 진료시간 안내 📍 📍 주소 서울 강남구 논현로111길 3, 상가 101, 102A 대로변 1층에 위치하여 있으며 9호선 언주역 2번출...
blog.naver.com
네이버 톡톡 궁금할 땐, 부담없이 물어보세요.
talk.naver.com
Explore More
Keep Browsing This Clinic's Korean Content Trail.
Return to the source archive for more posts, or move back to the clinic profile to compare the rest of the clinic's public channels.