루시드치과의원 LUCID Dental Clinic ルシード歯科 露西得牙科医院 LUCINATE ルシネート
어금니 통증 알고 보니 염증 질환? 신논현역 치과 디지털 임플란트 로 되찾은 치아 기능
루시드치과의원 서울특별시 강남구 논현로111길 3 상가 1층 101, 102A 언주역 9호선 서울특별시 강남구 봉은사로 201 이 글은 루시드 대표원장인 저 박현민이 직접 쓰는 글이며, 환자의 동의하에 작성하고 있음을 미리 알려드립니다. 루시드 치과 한 눈에 보기👀 의료진 소개 오시는 길 및 진료시간 안내 루시드의...
루시드치과의원 서울특별시 강남구 논현로111길 3 상가 1층 101, 102A
언주역 9호선 서울특별시 강남구 봉은사로 201

이 글은 루시드 대표원장인
저 박현민이 직접 쓰는 글이며,
환자의 동의하에 작성하고
있음을 미리 알려드립니다.
루시드 치과 한 눈에 보기👀 의료진 소개 오시는 길 및 진료시간 안내 루시드의 특별함 루시드의 스케일링 루시드의 임플란트 루시드치...
blog.naver.com
안녕하세요.
신논현역 루시드 치과
대표원장 박현민입니다.
10월이 되고 가을이 왔다며 좋아한 게
엊그제 같았는데, 벌써 날씨가 많이 쌀쌀하네요
다들 겉옷 꼭 들고 다니시고
감기 조심하시길 바랍니다 :)
오늘 제가 가져온 임상 케이스는
어금니 임플란트로 준비했는데요
이번 사레 속 환자께선
-
어금니 통증
-
비어있는 어금니
두 가지 구강 고민을 가지고
본원에 찾아와 주셨습니다.
치아를 발치한 지 시간이 오래 지나,
이제는 임플란트 수술을 받고 싶다며
검진과 상담을 함께 요청해 주셨는데요
당시 모습을 함께 보면서
검진 결과와 치료 게획을 한 번
설명해 드리도록 하겠습니다.
- 만약, 이번 환자와 같이
치아 통증을 가지고 계시거나,
발치 후 시간이 오래 지난 분들이 게신다면
오늘 이 글을 끝까지 읽어보시길 바랍니다.

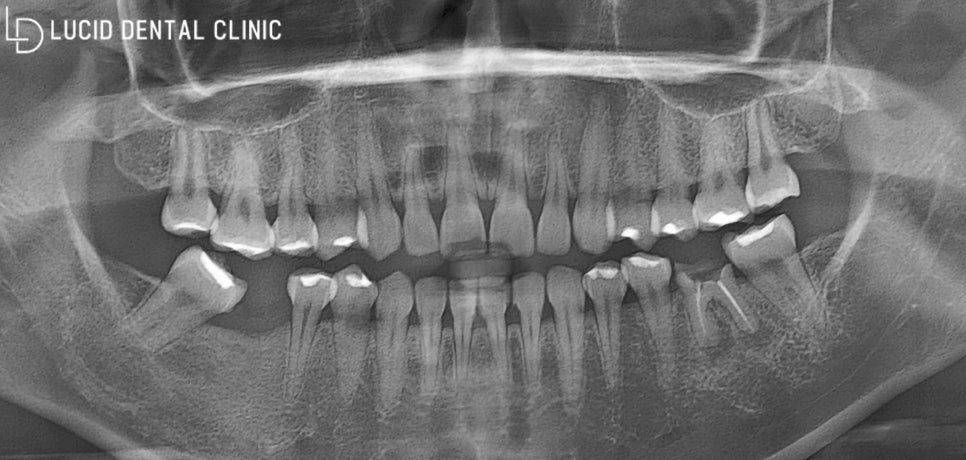
먼저 디지털 엑스레이 사진을 통해
환자의 구강 환경을 면밀히 살펴봤습니다.
환자께서 주소로 말씀해 주신 부분을
중점으로 조금 더 자세히 관찰해 볼게요.
먼저, 사진을 기준으로
왼쪽부터 살펴보겠습니다.

사진에 표시해 드린 것처럼
여러 문제점이 관찰되고 있는데요
- 발치 후 시간이 오래
지나면서 생긴 치조골 흡수
- 반대편 어금니 치아 정출
- 인접치아 기울어짐
이렇게 3가지로 말씀드릴 수 있겠습니다.
우리 치아들은 가만히 있는 것처럼 보여도
각자 조금씩 움직이려는 특징을 가지고 있는데요
발치 후 빠른 시간 안에
빈 자리를 채워 넣지 않으면
반대편 치아가 점점 솟구쳐 올라오고(정출)
주변 치아가 빈 자리로 기울어지는 증상이 나타나
정상 치열에서 벗어날 가능성이 있습니다.
- 그럼 자연스럽게 저작 활동부터
연하, 발음 등의 기능에 문제가 생기고
제대로 먹지 못하니 영양 실조 혹은
턱관절 질환 등의 전신 질환이 나타나게 되죠.
그럼 반대편 상황도 한 번 살펴볼까요?

다행히 치아 정출이 나타나진 않았지만
치아 뿌리 주변에 염증이 자리 잡고 있었고,
치아 머리 즉, 치관 소실이 일어났습니다.
이로 인해 치아 통증이 나타난 것으로 보입니다.
양쪽 치아가 모두 문제를 일으키고 있으니,
얼마나 불편하셨을지 상상조차 가지 않네요...
곧장 위와 같은 검진 결과를 바탕으로
환자와 함께 의논하는 시간을 가져봤습니다.
✅ 사진을 기준으로 오른쪽 치아엔
염증과 치관 소실이 광범위하게 일어났고
왼쪽 치아는 정출과 함께 치조골 흡수가 일어나
다수의 치료가 필요할 것으로 판단되었는데요
신논현역 치과 는 환자와의 의논 끝에
아래와 같은 치료 게획을 수립하였습니다.
- 발치로 비어있는 어금니
-> 뼈이식 과정 + 임플란트
- 기울어진 치아
-> 신경치료 + 크라운 수복
- 치관이 소실된 어금니
-> 발치 후 임플란트 식립
루시드의 임플란트 🦷 임플란트는 제 2의 치아로 불리는 만큼 자연치처럼 편안하고 튼튼해야됩니다. 그러기 위해서 재료에서 부터...
blog.naver.com
브릿지 보철을 수복하는 방법도 있었으나,
해당 방법은 치료 부위 양옆의 치관을 삭제하여
보철을 씌워야 된다는 단점을 가지고 있는데요
✅ 굳이 멀쩡한 자연치아를 삭제하여
보철을 씌우기엔 비효율적이란 판단이 들어
사라진 치아 기능을 대신할 수 있도록
임플란트 식립을 진행하기로 결정했으나,
치조골 흡수로 고정력을 기대하기 어려워
이를 보완해 줄 수 있도록 뼈이식 과정을
병행하여 식립하기로 계획을 수립했습니다.
- 혼자의 구강 환경 및 관리 능력을
고려하여 수립한 치료 계획이며,
동의하에 진행하기로 결정했습니다.
위와 같은 치료 과정을 거치며
약 3개월의 회복 시간을 보냈는데요
실제로 환자께서 정기 검진도 꾸준히 받아주시고,
관리도 꼼꼼히 시행해 주셔서 굉장히 빠른 속도로
회복하는 모습을 확인할 수 있었습니다.
- 회복 시간을 보내는 동안엔
원활한 식사 활동 및 저작을 위해
임시 치아를 사용하게 되는데요
이때 임시라는 이유로 관리를 소홀히 하다간
임플란트 주위염과 같은 문제가 나타날 수 있으니
신경써서 관리하길 권장해 드리고 있습니다.
추가로 수술 부위의 변화 및 회복 등을
점검해야 되니, 주기적으로 내원하셔서
검진 받아주시길 부탁드리겠습니다 :)


이렇게 제작한 최종 보철을 체결해 드리며
계획한 치료 과정을 모두 마칠 수 있었습니다.
컨디션이 별로 좋지 않거나,
전신 질환 등에 의해 구강에 통증 등을
느끼는 경우가 종종 있긴 합니다.
그렇지만 이와 같은 증상이
지속된다는 것은 구강이 우리에게
'질환이 나타났으니 치료가 필요하다'는
S.O.S 신호를 보내고 있는 걸지도 모릅니다.
물론 그 전에 정기 검진을 꾸준히 받으며
관리한다면 미리 예방하고 건강을 유지할 수 있겠죠.
오늘 소개를 시작하기 전에 말씀드린
치아 통증을 가지고 계시거나,
발치 후 오랜 기간 비워두신 분들!
오늘 이 글을 읽어보시고
구강 관리에 대해 조금 더 관심을 두고,
전문가 관리부터 정기 검진 등
더욱 꼼꼼하게 관리하셨으면 합니다.
신논현역 치과 도 적극적으로 도와드릴 테니
걱정하지 마시고 편하게 내원해 주세요 :)
그럼 전 여기서 이만 소개를 마치고
다음 게시글에서 다시 뵙도록 하겠습니다.
감사합니다 😊
루시드치과의원 안녕하세요 행복을 드리는 루시드치과 입니다^^
pf.kakao.com
네이버 예약 :: 루시드치과의원 안녕하세요 [ 연예인 ] [ 인플루언서 ] [ 아이돌 ] [ 미인대회 ] 출신자들에게 사랑받는 강남 치과 루시드입니다 :) 저희 루시드 치과는 심미성과 기능 모두를 생각한 치과치료를 지향하고 있습니다 환자분들이 저희 치과에 오시기까지 수 많은 고민을 하셨다는 걸 정말 잘 알고 있습니다. 따라서 루시드에서는 최소한의 치료로 최대의 만족과 결과를 안겨드릴 수 있도록 노력하고 있습니다. 치아와 잇몸은 최대한 건드리지 않는 것이 가장 좋은 치료 방법입니다. 자연치를 지키면서 할 수 있는 방법을 최우선으로 하며, 치료시에도 자연치 손상을 적...
m.booking.naver.com
오시는 길 및 진료시간 안내 📍 📍 주소 서울 강남구 논현로111길 3, 상가 101, 102A 대로변 1층에 위치하여 있으며 9호선 언주역 2번출...
blog.naver.com
Explore More
Keep Browsing This Clinic's Korean Content Trail.
Return to the source archive for more posts, or move back to the clinic profile to compare the rest of the clinic's public channels.